KCNMB4 Antibody
-
中文名稱:KCNMB4兔多克隆抗體
-
貨號:CSB-PA255042
-
規格:¥1100
-
圖片:
-
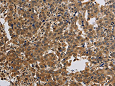
The image on the left is immunohistochemistry of paraffin-embedded Human liver cancer tissue using CSB-PA255042(KCNMB4 Antibody) at dilution 1/40, on the right is treated with synthetic peptide. (Original magnification: ×200)
-
The image on the left is immunohistochemistry of paraffin-embedded Human brain tissue using CSB-PA255042(KCNMB4 Antibody) at dilution 1/40, on the right is treated with synthetic peptide. (Original magnification: ×200)
-
Gel: 10%SDS-PAGE, Lysate: 40 μg, Lane: Mouse brain tissue, Primary antibody: CSB-PA255042(KCNMB4 Antibody) at dilution 1/500, Secondary antibody: Goat anti rabbit IgG at 1/8000 dilution, Exposure time: 1 minute
-
-
其他:
產品詳情
-
Uniprot No.:
-
基因名:
-
別名:BK channel subunit beta 4 antibody; BK channel subunit beta-4 antibody; BKbeta4 antibody; Calcium activated potassium channel beta 4 subunit antibody; Calcium activated potassium channel subfamily M subunit beta 4 antibody; Calcium activated potassium channel subunit beta 4 antibody; Calcium-activated potassium channel antibody; Calcium-activated potassium channel subunit beta-4 antibody; Charybdotoxin receptor subunit beta 4 antibody; Charybdotoxin receptor subunit beta-4 antibody; Hbeta4 antibody; K(VCA)beta 4 antibody; K(VCA)beta-4 antibody; KCMB4_HUMAN antibody; KCNMB 4 antibody; Kcnmb4 antibody; Large conductance calcium dependent potassium ion channel beta 4 subunit antibody; Maxi K channel subunit beta 4 antibody; Maxi K channel subunit beta-4 antibody; Potassium large conductance calcium activated channel subfamily M beta member 4 antibody; Slo beta 4 antibody; Slo-beta-4 antibody; subfamily M subunit beta-4 antibody
-
宿主:Rabbit
-
反應種屬:Human,Mouse,Rat
-
免疫原:Synthetic peptide of Human KCNMB4
-
免疫原種屬:Homo sapiens (Human)
-
標記方式:Non-conjugated
-
抗體亞型:IgG
-
純化方式:Antigen affinity purification
-
濃度:It differs from different batches. Please contact us to confirm it.
-
保存緩沖液:-20°C, pH7.4 PBS, 0.05% NaN3, 40% Glycerol
-
產品提供形式:Liquid
-
應用范圍:ELISA,WB,IHC
-
推薦稀釋比:
Application Recommended Dilution ELISA 1:2000-1:10000 WB 1:500-1:2000 IHC 1:50-1:200 -
Protocols:
-
儲存條件:Upon receipt, store at -20°C or -80°C. Avoid repeated freeze.
-
貨期:Basically, we can dispatch the products out in 1-3 working days after receiving your orders. Delivery time maybe differs from different purchasing way or location, please kindly consult your local distributors for specific delivery time.
-
用途:For Research Use Only. Not for use in diagnostic or therapeutic procedures.
相關產品
靶點詳情
-
功能:Regulatory subunit of the calcium activated potassium KCNMA1 (maxiK) channel. Modulates the calcium sensitivity and gating kinetics of KCNMA1, thereby contributing to KCNMA1 channel diversity. Decreases the gating kinetics and calcium sensitivity of the KCNMA1 channel, but with fast deactivation kinetics. May decrease KCNMA1 channel openings at low calcium concentrations but increases channel openings at high calcium concentrations. Makes KCNMA1 channel resistant to 100 nM charybdotoxin (CTX) toxin concentrations.
-
基因功能參考文獻:
- Two recurrent fusion genes associated with the 12q locus, LRP1-SNRNP25 and KCNMB4-CCND3, were by RT-PCR, Sanger sequencing and FISH, and were found to be osteosarcoma specific in a validation cohort of 240 other sarcomas. PMID: 25300797
- Recombinant martentoxin selectively blocks KCNMA1/KCNMB4 channels. PMID: 24759175
- BK channel beta4 subunit influences sensitivity and tolerance to alcohol by altering its response to kinases PMID: 25190810
- Study shows that beta4 subunit of the MaxiK channel has no potential endocytic signal and 2 specific amino acids in the functional basic motif retention/retrieval trafficking signal at the C-terminus may play a role in controlling cellular excitability PMID: 24486049
- our data suggest that the rs398702 variant in the KCNMB4 gene is unlikely to influence significantly the risk of developing mesial temporal lobe epilepsy or its severity PMID: 23623847
- These results suggest that fast-gating, type I BK channels lacking beta4 can increase neuronal excitability in response to reduced phosphatase activity and activation of calcium channels. PMID: 21848922
- Structural basis for toxin resistance of beta4-associated calcium-activated potassium (BK) channels PMID: 18559348
- The beta4 subunit controls ethanol tolerance at the molecular, cellular, and behavioral levels, and could determine individual differences in alcohol abuse and alcoholism, as well as represent a therapeutic target for alcoholism. PMID: 18981408
- results argue that, for native mouse Slo3 channels, the beta4 subunit must be considered as a potential interaction partner and, furthermore, that KCNMB subunits may have functions unrelated to regulation of the Slo1 alpha subunit PMID: 19578543
顯示更多
收起更多
-
亞細胞定位:Membrane; Multi-pass membrane protein.
-
蛋白家族:KCNMB (TC 8.A.14.1) family, KCNMB4 subfamily
-
組織特異性:Predominantly expressed in brain. In brain, it is expressed in the cerebellum, cerebral cortex, medulla, spinal cord, occipital pole, frontal lobe, temporal lobe, putamen, amygdala, caudate nucleus, corpus callosum, hippocampus, substantia nigra and thala
-
數據庫鏈接:
Most popular with customers
-
-
YWHAB Recombinant Monoclonal Antibody
Applications: ELISA, WB, IHC, IF, FC
Species Reactivity: Human, Mouse, Rat
-
Phospho-YAP1 (S127) Recombinant Monoclonal Antibody
Applications: ELISA, WB, IHC
Species Reactivity: Human
-
-
-
-
-















