IRF6 Antibody
-
中文名稱:IRF6兔多克隆抗體
-
貨號:CSB-PA102246
-
規格:¥1100
-
圖片:
-
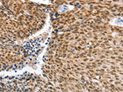
The image on the left is immunohistochemistry of paraffin-embedded Human cervical cancer tissue using CSB-PA102246(IRF6 Antibody) at dilution 1/50, on the right is treated with fusion protein. (Original magnification: ×200)
-
The image on the left is immunohistochemistry of paraffin-embedded Human lung cancer tissue using CSB-PA102246(IRF6 Antibody) at dilution 1/50, on the right is treated with fusion protein. (Original magnification: ×200)
-
Gel: 8%SDS-PAGE, Lysate: 40 μg, Lane 1-3: 231 cells, mouse kidney tissue, Mouse lung tissue, Primary antibody: CSB-PA102246(IRF6 Antibody) at dilution 1/400, Secondary antibody: Goat anti rabbit IgG at 1/8000 dilution, Exposure time: 5 minutes
-
-
其他:
產品詳情
-
Uniprot No.:
-
基因名:
-
別名:Interferon regulatory factor 6 antibody; IRF 6 antibody; IRF-6 antibody; IRF6 antibody; IRF6_HUMAN antibody; LPS antibody; OFC 6 antibody; OFC6 antibody; OTTHUMP00000034677 antibody; OTTHUMP00000034678 antibody; PIT antibody; PPS antibody; PPS1 antibody; VWS antibody; VWS1 antibody
-
宿主:Rabbit
-
反應種屬:Human,Mouse
-
免疫原:Fusion protein of Human IRF6
-
免疫原種屬:Homo sapiens (Human)
-
標記方式:Non-conjugated
-
抗體亞型:IgG
-
純化方式:Antigen affinity purification
-
濃度:It differs from different batches. Please contact us to confirm it.
-
保存緩沖液:-20°C, pH7.4 PBS, 0.05% NaN3, 40% Glycerol
-
產品提供形式:Liquid
-
應用范圍:ELISA,WB,IHC
-
推薦稀釋比:
Application Recommended Dilution ELISA 1:1000-1:2000 WB 1:200-1:1000 IHC 1:50-1:200 -
Protocols:
-
儲存條件:Upon receipt, store at -20°C or -80°C. Avoid repeated freeze.
-
貨期:Basically, we can dispatch the products out in 1-3 working days after receiving your orders. Delivery time maybe differs from different purchasing way or location, please kindly consult your local distributors for specific delivery time.
-
用途:For Research Use Only. Not for use in diagnostic or therapeutic procedures.
相關產品
靶點詳情
-
功能:Probable DNA-binding transcriptional activator. Key determinant of the keratinocyte proliferation-differentiation switch involved in appropriate epidermal development. Plays a role in regulating mammary epithelial cell proliferation. May regulate WDR65 transcription.
-
基因功能參考文獻:
- the cosegregation of an intronic rare variant in NOL4 in one family, and a haplotype consisting of three variants in the noncoding region of IRF6 (introns 1, 8 and 3'UTR) in the other family, are reported. PMID: 29666346
- IRF6 defects are rare in Idiopathic Growth Hormone Deficiency (IGHD) patients. PMID: 28593555
- We detected a significant association between the derived variants, rs2013162 and rs2235371 and the distances between a facial bone plane indicated by distance from Nasion and Point A (NA plane) to soft tissue landmarks; the Subalare (NA-Sbal) and the Subnasale (NA-Sn) in the sagittal plane. IRF6 variants play an important role in the normal range of variation in nasolabial soft-tissue morphology. PMID: 29065370
- The IRF6 rs2235371 T allele decreased the risk of NSCL/P in Chinese Han populations. PMID: 29017114
- We detected a haplotype-based interaction for BMP4 and IRF6 genes for expression of the orofacial cleft phenotype. Although the MDR methods indicate that the effect of interaction between these genes appears to be mild, the presence of specific haplotype combinations conferring a higher risk for NSCL/P reveals the possible combined role of these genes in the pathogenesis of this prevalent birth defect. PMID: 28133786
- IRF6 rs2235375 single nucleotide polymorphism play a major role in the pathogenesis and risk of developing non-syndromic cleft lip with or without palate. PMID: 28712851
- The data suggest that IRF6, TFAP2A, and GRHL3, among others, are shared in neural tube and orofacial development. PMID: 27933721
- The epidermis of children with VWS baring mutations in IRF6 is thicker when compared with the epidermis of children with NSCLP carrying no IRF6 variants. We suggest that this phenotype is a result of increased keratinocyte proliferation in a cell-autonomous fashion. Our data are consistent with a previously described role for IRF6 in epidermal proliferation. PMID: 27115562
