KEAP1 Antibody
-
中文名稱:KEAP1兔多克隆抗體
-
貨號:CSB-PA247380
-
規格:¥1100
-
圖片:
-
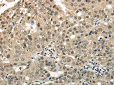
The image on the left is immunohistochemistry of paraffin-embedded Human thyroid cancer tissue using CSB-PA247380(KEAP1 Antibody) at dilution 1/20, on the right is treated with fusion protein. (Original magnification: ×200)
-
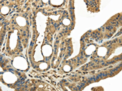
The image on the left is immunohistochemistry of paraffin-embedded Human breast cancer tissue using CSB-PA247380(KEAP1 Antibody) at dilution 1/20, on the right is treated with fusion protein. (Original magnification: ×200)
-
-
其他:
產品詳情
-
Uniprot No.:
-
基因名:
-
別名:Cytosolic inhibitor of Nrf2 antibody; INrf 2 antibody; INrf2 antibody; Keap 1 antibody; KEAP1 antibody; KEAP1_HUMAN antibody; Kelch like ECH associated protein 1 antibody; Kelch like family member 19 antibody; Kelch like protein 19 antibody; Kelch-like ECH-associated protein 1 antibody; Kelch-like protein 19 antibody; KIAA0132 antibody; KLHL 19 antibody; KLHL19 antibody; MGC10630 antibody; MGC1114 antibody; MGC20887 antibody; MGC4407 antibody; MGC9454 antibody
-
宿主:Rabbit
-
反應種屬:Human,Mouse,Rat
-
免疫原:Fusion protein of Human KEAP1
-
免疫原種屬:Homo sapiens (Human)
-
標記方式:Non-conjugated
-
抗體亞型:IgG
-
純化方式:Antigen affinity purification
-
濃度:It differs from different batches. Please contact us to confirm it.
-
保存緩沖液:-20°C, pH7.4 PBS, 0.05% NaN3, 40% Glycerol
-
產品提供形式:Liquid
-
應用范圍:ELISA,IHC
-
推薦稀釋比:
Application Recommended Dilution ELISA 1:2000-1:5000 IHC 1:25-1:100 -
Protocols:
-
儲存條件:Upon receipt, store at -20°C or -80°C. Avoid repeated freeze.
-
貨期:Basically, we can dispatch the products out in 1-3 working days after receiving your orders. Delivery time maybe differs from different purchasing way or location, please kindly consult your local distributors for specific delivery time.
-
用途:For Research Use Only. Not for use in diagnostic or therapeutic procedures.
相關產品
靶點詳情
-
功能:Substrate-specific adapter of a BCR (BTB-CUL3-RBX1) E3 ubiquitin ligase complex that regulates the response to oxidative stress by targeting NFE2L2/NRF2 for ubiquitination. KEAP1 acts as a key sensor of oxidative and electrophilic stress: in normal conditions, the BCR(KEAP1) complex mediates ubiquitination and degradation of NFE2L2/NRF2, a transcription factor regulating expression of many cytoprotective genes. In response to oxidative stress, different electrophile metabolites trigger non-enzymatic covalent modifications of highly reactive cysteine residues in KEAP1, leading to inactivate the ubiquitin ligase activity of the BCR(KEAP1) complex, promoting NFE2L2/NRF2 nuclear accumulation and expression of phase II detoxifying enzymes. In response to selective autophagy, KEAP1 is sequestered in inclusion bodies following its interaction with SQSTM1/p62, leading to inactivation of the BCR(KEAP1) complex and activation of NFE2L2/NRF2. The BCR(KEAP1) complex also mediates ubiquitination of SQSTM1/p62, increasing SQSTM1/p62 sequestering activity and degradation. The BCR(KEAP1) complex also targets BPTF and PGAM5 for ubiquitination and degradation by the proteasome.
