ITIH3 Antibody
-
中文名稱:ITIH3兔多克隆抗體
-
貨號:CSB-PA22869A0Rb
-
規格:¥440
-
圖片:
-
IHC image of CSB-PA22869A0Rb diluted at 1:100 and staining in paraffin-embedded human thyroid tissue performed on a Leica BondTM system. After dewaxing and hydration, antigen retrieval was mediated by high pressure in a citrate buffer (pH 6.0). Section was blocked with 10% normal goat serum 30min at RT. Then primary antibody (1% BSA) was incubated at 4°C overnight. The primary is detected by a biotinylated secondary antibody and visualized using an HRP conjugated SP system.
-
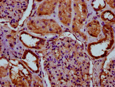
IHC image of CSB-PA22869A0Rb diluted at 1:100 and staining in paraffin-embedded human kidney tissue performed on a Leica BondTM system. After dewaxing and hydration, antigen retrieval was mediated by high pressure in a citrate buffer (pH 6.0). Section was blocked with 10% normal goat serum 30min at RT. Then primary antibody (1% BSA) was incubated at 4°C overnight. The primary is detected by a biotinylated secondary antibody and visualized using an HRP conjugated SP system.
-
-
其他:
產品詳情
-
產品名稱:Rabbit anti-Homo sapiens (Human) ITIH3 Polyclonal antibody
-
Uniprot No.:
-
基因名:ITIH3
-
別名:ITIH3 antibody; Inter-alpha-trypsin inhibitor heavy chain H3 antibody; ITI heavy chain H3 antibody; ITI-HC3 antibody; Inter-alpha-inhibitor heavy chain 3 antibody; Serum-derived hyaluronan-associated protein antibody; SHAP antibody
-
宿主:Rabbit
-
反應種屬:Human
-
免疫原:Recombinant Human Inter-alpha-trypsin inhibitor heavy chain H3 protein (512-651AA)
-
免疫原種屬:Homo sapiens (Human)
-
標記方式:Non-conjugated
本頁面中的產品,ITIH3 Antibody (CSB-PA22869A0Rb),的標記方式是Non-conjugated。對于ITIH3 Antibody,我們還提供其他標記。見下表:
-
克隆類型:Polyclonal
-
抗體亞型:IgG
-
純化方式:>95%, Protein G purified
-
濃度:It differs from different batches. Please contact us to confirm it.
-
保存緩沖液:Preservative: 0.03% Proclin 300
Constituents: 50% Glycerol, 0.01M PBS, pH 7.4 -
產品提供形式:Liquid
-
應用范圍:ELISA, IHC
-
推薦稀釋比:
Application Recommended Dilution IHC 1:20-1:200 -
Protocols:
-
儲存條件:Upon receipt, store at -20°C or -80°C. Avoid repeated freeze.
-
貨期:Basically, we can dispatch the products out in 1-3 working days after receiving your orders. Delivery time maybe differs from different purchasing way or location, please kindly consult your local distributors for specific delivery time.
-
用途:For Research Use Only. Not for use in diagnostic or therapeutic procedures.
相關產品
靶點詳情
-
功能:May act as a carrier of hyaluronan in serum or as a binding protein between hyaluronan and other matrix protein, including those on cell surfaces in tissues to regulate the localization, synthesis and degradation of hyaluronan which are essential to cells undergoing biological processes.
-
基因功能參考文獻:
- ITIH3 rs2535629 SNP was genotyped in N=256 patients receiving various antipsychotics for up to 26weeks. Study found no association of genotype with overall changes in Brief Psychiatric Rating Scale scores, but greater improvement of negative symptoms in minor allele carriers indicates that rs2535629 may help to identify a subset of schizophrenia patients with better treatment response to clozapine. PMID: 27396837
- confirmed the association of schizophrenia with ITIH3/4 in a Han Chinese population PMID: 26206863
- A novel association between suicide attempt and the ITIH3/4-region in a combined group of patients with bipolar disorder, schizophrenia and related psychosis spectrum disorders. PMID: 24461634
- Study showed the association of a polymorphism (rs2535629) of ITIH3 with psychiatric disorders in an Asian population and that rs2535629 influences the susceptibility to psychiatric disorders by affecting the expression level of GLT8D1 PMID: 24373612
- This study demonistrated that Genome-wide significant associations in schizophrenia to ITIH3/4 and extensive replication of associations reported by the Schizophrenia. PMID: 22614287
- ITIH3 protein was found to be more highly expressed in plasma of tumor bearing mice compared to control. PMID: 20515073
- ITIH3 single-nucleotide polymorphism is a novel genetic risk factor of myocardial infarction. PMID: 17211523
- Widespread heavy chain 3 was only present in urinary stone formers PMID: 17898697
顯示更多
收起更多
-
亞細胞定位:Secreted.
-
蛋白家族:ITIH family
-
數據庫鏈接:
Most popular with customers
-
-
YWHAB Recombinant Monoclonal Antibody
Applications: ELISA, WB, IHC, IF, FC
Species Reactivity: Human, Mouse, Rat
-
-
-
-
-
-















