IRS2 Antibody
-
中文名稱:IRS2兔多克隆抗體
-
貨號:CSB-PA969280
-
規格:¥1100
-
圖片:
-
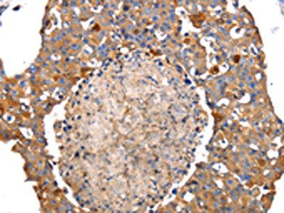
The image on the left is immunohistochemistry of paraffin-embedded Human ovarian cancer tissue using CSB-PA969280(IRS2 Antibody) at dilution 1/100, on the right is treated with synthetic peptide. (Original magnification: ×200)
-
The image on the left is immunohistochemistry of paraffin-embedded Human breast cancer tissue using CSB-PA969280(IRS2 Antibody) at dilution 1/100, on the right is treated with synthetic peptide. (Original magnification: ×200)
-
-
其他:
產品詳情
-
Uniprot No.:
-
基因名:
-
別名:Insulin receptor substrate 2 antibody; IRS 2 antibody; IRS-2 antibody; Irs2 antibody; IRS2_HUMAN antibody
-
宿主:Rabbit
-
反應種屬:Human,Mouse
-
免疫原:Synthetic peptide of Human IRS2
-
免疫原種屬:Homo sapiens (Human)
-
標記方式:Non-conjugated
-
抗體亞型:IgG
-
純化方式:Antigen affinity purification
-
濃度:It differs from different batches. Please contact us to confirm it.
-
保存緩沖液:-20°C, pH7.4 PBS, 0.05% NaN3, 40% Glycerol
-
產品提供形式:Liquid
-
應用范圍:ELISA,IHC
-
推薦稀釋比:
Application Recommended Dilution ELISA 1:2000-1:10000 IHC 1:50-1:200 -
Protocols:
-
儲存條件:Upon receipt, store at -20°C or -80°C. Avoid repeated freeze.
-
貨期:Basically, we can dispatch the products out in 1-3 working days after receiving your orders. Delivery time maybe differs from different purchasing way or location, please kindly consult your local distributors for specific delivery time.
-
用途:For Research Use Only. Not for use in diagnostic or therapeutic procedures.
相關產品
靶點詳情
-
功能:May mediate the control of various cellular processes by insulin.
-
基因功能參考文獻:
- Study suggests that polymorphisms of IRS2 putatively participated in the development of pediatric MB development. PMID: 28303061
- Urinary sediment cell expression of IRS2 gene was significantly increased in the diabetic nephropathy (DN) patients compared with other groups. In patients with DN, urinary mRNA expression of the IRS2 gene is associated with kidney function. PMID: 29891743
- Insulin signaling pathway protects neuronal cell lines by Sirt3 mediated IRS2 activation. PMID: 29411439
- Acute loss of IRS1/IRS2 or inhibition of IR/IGF1R in KRAS-mutant human NSCLC cells decreases the uptake and lowers the intracellular levels of amino acids, while enhancing basal autophagy and sensitivity to autophagy and proteasome inhibitors. PMID: 29610318
- that MTNR1B and IRS2 gene variants impacted epicardial fat thickness, lipid profile and glucose homeostasis PMID: 28708046
- this meta-analysis indicates that IRS-2 gene rs1805097 polymorphism decreased the risk of CRC. PMID: 28212577
- IRS-1 and IRS-2 signaling interaction with the microtubule cytoskeleton and its response to AKT determines the response to microtubule disruption in breast carcinoma cells PMID: 28320862
- The study results were suggestive of a positive association between Gly972Arg of IRS1 and PCOS in the south Indian population, while INS, IRS2, PPAR-G and CAPN10 failed to show any association with PCOS in our studied population. PMID: 28360393
- We concluded that USP15 attenuates IGF-I signaling by antagonizing Nedd4-induced IRS-2 ubiquitination. PMID: 28126338
- these data highlight two novel regulatory proteins that could be therapeutically manipulated to limit IL-4-induced IRS-2 signaling and polarization of M2 macrophages in allergic inflammation. PMID: 27742835
- Proteasomal inhibition prolonged IRS-2 tyrosine phosphorylation, increased ubiquitination of IRS-2, and enhanced M2 gene expression. PMID: 27507812
- Findings suggest that insulin receptor substrate -1 Gly972Arg polymorphism is associated with polycystic ovary syndrome in the Caucasian ethnicity, and insulin receptor substrate -2 Gly1057Asp polymorphism is correlated with polycystic ovary syndrome in the Asian ethnicity. However, insulin receptor His 1058 C/T polymorphism may not be implicated in polycystic ovary syndrome. PMID: 27098445
- In the renal proximal tubule, insulin signaling via IRS1 is inhibited, while insulin signaling via IRS2 is preserved. Insulin signaling via IRS2 continues to stimulate sodium reabsorption in the proximal tubule and causes sodium retention, edema, and hypertension. PMID: 27247938
- miRNA-146a may function as a useful clinical tool in the treatment and diagnosis of ESCC, and its overexpression suppressed cell growth through inhibition of IRS2. PMID: 26508028
- High IRS2 expression is associated with myeloproliferative neoplasms. PMID: 26755644
- FSH decreases IRS-2 mRNA degradation indicating post-transcriptional stabilization. PMID: 26388164
- These data demonstrate for the first time that miR146a suppresses lung cancer progression by repressing IRS2 expression PMID: 26238771
- IRS-specific gene signatures represent accurate surrogates of IGF activity and could predict response to anti-IGF therapy in breast cancer. PMID: 26991655
- These results indicate that miR-106a* affects renal cell carcinoma (RCC) progression by targeting IRS-2 with suppression of the PI3K/Akt signaling pathway in RCC cells PMID: 26018509
- meta-analysis of genetic association studies: Data suggest that the D allele of the G1057D SNP in IRS2 has a significant effect on reducing risk of type 2 diabetes mellitus; obesity is a modifier of this association. [META-ANALYSIS, REVIEW] PMID: 25959789