-
基因功能參考文獻:
- KEAP1 acts as a cysteine thiol-rich sensor of redox insults. KEAP1 represses NRF2 activity under quiescent conditions, whereas NRF2 is liberated from KEAP1-mediated repression on exposure to stresses. [review] PMID: 29717933
- the ability of porphyra-334 and shinorine to dissociate Nrf2 from Keap1 was confirmed also by measurement of increased mRNA expression of Nrf2 targeted genes encoding oxidative stress defense proteins in primary skin fibroblasts prior and post UVR exposure. PMID: 30071261
- Aberrant Nrf2/Keap1 system integrity may affect self-defence mechanisms against oxidative stress in primary biliary cholangitis. PMID: 28333129
- this study shows changes of KEAP1 expression levels induced by cell-free DNA in different cell types PMID: 29743966
- Here we present a proof-of-concept application for the rational design of an epitope-specific antibody binding with the target protein Keap1, by grafting pre-defined structural interaction patterns from the native binding partner protein, Nrf2, onto geometrically matched positions of a set of antibody scaffolds. The designed antibodies bind to Keap1 and block the Keap1-Nrf2 interaction in an epitope-specific way PMID: 28128368
- In the present review we briefly introduce the Nrf2-Keap1 system and describe Nrf2 functions, illustrate the Nrf2-NF-kappaB cross-talk, and highlight the effects of the Nrf2-Keap1 system in the physiology and pathophysiology of striated muscle tissue taking into account its role(s) in oxidative stress and reductive stress PMID: 29499228
- Results show that KEAP1 expression in esophageal squamous cell carcinoma is regulated by miR-432-3p that binds directly its 3'UTR. PMID: 28760781
- An intact complex of PGAM5-KEAP1-Nrf2 preserves mitochondrial motility by suppressing dominant-negative KEAP1 activity. PMID: 28839075
- Hydrogen sulfide attenuates vascular smooth muscle cell calcification in vitro via the KEAP1-NRF2 redox sensing/stress response system by enhancing NQO1 expression. PMID: 28865326
- Keap1 silencing in melanocytes induced melanogenesis and the expression of melanogenesis-associated molecules through HO-1-associated beta-catenin activation. Keap1 downregulation in melanocytes is important for cell proliferation and survival. PMID: 28583303
- itaconate alkylates cysteine residues 151, 257, 288, 273 and 297 on the protein KEAP1, enabling Nrf2 to increase the expression of downstream genes with anti-oxidant and anti-inflammatory capacities PMID: 29590092
- results demonstrate a multifaceted protective potential of KEAP1-NRF2 signaling in key cell types relevant to Huntington disease pathology PMID: 28533375
- Curcumin Protects Skin against UVB-Induced Cytotoxicity via the Keap1-Nrf2 Pathway: The Use of a Microemulsion Delivery System. PMID: 28757910
- The research demonstrated that Keap1 should be a promising E3 ligase adaptor to be used in the design of novel PROTACs. PMID: 29407955
- High cytoplasmic Keap1 expression, which might prevent nuclear translocation of Nrf2 in ovarian cancer cells, was associated with lower disease recurrence and death rate. PMID: 28129239
- The ratio of thioredoxin/Keap1 protein level may be useful for suggesting distant metastasis in colorectal cancer. PMID: 29053012
- our study pinpoints that PAQR3 functions as an adaptor protein to promote Nrf2-Keap1 complex formation, thereby modulating the Nrf2-Keap2 pathway and playing an important role in controlling antioxidant response of the cell PMID: 27212020
- provide a rationale for stratification of human patients with lung cancer harboring KRAS/KEAP1- or KRAS/NRF2-mutant lung tumors as likely to respond to glutaminase inhibition PMID: 28967920
- Our results identified ECG as a novel Keap1-Nrf2 interaction disruptor and LPS-induced TLR4 activation inhibitor, thereby providing an innovative strategy to prevent or treat immune, oxidative stress and inflammatory-related diseases PMID: 26878775
- The Keap-1/Nrf2 redox system is a biological target of SSNO. PMID: 27663261
- Molecular docking studies revealed that Wogonin can disrupt KEAP-1/Nrf-2 interaction by directly blocking the binding site of Nrf-2 in the KEAP-1 protein. The study provides novel insights into the development of Nrf2 as a promising candidate and Wogonin as a therapeutic agent for the management of Osteoarthritis . PMID: 28237856
- Data show that genistein induced re-expression of the methylated Keap1 genes through demethylation in A549 cells, however, no Keap1 mRNA expression changes were detected in MRC-5 fibroblast cells. PMID: 27029077
- Punicalagin protects HepG2 cells from lipotoxicity induced by free fatty acids through activating Nrf2/Keap1 pathway. PMID: 26989875
- Data suggest that Keap1, rather than Nrf2, is critical for the recruitment of iASPP into the Keap1-Nrf2 complex PMID: 29033244
- The modification of NRF2 or KEAP1 expression in non-small cell lung cancer cell lines disrupted downstream gene expression and cell sensitivity to platinum-based drugs. PMID: 27601007
- These data demonstrate that the beneficial properties of SFN extend beyond activation of the KEAP1-Nrf2-ARE system and warrant further interrogation given the current use of this agent in multiple clinical trials PMID: 27889639
- Result showed that there was a significant association between Keap1 and phosphorylated (p) Nrf2 expression in hepatocellular carcinoma. Higher pNrf2 expression was more likely observed in those specimens with reduced Keap1 expression. PMID: 27650414
