KIF20B Antibody
-
中文名稱:KIF20B兔多克隆抗體
-
貨號:CSB-PA839399LA01HU
-
規格:¥440
-
圖片:
-
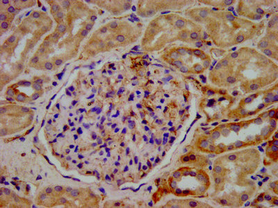
IHC image of CSB-PA839399LA01HU diluted at 1:400 and staining in paraffin-embedded human kidney tissue performed on a Leica BondTM system. After dewaxing and hydration, antigen retrieval was mediated by high pressure in a citrate buffer (pH 6.0). Section was blocked with 10% normal goat serum 30min at RT. Then primary antibody (1% BSA) was incubated at 4°C overnight. The primary is detected by a biotinylated secondary antibody and visualized using an HRP conjugated SP system.
-
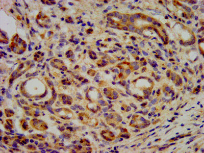
IHC image of CSB-PA839399LA01HU diluted at 1:400 and staining in paraffin-embedded human pancreatic cancer performed on a Leica BondTM system. After dewaxing and hydration, antigen retrieval was mediated by high pressure in a citrate buffer (pH 6.0). Section was blocked with 10% normal goat serum 30min at RT. Then primary antibody (1% BSA) was incubated at 4°C overnight. The primary is detected by a biotinylated secondary antibody and visualized using an HRP conjugated SP system.
-
Immunofluorescence staining of HepG2 cells with CSB-PA839399LA01HU at 1:133, counter-stained with DAPI. The cells were fixed in 4% formaldehyde, permeabilized using 0.2% Triton X-100 and blocked in 10% normal Goat Serum. The cells were then incubated with the antibody overnight at 4°C. The secondary antibody was Alexa Fluor 488-congugated AffiniPure Goat Anti-Rabbit IgG(H+L).
-
-
其他:
產品詳情
-
產品名稱:Rabbit anti-Homo sapiens (Human) KIF20B Polyclonal antibody
-
Uniprot No.:
-
基因名:KIF20B
-
別名:Cancer/testis antigen 90 antibody; CT90 antibody; KI20B_HUMAN antibody; KIF20B antibody; Kinesin-like protein KIF20B antibody; Kinesin-related motor interacting with PIN1 antibody; KRMP1 antibody; M-phase phosphoprotein 1 antibody; MPHOSPH1 antibody; MPP 1 antibody; Mpp1 antibody
-
宿主:Rabbit
-
反應種屬:Human
-
免疫原:Recombinant Human Kinesin-like protein KIF20B protein (1607-1731AA)
-
免疫原種屬:Homo sapiens (Human)
-
標記方式:Non-conjugated
本頁面中的產品,KIF20B Antibody (CSB-PA839399LA01HU),的標記方式是Non-conjugated。對于KIF20B Antibody,我們還提供其他標記。見下表:
-
克隆類型:Polyclonal
-
抗體亞型:IgG
-
純化方式:>95%, Protein G purified
-
濃度:It differs from different batches. Please contact us to confirm it.
-
保存緩沖液:Preservative: 0.03% Proclin 300
Constituents: 50% Glycerol, 0.01M PBS, pH 7.4 -
產品提供形式:Liquid
-
應用范圍:ELISA, IHC, IF
-
推薦稀釋比:
Application Recommended Dilution IHC 1:200-1:500 IF 1:50-1:200 -
Protocols:
-
儲存條件:Upon receipt, store at -20°C or -80°C. Avoid repeated freeze.
-
貨期:Basically, we can dispatch the products out in 1-3 working days after receiving your orders. Delivery time maybe differs from different purchasing way or location, please kindly consult your local distributors for specific delivery time.
-
用途:For Research Use Only. Not for use in diagnostic or therapeutic procedures.
相關產品
靶點詳情
-
功能:Plus-end-directed motor enzyme that is required for completion of cytokinesis. Required for proper midbody organization and abscission in polarized cortical stem cells. Plays a role in the regulation of neuronal polarization by mediating the transport of specific cargos. Participates in the mobilization of SHTN1 and in the accumulation of PIP3 in the growth cone of primary hippocampal neurons in a tubulin and actin-dependent manner. In the developing telencephalon, cooperates with SHTN1 to promote both the transition from the multipolar to the bipolar stage and the radial migration of cortical neurons from the ventricular zone toward the superficial layer of the neocortex. Involved in cerebral cortex growth. Acts as an oncogene for promoting bladder cancer cells proliferation, apoptosis inhibition and carcinogenic progression.
-
基因功能參考文獻:
- MPP1 is a new mitotic molecular motor required for completion of cytokinesis PMID: 12740395
-
亞細胞定位:Nucleus. Cytoplasm, cytoskeleton, microtubule organizing center, centrosome. Nucleus, nucleolus. Nucleus, nucleoplasm. Cytoplasm, cytoskeleton, spindle. Cytoplasm, cytoskeleton, spindle pole. Midbody. Cell projection, axon. Cell projection, growth cone.
-
蛋白家族:TRAFAC class myosin-kinesin ATPase superfamily, Kinesin family
-
組織特異性:Brain, ovary, kidney and testis (at protein level). Overexpressed in bladder cancer cells (at protein level). Expressed in testis. Overexpressed in bladder cancer cells.
-
數據庫鏈接:
Most popular with customers
-
-
YWHAB Recombinant Monoclonal Antibody
Applications: ELISA, WB, IHC, IF, FC
Species Reactivity: Human, Mouse, Rat
-
Phospho-YAP1 (S127) Recombinant Monoclonal Antibody
Applications: ELISA, WB, IHC
Species Reactivity: Human
-
-
-
-
-
VDAC1 Recombinant Monoclonal Antibody
Applications: ELISA, WB, IHC
Species Reactivity: Human, Mouse, Rat















