KBTBD7 Antibody
-
中文名稱:KBTBD7兔多克隆抗體
-
貨號:CSB-PA823893ESR1HU
-
規格:¥440
-
圖片:
-
Western blot
All lanes: KBTBD7 antibody at 1.85μg/ml
Lane 1: HL60 whole cell lysate
Lane 2: A549 whole cell lysate
Lane 3: 293T whole cell lysate
Secondary
Goat polyclonal to rabbit IgG at 1/10000 dilution
Predicted band size: 77 kDa
Observed band size: 77 kDa -
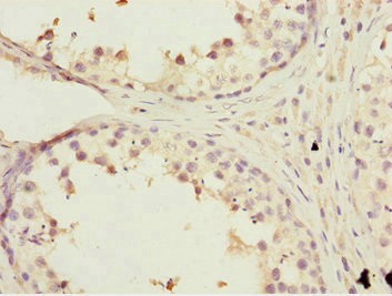
Immunohistochemistry of paraffin-embedded human testis tissue using CSB-PA823893ESR1HU at dilution of 1:100
-
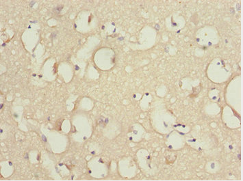
Immunohistochemistry of paraffin-embedded human brain tissue using CSB-PA823893ESR1HU at dilution of 1:100
-
-
其他:
產品詳情
-
產品名稱:Rabbit anti-Homo sapiens (Human) KBTBD7 Polyclonal antibody
-
Uniprot No.:
-
基因名:KBTBD7
-
別名:1110008P08Rik antibody; AU045792 antibody; DKFZP434E2318 antibody; Gm295 antibody; KBTB7_HUMAN antibody; KBTBD 7 antibody; KBTBD7 antibody; Kelch repeat and BTB (POZ) domain containing 7 antibody; Kelch repeat and BTB domain containing protein 7 antibody; Kelch repeat and BTB domain-containing protein 7 antibody; OTTHUMP00000018313 antibody
-
宿主:Rabbit
-
反應種屬:Human
-
免疫原:Recombinant Human Kelch repeat and BTB domain-containing protein 7 protein (475-684AA)
-
免疫原種屬:Homo sapiens (Human)
-
標記方式:Non-conjugated
-
克隆類型:Polyclonal
-
抗體亞型:IgG
-
純化方式:Antigen Affinity Purified
-
濃度:It differs from different batches. Please contact us to confirm it.
-
保存緩沖液:PBS with 0.02% sodium azide, 50% glycerol, pH7.3.
-
產品提供形式:Liquid
-
應用范圍:ELISA, WB, IHC
-
推薦稀釋比:
Application Recommended Dilution WB 1:1000-1:5000 IHC 1:20-1:200 -
Protocols:
-
儲存條件:Upon receipt, store at -20°C or -80°C. Avoid repeated freeze.
-
貨期:Basically, we can dispatch the products out in 1-3 working days after receiving your orders. Delivery time maybe differs from different purchasing way or location, please kindly consult your local distributors for specific delivery time.
-
用途:For Research Use Only. Not for use in diagnostic or therapeutic procedures.
相關產品
靶點詳情
-
功能:As part of the CUL3(KBTBD6/7) E3 ubiquitin ligase complex functions as a substrate adapter for the RAC1 guanine exchange factor (GEF) TIAM1, mediating its 'Lys-48' ubiquitination and proteasomal degradation. By controlling this ubiquitination, regulates RAC1 signal transduction and downstream biological processes including the organization of the cytoskeleton, cell migration and cell proliferation. Ubiquitination of TIAM1 requires the membrane-associated protein GABARAP which may restrict locally the activity of the complex.
-
基因功能參考文獻:
- KBTBD6 and KBTBD7 specifically bind to GABARAP proteins.KBTBD6 and KBTBD7 form a heterodimeric CRL3 complex. PMID: 25684205
- KBTBD7 proteins may act as a new transcriptional activator in mitogen-activated protein kinase (MAPK) signaling. PMID: 20132730
-
亞細胞定位:Cytoplasm. Nucleus.
-
數據庫鏈接:
Most popular with customers
-
-
Phospho-YAP1 (S127) Recombinant Monoclonal Antibody
Applications: ELISA, WB, IHC
Species Reactivity: Human
-
-
-
-
-
-















