KCNC1 Antibody
-
中文名稱:KCNC1兔多克隆抗體
-
貨號:CSB-PA047925
-
規格:¥1100
-
圖片:
-
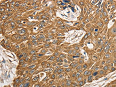
The image on the left is immunohistochemistry of paraffin-embedded Human esophagus cancer tissue using CSB-PA047925(KCNC1 Antibody) at dilution 1/20, on the right is treated with synthetic peptide. (Original magnification: ×200)
-
Gel: 10%SDS-PAGE, Lysate: 40 μg, Lane: Mouse liver tissue, Primary antibody: CSB-PA047925(KCNC1 Antibody) at dilution 1/400, Secondary antibody: Goat anti rabbit IgG at 1/8000 dilution, Exposure time: 30 seconds
-
-
其他:
產品詳情
-
Uniprot No.:
-
基因名:KCNC1
-
別名:KCNC1; Potassium voltage-gated channel subfamily C member 1; NGK2; Voltage-gated potassium channel subunit Kv3.1; Voltage-gated potassium channel subunit Kv4
-
宿主:Rabbit
-
反應種屬:Human,Mouse
-
免疫原:Synthetic peptide of Human KCNC1
-
免疫原種屬:Homo sapiens (Human)
-
標記方式:Non-conjugated
-
抗體亞型:IgG
-
純化方式:Antigen affinity purification
-
濃度:It differs from different batches. Please contact us to confirm it.
-
保存緩沖液:-20°C, pH7.4 PBS, 0.05% NaN3, 40% Glycerol
-
產品提供形式:Liquid
-
應用范圍:ELISA,WB,IHC
-
推薦稀釋比:
Application Recommended Dilution ELISA 1:2000-1:5000 WB 1:500-1:2000 IHC 1:25-1:100 -
Protocols:
-
儲存條件:Upon receipt, store at -20°C or -80°C. Avoid repeated freeze.
-
貨期:Basically, we can dispatch the products out in 1-3 working days after receiving your orders. Delivery time maybe differs from different purchasing way or location, please kindly consult your local distributors for specific delivery time.
-
用途:For Research Use Only. Not for use in diagnostic or therapeutic procedures.
相關產品
靶點詳情
-
功能:Voltage-gated potassium channel that plays an important role in the rapid repolarization of fast-firing brain neurons. The channel opens in response to the voltage difference across the membrane, forming a potassium-selective channel through which potassium ions pass in accordance with their electrochemical gradient. Can form functional homotetrameric channels and heterotetrameric channels that contain variable proportions of KCNC2, and possibly other family members as well. Contributes to fire sustained trains of very brief action potentials at high frequency in pallidal neurons.
-
基因功能參考文獻:
- A recurrent de novo mutation in KCNC1 (c.959G>A, p.Arg320His) has been identified recently as one of the important genetic causes of progress myoclonic epilepsy. This recurrent mutation in KCNC1 was identified in the two brothers who showed characteristic features of myoclonus epilepsy and ataxia due to potassium channel mutation (MEAK). The asymptomatic mother was suspected as being mosaic for this mutation. PMID: 29428275
- KNCN1 p.R320H mutation causes MEAK syndrome. PMID: 28380698
- A nonsense variant in KCNC1 gene was identified in three family members with intellectual disability without seizures. PMID: 28145425
- reviews the phenotype/genotype of progressive myoclonus epilepsy and ataxia due to potassium channel mutation (MEAK)associated with KCNC1 mutations [review] PMID: 27629860
- KCNC1 produces a resurgent current during repolarization, ensuring enough repolarizing power to terminate each action potential. The current results from a combination of steep voltage-dependent gating kinetics and ultra-fast voltage-sensor relaxation. PMID: 26673941
- A recurrent KCNC1 de novo mutation, c.959G>A (p.Arg320His), is a new major cause for progressive myoclonus epilepsy. It has a dominant-negative loss-of-function effect. PMID: 25401298
- Findings show a decrease in Kv3.1b channel protein in schizophrenia neocortex, a deficit that is restored by antipsychotic drugs PMID: 23628987
- Describes localization in mouse brain of two isoforms - the longer is called b and the shorter is called a. PMID: 12091563
- Describes two rat isoforms of Kv3.1, alpha is the longer one and beta is the shorter one PMID: 1432046
- KChIP4a suppresses A-type Kv4 current via ER retention and enhancement of Kv4 closed-state inactivation. PMID: 23576435
- Although all KV3 subunit transcripts are significantly expressed at embryonic age in whole mouse brain extracts, only KV3.1, KV3.2 and KV3.4 subunit transgenic proteins are present. PMID: 21912965
- demonstrated that glycosylation was necessary for both DPP10 trafficking to the cell surface and functional interaction with Kv4 channels PMID: 22387313
- Kv3.1 channels are transported into axons by binding to kinesin I. PMID: 21106837
顯示更多
收起更多
-
相關疾病:Epilepsy, progressive myoclonic 7 (EPM7)
-
亞細胞定位:Cell membrane; Multi-pass membrane protein. Cell projection, axon. Cell junction, synapse, presynaptic cell membrane.
-
蛋白家族:Potassium channel family, C (Shaw) (TC 1.A.1.2) subfamily, Kv3.1/KCNC1 sub-subfamily
-
數據庫鏈接:
Most popular with customers
-
-
YWHAB Recombinant Monoclonal Antibody
Applications: ELISA, WB, IHC, IF, FC
Species Reactivity: Human, Mouse, Rat
-
Phospho-YAP1 (S127) Recombinant Monoclonal Antibody
Applications: ELISA, WB, IHC
Species Reactivity: Human
-
-
-
-
-















