JADE1 Antibody
-
中文名稱:JADE1兔多克隆抗體
-
貨號:CSB-PA743563ESR1HU
-
規格:¥440
-
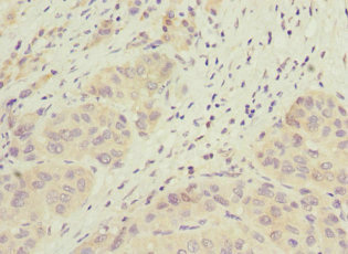
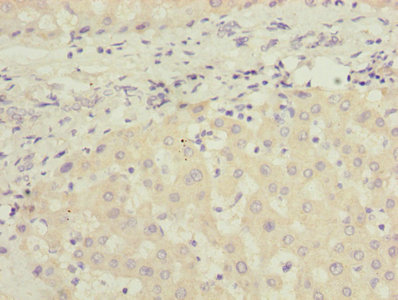
圖片:
-
其他:
產品詳情
-
產品名稱:Rabbit anti-Homo sapiens (Human) JADE1 Polyclonal antibody
-
Uniprot No.:
-
基因名:JADE1
-
別名:FLJ22479 antibody; Gene for apoptosis and differentiation in epithelia antibody; Jade family PHD finger 1 antibody; JADE1 antibody; JADE1_HUMAN antibody; KIAA1807 antibody; OTTHUMP00000219842 antibody; OTTHUMP00000219934 antibody; OTTHUMP00000219935 antibody; OTTHUMP00000219936 antibody; PHD finger protein 17 antibody; PHD protein Jade 1 antibody; Phf17 antibody; Protein Jade 1 antibody; Protein Jade-1 antibody
-
宿主:Rabbit
-
反應種屬:Human
-
免疫原:Recombinant Human Protein Jade-1 protein (543-842AA)
-
免疫原種屬:Homo sapiens (Human)
-
標記方式:Non-conjugated
-
克隆類型:Polyclonal
-
抗體亞型:IgG
-
純化方式:Antigen Affinity Purified
-
濃度:It differs from different batches. Please contact us to confirm it.
-
保存緩沖液:PBS with 0.02% sodium azide, 50% glycerol, pH7.3.
-
產品提供形式:Liquid
-
應用范圍:ELISA, IHC
-
推薦稀釋比:
Application Recommended Dilution IHC 1:20-1:200 -
Protocols:
-
儲存條件:Upon receipt, store at -20°C or -80°C. Avoid repeated freeze.
-
貨期:Basically, we can dispatch the products out in 1-3 working days after receiving your orders. Delivery time maybe differs from different purchasing way or location, please kindly consult your local distributors for specific delivery time.
-
用途:For Research Use Only. Not for use in diagnostic or therapeutic procedures.
相關產品
靶點詳情
-
功能:Scaffold subunit of some HBO1 complexes, which have a histone H4 acetyltransferase activity. Plays a key role in HBO1 complex by directing KAT7/HBO1 specificity towards histone H4 acetylation (H4K5ac, H4K8ac and H4K12ac), regulating DNA replication initiation, regulating DNA replication initiation. May also promote acetylation of nucleosomal histone H4 by KAT5. Promotes apoptosis. May act as a renal tumor suppressor. Negatively regulates canonical Wnt signaling; at least in part, cooperates with NPHP4 in this function.
-
基因功能參考文獻:
- identification of SNPs within the IQCJ, NXPH1, PHF17 and MYB genes partly explaining the large interindividual variability observed in plasma triglyceride levels in response to an n-3 fatty acid supplementation PMID: 27160456
- A genome-wide association study (GWAS) identified loci associated with the plasma triglyceride (TG) response to omega-3 fatty acid (FA) supplementation in IQCJ, NXPH1, PHF17 and MYB. PMID: 28134766
- JADE1 expression has a role in colon cancers, renal carcinomas, and in acute kidney injuries and regeneration. (Review) PMID: 27155521
- Interactome analyses revealed that the Jade-1S mutant unable to be phosphorylated by CK1alpha has an increased binding affinity to proteins involved in chromatin remodelling, histone deacetylation, transcriptional repression, and ribosome biogenesis. PMID: 26919559
- JADE1S protein localized to centrosomes in interphase and mitotic cells, and to the midbody during cytokinesis. PMID: 26151225
- Casein kinase 1 alpha specifically phosphorylates Jade-1 at an unprimed SLS phosphorylation site. PMID: 25100726
- Increase in the number of cells with cytoplasmic JADE1S correlated with activation of tubular cell proliferation and inversely correlated with the number of cells with nuclear JADE1S, supporting role of HBO1-JADE1 shuttling during organ regeneration. PMID: 24739512
- lncRNA-JADE is a key functional link that connects the DDR to histone H4 acetylation, and that dysregulation of lncRNA-JADE may contribute to breast tumorigenesis. PMID: 24097061
- Reduced Jade-1 expression is associated with clear-cell renal cell carcinomas. PMID: 23824745
- The ciliary protein nephrocystin-4 translocates the canonical Wnt regulator Jade-1 to the nucleus to negatively regulate beta-catenin signaling. PMID: 22654112
- RCC with a low expression of Jade-1 is associated with a poor outcome and decreased survival PMID: 22516360
- Jade-1 protein is a novel candidate regulatory factor in Von Hippel Lindau-mediated renal tumor suppression PMID: 12169691
- Jade-1 is a novel candidate transcriptional co-activator associated with HAT activity and may play a key role in the pathogenesis of renal cancer and von Hippel-Lindau disease PMID: 15502158
- Jade-1 may suppress renal cancer cell growth in part by increasing apoptosis. PMID: 16046545
- Jade-1/1L are crucial co-factors for HBO1-mediated histone H4 acetylation PMID: 18684714
- The pVHL tumour suppressor and the Wnt tumorigenesis pathway are therefore directly linked through Jade-1. PMID: 18806787
顯示更多
收起更多
-
亞細胞定位:Nucleus. Chromosome. Cytoplasm. Cytoplasm, cytoskeleton, cilium basal body.
-
蛋白家族:JADE family
-
組織特異性:Highly expressed in kidney. Also present in pancreas, liver and heart (at protein level). Down-regulated in renal cancer cells.
-
數據庫鏈接:
Most popular with customers
-
-
YWHAB Recombinant Monoclonal Antibody
Applications: ELISA, WB, IHC, IF, FC
Species Reactivity: Human, Mouse, Rat
-
Phospho-YAP1 (S127) Recombinant Monoclonal Antibody
Applications: ELISA, WB, IHC
Species Reactivity: Human
-
-
-
-
-















