KCNH6 Antibody
-
中文名稱:KCNH6兔多克隆抗體
-
貨號:CSB-PA678002
-
規格:¥1100
-
圖片:
-
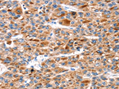
The image on the left is immunohistochemistry of paraffin-embedded Human liver cancer tissue using CSB-PA678002(KCNH6 Antibody) at dilution 1/30, on the right is treated with fusion protein. (Original magnification: ×200)
-
The image on the left is immunohistochemistry of paraffin-embedded Human prostate cancer tissue using CSB-PA678002(KCNH6 Antibody) at dilution 1/30, on the right is treated with fusion protein. (Original magnification: ×200)
-
-
其他:
產品詳情
-
Uniprot No.:
-
基因名:KCNH6
-
別名:KCNH6 antibody; ERG2 antibody; Potassium voltage-gated channel subfamily H member 6 antibody; Ether-a-go-go-related gene potassium channel 2 antibody; ERG-2 antibody; Eag-related protein 2 antibody; Ether-a-go-go-related protein 2 antibody; hERG-2 antibody; hERG2 antibody; Voltage-gated potassium channel subunit Kv11.2 antibody
-
宿主:Rabbit
-
反應種屬:Human,Rat
-
免疫原:Fusion protein of Human KCNH6
-
免疫原種屬:Homo sapiens (Human)
-
標記方式:Non-conjugated
-
抗體亞型:IgG
-
純化方式:Antigen affinity purification
-
濃度:It differs from different batches. Please contact us to confirm it.
-
保存緩沖液:-20°C, pH7.4 PBS, 0.05% NaN3, 40% Glycerol
-
產品提供形式:Liquid
-
應用范圍:ELISA,IHC
-
推薦稀釋比:
Application Recommended Dilution ELISA 1:2000-1:5000 IHC 1:25-1:100 -
Protocols:
-
儲存條件:Upon receipt, store at -20°C or -80°C. Avoid repeated freeze.
-
貨期:Basically, we can dispatch the products out in 1-3 working days after receiving your orders. Delivery time maybe differs from different purchasing way or location, please kindly consult your local distributors for specific delivery time.
-
用途:For Research Use Only. Not for use in diagnostic or therapeutic procedures.
相關產品
靶點詳情
-
功能:Pore-forming (alpha) subunit of voltage-gated potassium channel. Elicits a slowly activating, rectifying current. Channel properties may be modulated by cAMP and subunit assembly.
-
基因功能參考文獻:
- results indicated that downregulation of miR-224 suppressed cell growth and resulted in the enhancement of cell apoptosis through activation of the ERG2-BAK-induced apoptosis pathway PMID: 25783051
- Transcripts for HERG1 were present in all adenomas and although transcripts for HERG2 and HERG3 were also detected, their expression level was more variable. PMID: 12634931
-
亞細胞定位:Membrane; Multi-pass membrane protein.
-
蛋白家族:Potassium channel family, H (Eag) (TC 1.A.1.20) subfamily, Kv11.2/KCNH6 sub-subfamily
-
組織特異性:Expressed in prolactin-secreting adenomas.
-
數據庫鏈接:
Most popular with customers
-
YWHAB Recombinant Monoclonal Antibody
Applications: ELISA, WB, IHC, IF, FC
Species Reactivity: Human, Mouse, Rat
-
-
-
-
-
-
VDAC1 Recombinant Monoclonal Antibody
Applications: ELISA, WB, IHC
Species Reactivity: Human, Mouse, Rat
-















