KAT14 Antibody
-
中文名稱:KAT14兔多克隆抗體
-
貨號:CSB-PA880995ESR1HU
-
規格:¥440
-
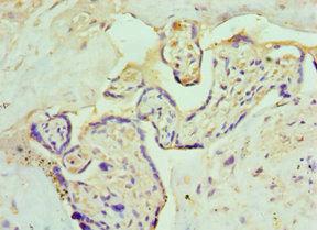
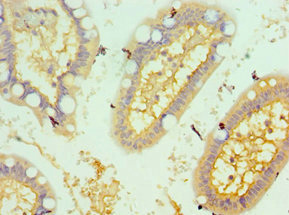
圖片:
-
其他:
產品詳情
-
產品名稱:Rabbit anti-Homo sapiens (Human) KAT14 Polyclonal antibody
-
Uniprot No.:
-
基因名:KAT14
-
別名:ADA2A containing complex subunit 2 antibody; ADA2A-containing complex subunit 2 antibody; ATAC2 antibody; CRP2 binding partner antibody; CRP2-binding partner antibody; CRP2BP antibody; CSR2B_HUMAN antibody; CSRP2 binding protein antibody; CSRP2-binding protein antibody; Csrp2bp antibody; Cysteine rich protein 2 binding protein antibody; Cysteine-rich protein 2-binding protein antibody
-
宿主:Rabbit
-
反應種屬:Human
-
免疫原:Recombinant Human Cysteine-rich protein 2-binding protein (523-782AA)
-
免疫原種屬:Homo sapiens (Human)
-
標記方式:Non-conjugated
-
克隆類型:Polyclonal
-
抗體亞型:IgG
-
純化方式:Antigen Affinity Purified
-
濃度:It differs from different batches. Please contact us to confirm it.
-
保存緩沖液:PBS with 0.02% sodium azide, 50% glycerol, pH7.3.
-
產品提供形式:Liquid
-
應用范圍:ELISA, IHC
-
推薦稀釋比:
Application Recommended Dilution IHC 1:20-1:200 -
Protocols:
-
儲存條件:Upon receipt, store at -20°C or -80°C. Avoid repeated freeze.
-
貨期:Basically, we can dispatch the products out in 1-3 working days after receiving your orders. Delivery time maybe differs from different purchasing way or location, please kindly consult your local distributors for specific delivery time.
-
用途:For Research Use Only. Not for use in diagnostic or therapeutic procedures.
相關產品
靶點詳情
-
功能:Component of the ATAC complex, a complex with histone acetyltransferase activity on histones H3 and H4. May function as a scaffold for the ATAC complex to promote ATAC complex stability. Has also weak histone acetyltransferase activity toward histone H4. Required for the normal progression through G1 and G2/M phases of the cell cycle.
-
亞細胞定位:Nucleus. Cytoplasm. Note=Mainly nuclear.
-
組織特異性:Expressed in skeletal muscle, heart, lung, placenta, brain, liver, pancreas and kidney. High expression in skeletal muscle and heart. Lower expression in lung.
-
數據庫鏈接:
Most popular with customers
-
-
YWHAB Recombinant Monoclonal Antibody
Applications: ELISA, WB, IHC, IF, FC
Species Reactivity: Human, Mouse, Rat
-
Phospho-YAP1 (S127) Recombinant Monoclonal Antibody
Applications: ELISA, WB, IHC
Species Reactivity: Human
-
-
-
-
-















