KIAA1324 Antibody
-
中文名稱:KIAA1324兔多克隆抗體
-
貨號:CSB-PA965968
-
規格:¥1100
-
圖片:
-
The image on the left is immunohistochemistry of paraffin-embedded Human brain tissue using CSB-PA965968(KIAA1324 Antibody) at dilution 1/40, on the right is treated with fusion protein. (Original magnification: ×200)
-
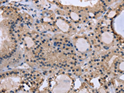
The image on the left is immunohistochemistry of paraffin-embedded Human thyroid cancer tissue using CSB-PA965968(KIAA1324 Antibody) at dilution 1/40, on the right is treated with fusion protein. (Original magnification: ×200)
-
-
其他:
產品詳情
-
Uniprot No.:
-
基因名:KIAA1324
-
別名:EIG121 antibody; Estrogen induced gene 121 antibody; Estrogen-induced gene 121 protein antibody; Hypothetical protein LOC57535 antibody; K1324_HUMAN antibody; KIAA1324 antibody; MABA1 antibody; MGC150624 antibody; UPF0577 protein KIAA1324 antibody
-
宿主:Rabbit
-
反應種屬:Human,Mouse
-
免疫原:Fusion protein of Human KIAA1324
-
免疫原種屬:Homo sapiens (Human)
-
標記方式:Non-conjugated
-
抗體亞型:IgG
-
純化方式:Antigen affinity purification
-
濃度:It differs from different batches. Please contact us to confirm it.
-
保存緩沖液:-20°C, pH7.4 PBS, 0.05% NaN3, 40% Glycerol
-
產品提供形式:Liquid
-
應用范圍:ELISA,IHC
-
推薦稀釋比:
Application Recommended Dilution ELISA 1:1000-1:2000 IHC 1:25-1:100 -
Protocols:
-
儲存條件:Upon receipt, store at -20°C or -80°C. Avoid repeated freeze.
-
貨期:Basically, we can dispatch the products out in 1-3 working days after receiving your orders. Delivery time maybe differs from different purchasing way or location, please kindly consult your local distributors for specific delivery time.
-
用途:For Research Use Only. Not for use in diagnostic or therapeutic procedures.
相關產品
靶點詳情
-
功能:May protect cells from cell death by inducing cytosolic vacuolization and upregulating the autophagy pathway. May play a role in apoptosis and cell proliferation through its interaction with HSPA5.
-
基因功能參考文獻:
- it was found that EIG121 exerted dual functions in the regulation of autophagy and stemness not only in normal JEC cells but also JEC obtained CSCs. These findings could be useful for developing targeted therapies for endometrial carcinoma PMID: 28656197
- The STR in the upstream regulatory region of EIG121 is highly polymorphic, but is not associated with the risk of developing breast or endometrial cancer in the cohorts analysed here PMID: 27230222
- A tumor suppressive role of KIAA1324 via inhibition of GRP78 oncoprotein activities in gastric cancer PMID: 26045166
- EIG121 may protect cells from cell death by upregulating the autophagy pathway. PMID: 21072319
- High expression of ERalpha and the estrogen-induced gene EIG121 predicts shorter overall survival in patients with high-grade serous ovarian carcinoma. PMID: 21102415
- Down-regulation of KIAA1324 protein is associated with endometrial cancer PMID: 16322283
顯示更多
收起更多
-
亞細胞定位:Cell membrane; Single-pass type I membrane protein. Late endosome membrane; Single-pass type I membrane protein. Golgi apparatus, trans-Golgi network membrane; Single-pass type I membrane protein. Lysosome membrane; Single-pass membrane protein. Endoplasmic reticulum membrane; Single-pass type I membrane protein.
-
蛋白家族:UPF0577 family
-
組織特異性:Expressed in normal endometrium but overexpressed in endometroid tumors.
-
數據庫鏈接:
Most popular with customers
-
-
YWHAB Recombinant Monoclonal Antibody
Applications: ELISA, WB, IHC, IF, FC
Species Reactivity: Human, Mouse, Rat
-
Phospho-YAP1 (S127) Recombinant Monoclonal Antibody
Applications: ELISA, WB, IHC
Species Reactivity: Human
-
-
-
-
-