- we performed an association study of AXIN2, BMP4 and IRF6 gene SNPs with Non-Syndromic Cleft Lip with or without Cleft Palate in an Iranian population and the findings proposed that BMP4 rs17563 polymorphism is associated with reduced risk against Non-Syndromic Cleft Lip with or without Cleft Palate. PMID: 29211286
- Two novel mutations (Arg31Thr and Trp40Glyfs *23) in the IRF6 gene were identified to be causative for Van der Woude and popliteal pterygium syndromes in 6 Polish families. In the present study no association between the single nucleotide polymorphisms rs7552506, rs2013162, and rs2235375 and the cleft lip and/or palate phenotype was found. PMID: 25489771
- Our results do not support the previously reported association between the A allele of rs642961 and the NSCL phenotype. However, in the VWS/PPS families, the A allele was a risk allele and was, in a large majority (>80%), transmitted on the same chromosome as the IRF6 mutation. PMID: 23394314
- CCL5 and CXCL11 expression were also induced in response to the activation of the PKC pathway, and gene silencing experiments indicated that their inducible expression was dependent on RIPK4 and IRF6. Moreover, gene reporter assays suggested that RIPK4 induces CCL5 and CXCL11 expression by stimulating the transactivation of their promoters by IRF6. PMID: 27014863
- IRF6 is aberrantly silenced by DNA methylation of the 5' IRF6 CGI in melanoma PMID: 28877249
- In all three affecteds the known pathogenic mutation c.265A>G, p.Lys89Glu in IRF6 was identified. While inter- as well as intra-familial variability has been described in IRF6-related disorders, the occurrence of a typical Van der Woude Syndrome without any other anomalies as well as a diagnosis of Popliteal pterygium syndrome in the same family is rare. PMID: 27286731
- Association between IRF6 and 8q24 polymorphisms and nonsyndromic cleft lip with or without cleft palate PMID: 27511269
- Here, we demonstrate the protein functions of human IRF6 missense gene variants could be rapidly assessed in detail by their abilities to rescue the irf6 -/- phenotype in zebrafish through variant mRNA microinjections at the one-cell stage. PMID: 28945736
- The data presented suggest an important role for cytoplasmic IRF6 in regulating the availability or localization of the NME1/2 complex and thus the dynamic behavior of epithelia during lip/palate development. PMID: 28767310
- IRF6 dysregulation may be involved in the development of Vulvar Squamous Cell Carcinoma from vulvar lichen sclerosus (VLS). Methylation of the IRF6 promoter may be a marker of cancer risk in patients with VLS. PMID: 27223861
- Here, the authors have established that IRF6 promotes the differentiation of oral keratinocytes in response to Porphyromonas gingivalis. PMID: 28289145
- mutations in syndromic orofacial clefting patients PMID: 27834299
- It has been shown that pathogenic IRF6 mutations are likely to occur in a small fraction (~0.3%) of individuals with apparent nonsyndromic orofacial cleft, across multiple ethnic groups. PMID: 26346622
- This study demonstrated that the two SNPs, rs2235371 and rs2013162, are strongly associated with non-syndromic cleft palate in the northeast Chinese population. PMID: 27706679
- The 8q24 region plays a role in cleft lip/palate and the IRF6 G/A haplotype (rs2235371/rs642961) increases the risk for oral cleft in the Brazilian population. PMID: 26714022
- Studied the correlation of IRF6 rs642961 polymorphism and NSCL/P in Iranian NSCL/P families; the family-based association analysis revealed no significant association between IRF6 rs642961 genotypes and an increased NSCL/P risk. PMID: 25220223
- Mutations in IRF6 cause Van der Woude and popliteal pterygium syndrome and contribute to nonsyndromic cleft lip phenotypes but have not previously been associated with a PRS phenotype. PMID: 25441681
- IRF6 is likely to promote inflammation to P. gingivalis through its regulation of IL-36gamma. PMID: 26819203
- results confirmed the involvement of the IRF6 variants rs642961 and rs2235371 in the etiology of nonsyndromic cleft lip with or without cleft palate in a Chinese population. PMID: 23509905