- Results provide evidence for a critical role of mutations in TP53 and KEAP1 during lung squamous cell carcinoma (LSCC oncogenesis, because deletion of either gene leads to increased self-renewal of airway basal stem cells. Also, KEAP1/NRF2 mutations increase radioresistance and predict local tumor recurrence in radiotherapy treated LSCC patients. PMID: 27663899
- Study showed that Sequestosome 1-mediated sequestration of Keap1 is associated with chronic activation of the Nrf2 stress response pathway in the autophagic vacuolar myopathie muscle; demonstrated that Nrf2 signaling is upregulated in autophagic muscle disorders and raise the possibility that autophagy disruption in skeletal muscle leads to dysregulation of cellular redox homeostasis. PMID: 27799074
- Keap1 (Kelch-like ECH-associated protein 1) is an adaptor subunit of Cullin 3-based E3 ubiquitin ligase. Keap1 regulates the activity of Nrf2 and acts as a sensor for oxidative and electrophilic stresses. PMID: 28842501
- NRF2 is regulated at protein level by proteasomal degradation via KEAP1. Data suggest that antioxidant-induced up-regulation of NRF2 expression (a) overcomes KEAP1 regulation, (b) activates NRF2 translocation to nucleus, and (c) activates antioxidant response element. (NRF2 = nuclear factor [erythroid-derived 2]-like 2 protein; KEAP1 = Kelch-like ECH-associated protein 1) PMID: 28684421
- Results indicate that microRNA miR-141 targets kelch like ECH associated protein 1 (Keap1) to activate NF-E2-related factor 2 (Nrf2) signaling, which protects retinal pigment epithelium cells (RPEs) and retinal ganglion cells (RGCs) from UV radiation. PMID: 28061435
- Data indicate the role of kelch like ECH associated protein 1 (Keap1)/nuclear factor E2-related factor 2 (Nrf2) axis deregulation with potential new function as independent epigenetic prognostic marker in renal cell carcinoma. PMID: 28061437
- clinical cholangiocarcinoma samples displayed FoxO3-Keap1 down-regulation and Nrf2 hyperactivation PMID: 26857210
- the dual role of nuclear factor-erythroid 2 signaling in induction of colorectal cancer cell survival and death as well as the possibility of targeting nuclear factor-erythroid 2-kelch-like ECH-associated protein 1 axis as an advanced strategy in prevention and effective treatment of colorectal cancer patients have been discussed. PMID: 28621229
- Using a combination of biochemical and mass spectrometry studies, the authors show that VP24 is a dimer in solution that directly binds to the Kelch domain of Kelch-like ECH-associated protein 1 (Keap1) to regulate nuclear factor (erythroid-derived 2)-like 2 (Nrf2). PMID: 27497688
- These data establish new functions for KEAP1 within the nucleus and identify MCM3 as a novel substrate of the KEAP1-CUL3-RBX1 E3 ligase. PMID: 27621311
- ur results identify WDR23 as an alternative regulator of NRF2 proteostasis and uncover a cellular pathway that regulates NRF2 activity and capacity for cytoprotection independently of KEAP1. PMID: 28453520
- Keap1 orchestrates the antioxidant response; the system can be targeted for therapy [review] PMID: 27769838
- Keap1 is the main negative regulator of Nrf2 [review] PMID: 27497696
- Results show that GSTP potentiates S-glutathionylation of Keap1, which leads to Nrf2 activation and subsequently increases expression of GSTP. This positive feedback regulatory loop represents a novel mechanism by which GSTP elicits antioxidant protection in the brain. PMID: 27086966
- EMT signalling and the KEAP1/NFE2L2-axis are likely to be involved in metastatic spread of malignant melanoma and also appear to have potential interactions. PMID: 27170270
- the expression of NRF2, KEAP1, NQO-1 and HO-1 are increased significantly in advanced laryngeal squamous cell carcinoma, compared with the adjacent normal mucosa. Remarkable relevance exists between high expression of KEAP1, NQO-1, HO-1 and nuclear NRF2. their expression levels were independent of age, tumor stage (clinical stage III and IV), tumor size and lymph node metastasis. PMID: 27840932
- miR-200a was found to interact with the 3'-untranslated region of Keap1, the native regulator of Nrf2. PMID: 27573160
- We present the case that chemoprevention through the Keap1/Nrf2 system may be context dependent and that the Nrf2 "dose-response curve" for electrophilic and redox balance may not be monotonic. PMID: 27806574
- Immunohistochemical assays were used to measure the expression of Keap1 protein in breast cancer tissue and adjacent normal tissue, and its clinical significance was explored. We observed that 24.6% breast cancer tissue samples were positive for Keap1, a significantly lower proportion than that seen with adjacent normal tissue specimens PMID: 27323010
- c-myc plays a key role in MBD1 mediated epigenetic silencing of KEAP1. PMID: 26980696
- Results show up-regulation of TrkB and down-regulation of Runx3 and Keap1 in breast cancer cells and suggest that TrkB plays a key role in tumorigenicity and metastasis of breast cancer cells through suppression of Runx3 or Keap1. PMID: 26657794
- Inhibition of NRF2 by KEAP1 overexpression compromises metabolic reprogramming of fibroblasts and results in reduced efficiency of induced pluripotent stem cells colony formation. PMID: 26904936
- Induction of GSH-related genes xCT and GCLM were oxygen and Bach1-insensitive during long-term culture under 5% O2, providing the first evidence that genes related to GSH synthesis mediate protection afforded by Nrf2-Keap1 defense pathway PMID: 26698668
顯示更多
收起更多
-
亞細胞定位:Cytoplasm. Nucleus.
-
組織特異性:Broadly expressed, with highest levels in skeletal muscle.
-
數據庫鏈接:
Most popular with customers
-
-
YWHAB Recombinant Monoclonal Antibody
Applications: ELISA, WB, IHC, IF, FC
Species Reactivity: Human, Mouse, Rat
-
-
-
-
-
-















