KCNMB3 Antibody
-
中文名稱:KCNMB3兔多克隆抗體
-
貨號:CSB-PA775785
-
規格:¥1100
-
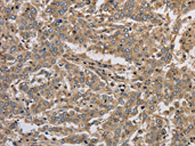
圖片:
-
The image on the left is immunohistochemistry of paraffin-embedded Human liver cancer tissue using CSB-PA775785(KCNMB3 Antibody) at dilution 1/40, on the right is treated with synthetic peptide. (Original magnification: ×200)
-
Gel: 12%SDS-PAGE, Lysate: 40 μg, Lane: Hepg2 cells, Primary antibody: CSB-PA775785(KCNMB3 Antibody) at dilution 1/400, Secondary antibody: Goat anti rabbit IgG at 1/8000 dilution, Exposure time: 1 minute
-
-
其他:
產品詳情
-
Uniprot No.:
-
基因名:
-
別名:BK channel subunit beta 3 antibody; BK channel subunit beta-3 antibody; BKbeta 3 antibody; BKbeta3 antibody; Calcium activated potassium channel beta 3 subunit antibody; Calcium activated potassium channel subfamily M subunit beta 3 antibody; Calcium activated potassium channel subunit beta 3 antibody; Calcium-activated potassium channel antibody; Calcium-activated potassium channel subunit beta-3 antibody; Charybdotoxin receptor subunit beta 3 antibody; Charybdotoxin receptor subunit beta-3 antibody; EG435726 antibody; Gm5707 antibody; Hbeta 3 antibody; Hbeta3 antibody; K(VCA)beta 3 antibody; K(VCA)beta-3 antibody; KCMB3_HUMAN antibody; KCNMB 2 antibody; KCNMB 3 antibody; KCNMB2 antibody; KCNMB3 antibody; KCNMBL antibody; Large conductance voltage and Ca2+ activated potassium channel Maxi K beta 3 subunit antibody; Maxi K channel subunit beta 3 antibody; Maxi K channel subunit beta-3 antibody; Potassium channel, calcium-activated large conductance, subfamily M, beta member 3 antibody; Potassium large conductance calcium activated channel beta 3 subunit antibody; Potassium large conductance calcium activated channel subfamily M beta member 3 antibody; Slo beta 3 antibody; Slo-beta-3 antibody; subfamily M subunit beta-3 antibody
-
宿主:Rabbit
-
反應種屬:Human
-
免疫原:Synthetic peptide of Human KCNMB3
-
免疫原種屬:Homo sapiens (Human)
-
標記方式:Non-conjugated
-
抗體亞型:IgG
-
純化方式:Antigen affinity purification
-
濃度:It differs from different batches. Please contact us to confirm it.
-
保存緩沖液:-20°C, pH7.4 PBS, 0.05% NaN3, 40% Glycerol
-
產品提供形式:Liquid
-
應用范圍:ELISA,WB,IHC
-
推薦稀釋比:
Application Recommended Dilution ELISA 1:2000-1:10000 WB 1:200-1:1000 IHC 1:50-1:200 -
Protocols:
-
儲存條件:Upon receipt, store at -20°C or -80°C. Avoid repeated freeze.
-
貨期:Basically, we can dispatch the products out in 1-3 working days after receiving your orders. Delivery time maybe differs from different purchasing way or location, please kindly consult your local distributors for specific delivery time.
-
用途:For Research Use Only. Not for use in diagnostic or therapeutic procedures.
相關產品
靶點詳情
-
功能:Regulatory subunit of the calcium activated potassium KCNMA1 (maxiK) channel. Modulates the calcium sensitivity and gating kinetics of KCNMA1, thereby contributing to KCNMA1 channel diversity. Alters the functional properties of the current expressed by the KCNMA1 channel. Isoform 2, isoform 3 and isoform 4 partially inactivate the current of KCNBMA. Isoform 4 induces a fast and incomplete inactivation of KCNMA1 channel that is detectable only at large depolarizations. In contrast, isoform 1 does not induce detectable inactivation of KCNMA1. Two or more subunits of KCNMB3 are required to block the KCNMA1 tetramer.
-
基因功能參考文獻:
- Single-nucleotide polymorphism in KCNMB3 gene is associated with Insulin Resistance. PMID: 23826284
- The frequency of the delA750 mutation was significantly increased in idiopathic generalized epilepsy (7.9%) compared to that in the controls (5.5%; P = 0.016, one-sided; OR = 1.52; 95%-CI: 1.05-2.21). PMID: 16958040
- The KCNMB3 isoforms beta3a-d may have unique functions in primates. PMID: 18591419
-
亞細胞定位:Membrane; Multi-pass membrane protein.
-
蛋白家族:KCNMB (TC 8.A.14.1) family, KCNMB3 subfamily
-
組織特異性:Isoform 1, isoform 3 and isoform 4 are widely expressed. Isoform 2 is expressed placenta, pancreas, kidney and heart. Isoform 1 and isoform 3 are highly expressed in pancreas and testis.
-
數據庫鏈接:
Most popular with customers
-
-
YWHAB Recombinant Monoclonal Antibody
Applications: ELISA, WB, IHC, IF, FC
Species Reactivity: Human, Mouse, Rat
-
Phospho-YAP1 (S127) Recombinant Monoclonal Antibody
Applications: ELISA, WB, IHC
Species Reactivity: Human
-
-
-
-
-















