KALRN Antibody
-
中文名稱:KALRN兔多克隆抗體
-
貨號:CSB-PA011981LA01HU
-
規格:¥440
-
圖片:
-
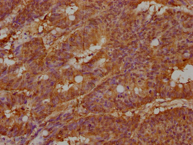
IHC image of CSB-PA011981LA01HU diluted at 1:100 and staining in paraffin-embedded human colon cancer performed on a Leica BondTM system. After dewaxing and hydration, antigen retrieval was mediated by high pressure in a citrate buffer (pH 6.0). Section was blocked with 10% normal goat serum 30min at RT. Then primary antibody (1% BSA) was incubated at 4°C overnight. The primary is detected by a biotinylated secondary antibody and visualized using an HRP conjugated SP system.
-
Immunofluorescence staining of Hela cells with CSB-PA011981LA01HU at 1:50, counter-stained with DAPI. The cells were fixed in 4% formaldehyde, permeabilized using 0.2% Triton X-100 and blocked in 10% normal Goat Serum. The cells were then incubated with the antibody overnight at 4°C. The secondary antibody was Alexa Fluor 488-congugated AffiniPure Goat Anti-Rabbit IgG(H+L).
-
-
其他:
產品詳情
-
產品名稱:Rabbit anti-Homo sapiens (Human) KALRN Polyclonal antibody
-
Uniprot No.:
-
基因名:KALRN
-
別名:Duo antibody; FLJ16443 antibody; HAPIP antibody; Huntingtin associated protein interacting protein (duo) antibody; Huntingtin-associated protein-interacting protein antibody; Kalirin (isoform 2) antibody; Kalirin antibody; KALRN antibody; KALRN_HUMAN antibody; Protein Duo antibody; RhoGEF kinase antibody; Serine/threonine kinase with Dbl and pleckstrin homology domains antibody; Serine/threonine-protein kinase with Dbl- and pleckstrin homology domain antibody; TRAD antibody
-
宿主:Rabbit
-
反應種屬:Human
-
免疫原:Recombinant Human Kalirin protein (2410-2661AA)
-
免疫原種屬:Homo sapiens (Human)
-
標記方式:Non-conjugated
本頁面中的產品,KALRN Antibody (CSB-PA011981LA01HU),的標記方式是Non-conjugated。對于KALRN Antibody,我們還提供其他標記。見下表:
-
克隆類型:Polyclonal
-
抗體亞型:IgG
-
純化方式:Antigen Affinity Purified
-
濃度:It differs from different batches. Please contact us to confirm it.
-
保存緩沖液:Preservative: 0.03% Proclin 300
Constituents: 50% Glycerol, 0.01M PBS, pH 7.4 -
產品提供形式:Liquid
-
應用范圍:ELISA, IHC, IF
-
推薦稀釋比:
Application Recommended Dilution IHC 1:20-1:200 IF 1:50-1:200 -
Protocols:
-
儲存條件:Upon receipt, store at -20°C or -80°C. Avoid repeated freeze.
-
貨期:Basically, we can dispatch the products out in 1-3 working days after receiving your orders. Delivery time maybe differs from different purchasing way or location, please kindly consult your local distributors for specific delivery time.
-
用途:For Research Use Only. Not for use in diagnostic or therapeutic procedures.
相關產品
靶點詳情
-
功能:Promotes the exchange of GDP by GTP. Activates specific Rho GTPase family members, thereby inducing various signaling mechanisms that regulate neuronal shape, growth, and plasticity, through their effects on the actin cytoskeleton. Induces lamellipodia independent of its GEF activity.
