KCNA10 Antibody
-
中文名稱:KCNA10兔多克隆抗體
-
貨號:CSB-PA988090
-
規格:¥1090
-
圖片:
-
Western blot analysis of 1) Rat Brain Tissue, 2)Mouse Brain Tissue with KV1.8 Rabbit pAb diluted at 1:2,000.
-
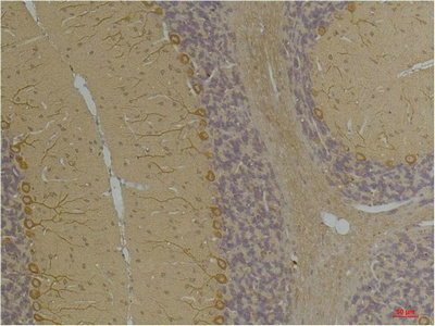
Immunohistochemical analysis of paraffin-embedded Rat BrainTissue using Kv1.8 Rabbit pAb diluted at 1:200.
-
Immunohistochemical analysis of paraffin-embedded Mouse BrainTissue using Kv1.8 Rabbit pAb diluted at 1:200.
-
-
其他:
產品詳情
-
Uniprot No.:
-
基因名:KCNA10
-
別名:KCNA10; Potassium voltage-gated channel subfamily A member 10; Voltage-gated potassium channel subunit Kv1.8
-
宿主:Rabbit
-
反應種屬:Human,Mouse,Rat
-
免疫原:Synthetic Peptide
-
免疫原種屬:Homo sapiens (Human)
-
標記方式:Non-conjugated
-
純化方式:The antibody was affinity-purified from rabbit antiserum by affinity-chromatography using specific immunogen.
-
濃度:It differs from different batches. Please contact us to confirm it.
-
保存緩沖液:Liquid in PBS containing 50% glycerol, 0.5% BSA and 0.02% sodium azide.
-
產品提供形式:Liquid
-
應用范圍:WB, IHC, ELISA
-
推薦稀釋比:
Application Recommended Dilution WB 1:1000-2000 IHC 1:100-200 -
Protocols:
-
儲存條件:Upon receipt, store at -20°C or -80°C. Avoid repeated freeze.
-
貨期:Basically, we can dispatch the products out in 1-3 working days after receiving your orders. Delivery time maybe differs from different purchasing way or location, please kindly consult your local distributors for specific delivery time.
-
用途:For Research Use Only. Not for use in diagnostic or therapeutic procedures.
相關產品
靶點詳情
-
功能:Mediates voltage-dependent potassium ion permeability of excitable membranes. Assuming opened or closed conformations in response to the voltage difference across the membrane, the protein forms a potassium-selective channel through which potassium ions may pass in accordance with their electrochemical gradient. The channel activity is up-regulated by cAMP.
-
基因功能參考文獻:
- KCNA10 in human proximal tubular cells, glomerular and vascular endothelial cells, and also in vascular smooth muscle cells. PMID: 12444201
-
亞細胞定位:Membrane; Multi-pass membrane protein.
-
蛋白家族:Potassium channel family, A (Shaker) (TC 1.A.1.2) subfamily, Kv1.8/KCNA10 sub-subfamily
-
組織特異性:Detected in kidney, in proximal tubules, glomerular endothelium, in vascular endothelium and in smooth muscle cells.
-
數據庫鏈接:
Most popular with customers
-
-
YWHAB Recombinant Monoclonal Antibody
Applications: ELISA, WB, IHC, IF, FC
Species Reactivity: Human, Mouse, Rat
-
Phospho-YAP1 (S127) Recombinant Monoclonal Antibody
Applications: ELISA, WB, IHC
Species Reactivity: Human
-
-
-
-
-















