KCNA7 Antibody
-
中文名稱:KCNA7兔多克隆抗體
-
貨號:CSB-PA133169
-
規格:¥1100
-
圖片:
-
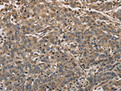
The image on the left is immunohistochemistry of paraffin-embedded Human liver cancer tissue using CSB-PA133169(KCNA7 Antibody) at dilution 1/40, on the right is treated with synthetic peptide. (Original magnification: ×200)
-
The image on the left is immunohistochemistry of paraffin-embedded Human colon cancer tissue using CSB-PA133169(KCNA7 Antibody) at dilution 1/40, on the right is treated with synthetic peptide. (Original magnification: ×200)
-
Gel: 8%SDS-PAGE, Lysate: 40 μg, Lane 1-2: Hela cells, mouse kidney tissue, Primary antibody: CSB-PA133169(KCNA7 Antibody) at dilution 1/550, Secondary antibody: Goat anti rabbit IgG at 1/8000 dilution, Exposure time: 40 seconds
-
-
其他:
產品詳情
-
Uniprot No.:
-
基因名:KCNA7
-
別名:KCNA7; Potassium voltage-gated channel subfamily A member 7; Voltage-gated potassium channel subunit Kv1.7
-
宿主:Rabbit
-
反應種屬:Human,Mouse
-
免疫原:Synthetic peptide of Human KCNA7
-
免疫原種屬:Homo sapiens (Human)
-
標記方式:Non-conjugated
-
抗體亞型:IgG
-
純化方式:Antigen affinity purification
-
濃度:It differs from different batches. Please contact us to confirm it.
-
保存緩沖液:-20°C, pH7.4 PBS, 0.05% NaN3, 40% Glycerol
-
產品提供形式:Liquid
-
應用范圍:ELISA,WB,IHC
-
推薦稀釋比:
Application Recommended Dilution ELISA 1:2000-1:10000 WB 1:500-1:2000 IHC 1:50-1:200 -
Protocols:
-
儲存條件:Upon receipt, store at -20°C or -80°C. Avoid repeated freeze.
-
貨期:Basically, we can dispatch the products out in 1-3 working days after receiving your orders. Delivery time maybe differs from different purchasing way or location, please kindly consult your local distributors for specific delivery time.
-
用途:For Research Use Only. Not for use in diagnostic or therapeutic procedures.
相關產品
靶點詳情
-
功能:Mediates the voltage-dependent potassium ion permeability of excitable membranes. Assuming opened or closed conformations in response to the voltage difference across the membrane, the protein forms a potassium-selective channel through which potassium ions may pass in accordance with their electrochemical gradient.
-
基因功能參考文獻:
- For FOXK1 and KCNA7, the age effect on the sperm epigenome was replicated in an independent cohort of 188 sperm samples. PMID: 28171595
- The authors conclude that K(v) 1.7 contributes to the membrane-repolarizing current of beta cells during glucose-stimulated insulin. PMID: 22438204
- Expressed in heart, but not the cause of progressive familial heart block I. PMID: 11896454
-
亞細胞定位:Membrane; Multi-pass membrane protein.
-
蛋白家族:Potassium channel family, A (Shaker) (TC 1.A.1.2) subfamily, Kv1.7/KCNA7 sub-subfamily
-
組織特異性:Highly expressed in skeletal muscle, heart and kidney.
-
數據庫鏈接:
Most popular with customers
-
-
YWHAB Recombinant Monoclonal Antibody
Applications: ELISA, WB, IHC, IF, FC
Species Reactivity: Human, Mouse, Rat
-
Phospho-YAP1 (S127) Recombinant Monoclonal Antibody
Applications: ELISA, WB, IHC
Species Reactivity: Human
-
-
-
-
-