-
基因功能參考文獻:
- SNPs of the KALRN gene are associated with intracranial atherosclerotic stenosis in the northern Chinese population. PMID: 30232674
- Combination of polymorphisms in the NOD2, IL17RA, EPHA2 and KALRN genes could play a significant role in the development of sarcoidosis by maintaining a chronic pro-inflammatory status in macrophages PMID: 29554915
- The GG genotype and G allele of SNP rs7620580 were associated with a risk for ischemic stroke with an adjusted OR of 3.195 and an OR of 1.446, respectively. Haplotype analysis revealed that A-T-G,G-T-A, and A-T-A haplotypes were associated with ischemic stroke. Our results provide evidence that kalirin gene variations were associated with ischemic stroke in the Chinese Han population. PMID: 28706949
- DNA sequencing provided evidence linking KALRN to monogenic intellectual disability in two patients. PMID: 27421267
- Data suggest protein levels of kalirin and CHD7 in circulating extracellular vesicles (EVs) as endothelial dysfunction markers to monitor vascular condition in hypertensive patients with albuminuria. PMID: 28152519
- GG genotype and the G allele of the rs9289231 polymorphism of KALRN and the rs224766 polymorphism of ADIPOQ genes may be considered genetic risk factors for Iranian type 2 diabetic patients with coronary artery disease. PMID: 27218147
- 4 KALRN gene SNPs were studied in Han ischemic stroke patients. rs11712619 seemed associated with lacunar stroke until risk factors were considered. re6438833 was significantly associated with ischemic and lacunar stroke. PMID: 25917671
- consider the GG genotype and the G allele of rs9289231 polymorphism of KALRN to be genetic risk factors for CAD in an Iranian population, especially in early-stage atherosclerotic vascular disease PMID: 25316661
- A sequence variant in human KALRN impairs protein ability to activate Rac1 and coincides with reduced cortical thickness. PMID: 25224588
- The kalirin expression were reduced in Alzheimer disease with psychosis. PMID: 22429885
- The age-at-onset of Huntington disease (HD) is not associated with eleven SNPs, including SNP rs10934657 in the kalirin gene in 680 European HD patients. PMID: 22720673
- Neuronal guanine nucleotide exchange factor (GEF) kalirin is emerging as a key regulator of structural and functional plasticity at dendritic spines. PMID: 22194219
- In both anterior cingulate cortex (ACC) and dorsolateral prefrontal cortex (DLPFC), study found a reduction of Duo expression and PAK1 phosphorylation in schizophrenia. Cdc42 protein expression was decreased in ACC but not in DLPFC PMID: 22458949
- Missense mutations in KALRN may be genetic risk factors for schizophrenia. PMID: 21041834
- We found Kalirin-9 expression to be paradoxically increased in schizophrenia PMID: 22120753
- KALRN gene variation is not associated with overall ischemic stroke PMID: 21664346
- SNX1 and SNX2 interact with Kalirin-7. Overexpression of SNX1 or SNX2 and Kalirin-7 partially redistributes both SNXs to the plasma membrane, and results in RhoG-dependent lamellipodia formation. PMID: 20604901
- Studies indicate that Kalirin-7 plays a key role in excitatory synapse formation and function. PMID: 20730383
- Two SNPs in the KALRN gene region (rs17286604 and rs11712619)constitute risk factors for ischemic stroke. PMID: 20107840
- we have identified multiple transcriptional start sites in rats and humans. These multiple transcriptional start sites result in full-length Kalirin transcripts possessing different 5' ends encoding proteins with differing amino termini PMID: 14742910
- Kalirin GEF1 domain induces lamellipodia through activation of Pak, where Guanine nucleotide exchange factor (GEF) activity is not required. PMID: 15950621
- Three SNPs from the kalirin (KALRN) gene are associated with early-onset coronary artery disease. PMID: 17357071
- ARF6 recruits KALRN to the cell membrane facilitating Rac activation. PMID: 17640372
- Our observation is the first to relate kalirin to Alzheimer's disease. Kalirin was consistently under-expressed in Alzheimer's disease hippocampus. PMID: 17851188
- Kalirin-7 is an essential component of both shaft and spine excitatory synapses in hippocampal interneurons. PMID: 18199770
顯示更多
收起更多
-
相關疾病:Coronary heart disease 5 (CHDS5)
-
亞細胞定位:Cytoplasm. Cytoplasm, cytoskeleton. Note=Associated with the cytoskeleton.
-
蛋白家族:Protein kinase superfamily, CAMK Ser/Thr protein kinase family
-
組織特異性:Isoform 2 is brain specific. Highly expressed in cerebral cortex, putamen, amygdala, hippocampus and caudate nucleus. Weakly expressed in brain stem and cerebellum. Isoform 4 is expressed in skeletal muscle.
-
數據庫鏈接:
Most popular with customers
-
-
YWHAB Recombinant Monoclonal Antibody
Applications: ELISA, WB, IHC, IF, FC
Species Reactivity: Human, Mouse, Rat
-
Phospho-YAP1 (S127) Recombinant Monoclonal Antibody
Applications: ELISA, WB, IHC
Species Reactivity: Human
-
-
-
-
-