- The IRF6 AP-2a binding site promoter polymorphism is associated with isolated oral clefts in Latvia. PMID: 25896037
- genetic polymorphism of the IRF6 gene is associated with increased risk of nsCLP in a Xinjiang Uyghur population. PMID: 25592222
- Data suggest that the toll like receptor 3 (TLR3)-interferon regulatory factor 6 protein (IRF6)-interleukin-23 subunit p19 (p19)/EBI3 protein axis may regulate keratinocyte functions in the skin. PMID: 26303210
- IRF6 acts as a positive regulator of proliferation and transformation in MCF10A cells downstream of Notch signaling. PMID: 26161746
- IRF6rs2235371 variation can increase the risk of nonsyndromic cleft lip/palate in the Iranian population. PMID: 26710774
- The truncation of IRF6 also prevented the induction of its transactivator function by RIPK4. PMID: 25784454
- Our results showed that many CL/P candidate genes have relation with Irf6, and 9 of these genes, including Msx1, Pvrl1, Pax9, Jag2, Irf6, Tgfb3, Rara, Gli2, and Tgfb2, were enriched into the CL/P gene group. PMID: 26086926
- significant overrepresentation of tagSNP haplotype carrying rs642961 risk allele in most severe subphenotype of CL/P. recently shown that >80% of IRF6 mutations in syndromic CL/P occur on same haplotype. suggest IRF6 is marker of CL/P severity. PMID: 25896061
- We speculate that a novel pathogenic mechanism involving SPCA1, p63, and IRF6 may play a role in the skin lesions occurring in HHD. PMID: 25256005
- Genome-wide copy number scan identifies IRF6 involvement in Van der Woude syndrome in an Indian family. PMID: 25579819
- Ser-413 and Ser-424 in IRF6 are important for its activation by RIPK4 PMID: 25246526
- The IRF6 350dupA variant is an etiologic mutation in Van der Woude syndrome patients and disrupts enhancer activity by a loss- and gain-of-function mechanism. PMID: 24442519
- The newly identified mutations include three frameshifts (c.635delG; c.21_33del13; c.627delC) and one transition mutation (c.2T>C) affecting the first codon of IRF6. PMID: 23713753
- IRF6 also contributes to host defense by providing specificity to the regulation of inflammatory chemokine expression by TLR2 in epithelial cells. PMID: 24872416
- Heterozygous mutation (F252Y) in exon 7 of the IRF6 gene is associated with oral squamous cell carcinomas. PMID: 24377609
- In IRF6, statistical evidence of an association between rs2235371 (p = 0.003), rs2013162 (p<0.0001) and non syndromic cleft lip/palate was observed in case-control analyses. PMID: 23940636
- Variations in IRF6, MSX1 and PAX9, as well as genegene interactions, may be associated with nonsyndromic cleft lip with or without palate. PMID: 23921572
- Our data demonstrated that mutations in two genes, IRF6 and GRHL3, can lead to nearly identical phenotypes of orofacial cleft. PMID: 24360809
- Mutation of IRF6 occurs infrequently in controls, suggesting that for IRF6 there is a high probability that disruption of the coding sequence, particularly the DNA-binding domain, will result in syndromic features. PMID: 23154523
- This report describes a novel missense mutation in the interferon regulation factor 6 (IRF6) gene associated to facial asymmetry; this new feature widens the phenotype spectrum of Van der Woude syndrome. PMID: 21995291
- All four of the genes originally identified as showing genome-wide significance (IRF6, ABCA4 and MAF, plus the 8q24 region) were confirmed in this independent sample of trios (who were primarily of European and Southeast Asian ancestry). PMID: 23512105
- In the title PMID: 23169698
- The IRF6 rs2235371, rs642961, and 8q24 rs987525 polymorphisms are associated with NSCL/P risk. PMID: 23166094
顯示更多
收起更多
-
相關疾病:Van der Woude syndrome 1 (VWS1); Popliteal pterygium syndrome (PPS); Non-syndromic orofacial cleft 6 (OFC6)
-
亞細胞定位:Nucleus. Cytoplasm.
-
蛋白家族:IRF family
-
組織特異性:Expressed in normal mammary epithelial cells. Expression is reduced or absent in breast carcinomas.
-
數據庫鏈接:
Most popular with customers
-
-
YWHAB Recombinant Monoclonal Antibody
Applications: ELISA, WB, IHC, IF, FC
Species Reactivity: Human, Mouse, Rat
-
Phospho-YAP1 (S127) Recombinant Monoclonal Antibody
Applications: ELISA, WB, IHC
Species Reactivity: Human
-
-
-
-
-















