KIF1BP Antibody
-
中文名稱:KIF1BP兔多克隆抗體
-
貨號:CSB-PA836204LA01HU
-
規格:¥440
-
圖片:
-
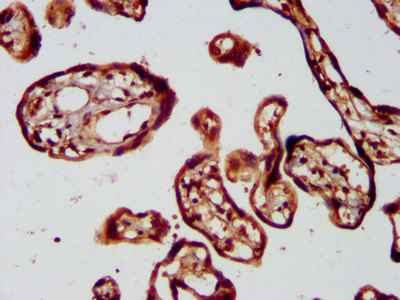
IHC image of CSB-PA836204LA01HU diluted at 1:400 and staining in paraffin-embedded human placenta tissue performed on a Leica BondTM system. After dewaxing and hydration, antigen retrieval was mediated by high pressure in a citrate buffer (pH 6.0). Section was blocked with 10% normal goat serum 30min at RT. Then primary antibody (1% BSA) was incubated at 4°C overnight. The primary is detected by a biotinylated secondary antibody and visualized using an HRP conjugated SP system.
-
IHC image of CSB-PA836204LA01HU diluted at 1:400 and staining in paraffin-embedded human skeletal muscle tissue performed on a Leica BondTM system. After dewaxing and hydration, antigen retrieval was mediated by high pressure in a citrate buffer (pH 6.0). Section was blocked with 10% normal goat serum 30min at RT. Then primary antibody (1% BSA) was incubated at 4°C overnight. The primary is detected by a biotinylated secondary antibody and visualized using an HRP conjugated SP system.
-
Immunofluorescence staining of Hela cells with CSB-PA836204LA01HU at 1:133, counter-stained with DAPI. The cells were fixed in 4% formaldehyde, permeabilized using 0.2% Triton X-100 and blocked in 10% normal Goat Serum. The cells were then incubated with the antibody overnight at 4°C. The secondary antibody was Alexa Fluor 488-congugated AffiniPure Goat Anti-Rabbit IgG(H+L).
-
-
其他:
產品詳情
-
產品名稱:Rabbit anti-Homo sapiens (Human) KIF1BP Polyclonal antibody
-
Uniprot No.:
-
基因名:KIF1BP
-
別名:Hypothetical protein LOC26128 antibody; KBP antibody; KBP_HUMAN antibody; KIAA1279 antibody; KIF1-binding protein antibody; TTC20 antibody; Uncharacterized protein KIAA1279 antibody
-
宿主:Rabbit
-
反應種屬:Human
-
免疫原:Recombinant Human KIF1-binding protein (24-204AA)
-
免疫原種屬:Homo sapiens (Human)
-
標記方式:Non-conjugated
本頁面中的產品,KIF1BP Antibody (CSB-PA836204LA01HU),的標記方式是Non-conjugated。對于KIF1BP Antibody,我們還提供其他標記。見下表:
-
克隆類型:Polyclonal
-
抗體亞型:IgG
-
純化方式:>95%, Protein G purified
-
濃度:It differs from different batches. Please contact us to confirm it.
-
保存緩沖液:Preservative: 0.03% Proclin 300
Constituents: 50% Glycerol, 0.01M PBS, pH 7.4 -
產品提供形式:Liquid
-
應用范圍:ELISA, IHC, IF
-
推薦稀釋比:
Application Recommended Dilution IHC 1:200-1:500 IF 1:50-1:200 -
Protocols:
-
儲存條件:Upon receipt, store at -20°C or -80°C. Avoid repeated freeze.
-
貨期:Basically, we can dispatch the products out in 1-3 working days after receiving your orders. Delivery time maybe differs from different purchasing way or location, please kindly consult your local distributors for specific delivery time.
-
用途:For Research Use Only. Not for use in diagnostic or therapeutic procedures.
相關產品
靶點詳情
-
功能:Required for organization of axonal microtubules, and axonal outgrowth and maintenance during peripheral and central nervous system development.
-
基因功能參考文獻:
- Both Kif15 and KBP are required for the alignment of all the chromosomes to the metaphase plate and the assembly of stable kinetochore fibers of the correct length. PMID: 28445502
- Data suggest that KBP functions as a kinesin inhibitor that modulates MT-based cargo motility and depolymerizing activity of a subset of kinesin motors. We propose that misregulation of KBP-controlled kinesin motors may represent the underlying molecular mechanism that contributes to the neuropathological defects observed in Goldberg-Shprintzen syndrome patients. PMID: 26948876
- A report on fetal cases with a homozygous mutation in KBP gene in a consanguineous Pakistani family with isolated polymicrogyria. PMID: 24072599
- KBP-cytoskeleton interactions is involved in neuronal development in Goldberg-Shprintzen syndrome. PMID: 23427148
-
相關疾病:Goldberg-Shprintzen syndrome (GOSHS)
-
亞細胞定位:Cytoplasm, cytoskeleton.
-
蛋白家族:KIF1-binding protein family
-
組織特異性:Highly expressed in heart, brain, ovary, testis, spinal cord and all specific brain regions examined. Moderate expressed at intermediate level in all other adult tissues examined, as well as in fetal liver and brain. Not expressed in blood leukocytes.
-
數據庫鏈接:
Most popular with customers
-
-
YWHAB Recombinant Monoclonal Antibody
Applications: ELISA, WB, IHC, IF, FC
Species Reactivity: Human, Mouse, Rat
-
Phospho-YAP1 (S127) Recombinant Monoclonal Antibody
Applications: ELISA, WB, IHC
Species Reactivity: Human
-
-
-
-
-















