IST1 Antibody
-
中文名稱:IST1兔多克隆抗體
-
貨號:CSB-PA012171LA01HU
-
規格:¥440
-
圖片:
-
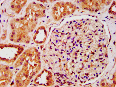
IHC image of CSB-PA012171LA01HU diluted at 1:200 and staining in paraffin-embedded human kidney tissue performed on a Leica BondTM system. After dewaxing and hydration, antigen retrieval was mediated by high pressure in a citrate buffer (pH 6.0). Section was blocked with 10% normal goat serum 30min at RT. Then primary antibody (1% BSA) was incubated at 4°C overnight. The primary is detected by a biotinylated secondary antibody and visualized using an HRP conjugated SP system.
-
Immunofluorescence staining of HepG2 cells with CSB-PA012171LA01HU at 1:66, counter-stained with DAPI. The cells were fixed in 4% formaldehyde, permeabilized using 0.2% Triton X-100 and blocked in 10% normal Goat Serum. The cells were then incubated with the antibody overnight at 4°C. The secondary antibody was Alexa Fluor 488-congugated AffiniPure Goat Anti-Rabbit IgG(H+L).
-
-
其他:
產品詳情
-
產品名稱:Rabbit anti-Homo sapiens (Human) IST1 Polyclonal antibody
-
Uniprot No.:
-
基因名:
-
別名:hIST1 antibody; Increased sodium tolerance 1 antibody; Increased sodium tolerance 1 homolog antibody; IST1 homolog antibody; IST1_HUMAN antibody; KIAA0174 antibody; MAPK activating protein PM28 antibody; MGC117220 antibody; MGC128433 antibody; Putative MAPK-activating protein PM28 antibody
-
宿主:Rabbit
-
反應種屬:Human
-
免疫原:Recombinant Human IST1 homolog protein (172-284AA)
-
免疫原種屬:Homo sapiens (Human)
-
標記方式:Non-conjugated
本頁面中的產品,IST1 Antibody (CSB-PA012171LA01HU),的標記方式是Non-conjugated。對于IST1 Antibody,我們還提供其他標記。見下表:
-
克隆類型:Polyclonal
-
抗體亞型:IgG
-
純化方式:>95%, Protein G purified
-
濃度:It differs from different batches. Please contact us to confirm it.
-
保存緩沖液:Preservative: 0.03% Proclin 300
Constituents: 50% Glycerol, 0.01M PBS, pH 7.4 -
產品提供形式:Liquid
-
應用范圍:ELISA, IHC, IF
-
推薦稀釋比:
Application Recommended Dilution IHC 1:200-1:500 IF 1:50-1:200 -
Protocols:
-
儲存條件:Upon receipt, store at -20°C or -80°C. Avoid repeated freeze.
-
貨期:Basically, we can dispatch the products out in 1-3 working days after receiving your orders. Delivery time maybe differs from different purchasing way or location, please kindly consult your local distributors for specific delivery time.
-
用途:For Research Use Only. Not for use in diagnostic or therapeutic procedures.
相關產品
靶點詳情
-
功能:ESCRT-III-like protein involved in specific functions of the ESCRT machinery. Is required for efficient abscission during cytokinesis, but not for HIV-1 budding. The involvement in the MVB pathway is not established. Involved in recruiting VPS4A and/or VPS4B to the midbody of dividing cells. During late anaphase, involved in nuclear envelope reassembly and mitotic spindle disassembly together with the ESCRT-III complex: IST1 acts by mediating the recruitment of SPAST to the nuclear membrane, leading to microtubule severing. Regulates early endosomal tubulation together with the ESCRT-III complex by mediating the recruitment of SPAST.
-
基因功能參考文獻:
- Nuclear overexpression of OLC1 was associated with clinicopathological parameters and could predict a poor overall survival in gastric adenocarcinoma. PMID: 28038462
- The expression of OLC1 in the tumor tissues of lung adenocarcinoma is higher than that in squamous cell carcinoma. PMID: 28532543
- Structural and biochemical studies reveal an unusually tight interaction between ULK3 and IST1, an ESCRT-III subunit required for cytokinetic abscission. PMID: 26011858
- Overexpression of OLC1 promotes tumorigenesis of human esophageal squamous cell carcinoma. PMID: 24608342
- Findings indicate that a high expression level of overexpressed in lung cancer 1 (OLC1) serves as a biomarker for poor prognosis for breast cancer, suggesting that OLC1 may be a potential target of antiangiogenic therapy for breast cancer. PMID: 24880589
- Over-expression of the OCL1 is associated with colorectal cancer. PMID: 24403489
- the binding of ALG-2 to IST1 is Ca(2+)-dependent PMID: 23649269
- The results suggest that inclusion of IST1 into the ESCRT complex allows recruitment of spastin to promote fission of recycling tubules from the endosome. PMID: 23897888
- OLC1 over-expression is an important factor in epithelial ovarian carcinoma prognosis and can be a potential biomarker for ovarian carcinoma. PMID: 23609236
- The interaction between CL7MIT and CHMP1B and between CL7MIT and IST1 became stronger when IST1 or CHMP1B was additionally coexpressed, suggesting formation of ternary complex of calpain-7, IST1 and CHMP1B. PMID: 21616915
- These results demonstrate that cigarette smoke regulates OLC1 expression in lung cancer cells by compromising its ubiquitination and subsequent degradation through the ubiquitin E3 ligase APC. PMID: 21439932
- These data suggest that Ist1 interaction is important for spartin recruitment to the midbody and that spartin participates in cytokinesis. PMID: 20719964
- Results demonstrate that human calpain 7 is proteolytically active, and imply that calpain 7 is activated by ESCRT-III-related protein IST1. PMID: 20849418
- OLC1 (KIAA0174) is a candidate oncogene in lung cancer whose expression may be regulated by exposure to cigarette smoke. PMID: 19001599
- IST1 and CHMP1 act together to recruit and modulate specific VPS4 activities required during the final stages of cell division. PMID: 19129479
- hIST1 is essential for cytokinesis in mammalian cells. PMID: 19129480
- Data show that the N-terminal core domains of increased sodium tolerance-1 (IST1) and charged multivesicular body protein-3 (CHMP3) form equivalent four-helix bundles, revealing that IST1 is a previously unrecognized ESCRT-III family member. PMID: 19525971
顯示更多
收起更多
-
亞細胞定位:Cytoplasmic vesicle. Cytoplasm, cytoskeleton, microtubule organizing center, centrosome. Midbody. Nucleus envelope.
-
蛋白家族:IST1 family
-
數據庫鏈接:
Most popular with customers
-
-
YWHAB Recombinant Monoclonal Antibody
Applications: ELISA, WB, IHC, IF, FC
Species Reactivity: Human, Mouse, Rat
-
Phospho-YAP1 (S127) Recombinant Monoclonal Antibody
Applications: ELISA, WB, IHC
Species Reactivity: Human
-
-
-
-
-