- We conclude that AFB1 may upregulate IRS2 and stimulate lung cancer cell migration through Src PMID: 25820822
- IRS2 copy number gain, IGF-1R, IR-A, and IGFBP6 RNA expression levels, and KRAS and BRAF mutational status were identified as candidate predictive biomarkers for response to BMS-754807. PMID: 25527633
- Results suggest that a genetic variation in the insulin signaling pathway genes IRS1, IRS2 and INSR may affect the therapeutic response of temporal lobe epilepsy PMID: 25458098
- Study found significant association of the variant of IRS-2 gene as well as the interaction of IRS-1 and IRS-2 genes with polycystic ovary syndrome, especially in non-obese women from Taiwan. PMID: 25310961
- IRS2 phosphorylation is cell cycle-regulated and that Plk1 phosphorylation of IRS2 prevents premature mitotic exit via AKT inactivation. PMID: 25830382
- Changes in the expression levels of IRS1, IRS2, RIPK2, RSPO1, and DNA JC15 genes might contribute to the development of insulin resistance and glucose intolerance in the obese boys. PMID: 26040030
- Data (including data from knockout mice) suggest reduced insulin/IGF1 (insulin-like growth factor I) signaling slows progressive neurodegeneration of aging and increases life span via mechanism involving IRS2. [REVIEW] PMID: 25200290
- Increased expression of IRS2 is associated with oral squamous cell carcinoma. PMID: 24810113
- simulation shows that the wiring of the network determines different functions of IRS1 and IRS2. PMID: 24703981
- IGF-2, IGF-2R, and IRS-2 genes polymorphisms and their combinations are associated with risk of HCC PMID: 24656929
- IRS2 (rs2289046) GG genotype compared with AA+AG genotypes has a protective effect for colorectal cancer in normal weight subjects. PMID: 24175768
- The IRS2 rs1805097 polymorphism is not associated with colorectal and breast cancer risk. [Meta-analysis] PMID: 24497996
- Hepatitis C virus infection triggers endoplasmic reticulum stress and downregulates IRS1 and IRS2 through upregulation of SOCS-3. PMID: 25283858
- These results suggest that IRS-2 1057D allele may be associated with gestational diabetes mellitus. PMID: 24401133
- IRS1/2 promotes EMT and cell proliferation through stabilizing Dvl2. PMID: 24616100
- Differential regulation of IRS1 and IRS2 and of their downstream effectors AKT1 and AKT2 is consistent with upregulation of FOXO1 PMID: 23147115
- This study showed that three examined SNPs (rs2059806, Ala550Ala in INSR; rs1801123, Ala804Ala in IRS1; rs4773092, Cys816Cys, IRS2) did not show association with schizophrenia. PMID: 23706954
- Upregulation of IRS2 in the kidney tubules of diabetic nephropathy (DN) patients also indicates a novel role for IRS2 as a marker and/or mediator of human DN progression. PMID: 23617393
- IRS-2 Gly1057Asp polymorphisms are associated with T2DM in the Kurdish ethnic group. PMID: 22994406
- These data identify IRS2 as a likely driver oncogene in the prevalent 13q34 region of gain/amplification and suggest that IRS2 over-expression may provide an additional mechanism of PI3 kinase pathway activation in colorectal cancer. PMID: 23594372
- IRS-1 to IRS-2 ratios were lower in malignant than in benign prostatic tissue PMID: 23251408
- CaMK4 regulates beta-cell proliferation and apoptosis in a CREB-dependent manner and CaMK4-induced IRS-2 expression is important in these processes PMID: 23049845
- Amino acids 300-600 of IRS-2 are the 14-3-3 binding region with an important role for IGF-1/insulin-regulated phosphorylation of Ser-573. PMID: 22912850
- in elderly subjects the presence of the allelic variant Gly1057Asp of IRS2 gene was associated with the degree of insulin resistance and with epicardial fat thickness, suggesting its contribution to global cardiometabolic risk. PMID: 23018177
- Gly allele at codon 1057 in IRS-2 is correlated with an increased susceptibility to coronary artery disease in the Taiwanese population PMID: 23216712
- No significant associations were observed in IRS-2 Gly1057Asp polymorphism with polycystic ovary syndrome. PMID: 22523112
- CASP3 rs4862396, BMP5 rs3734444 and IRS2 rs7986346 may affect the survival in patients after androgen-deprivation therapy for prostate cancer PMID: 22844442
- no association between the IRS-1 and IRS-2 polymorphisms and Polycystic ovary syndrome were found. The results confirm that these polymorphisms should not be considered as major contributors to the pathogenesis of this disorder PMID: 22205343
- Defective IRS2 expression plays a role in the impaired hematopoietic cell differentiation in myelodysplastic syndrome. PMID: 22465474
- The rs2289046 polymorphism at the IRS2 gene locus may influence insulin sensitivity by interacting with certain plasma fatty acids in in metabolic syndrome subjects. PMID: 22147666
顯示更多
收起更多
-
亞細胞定位:Cytoplasm, cytosol.
-
數據庫鏈接:
Most popular with customers
-
-
YWHAB Recombinant Monoclonal Antibody
Applications: ELISA, WB, IHC, IF, FC
Species Reactivity: Human, Mouse, Rat
-
Phospho-YAP1 (S127) Recombinant Monoclonal Antibody
Applications: ELISA, WB, IHC
Species Reactivity: Human
-
-
-
-
-















