IRF2BP1 Antibody
-
中文名稱:IRF2BP1兔多克隆抗體
-
貨號:CSB-PA815541LA01HU
-
規格:¥440
-
圖片:
-
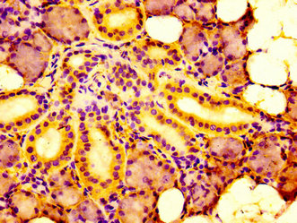
IHC image of CSB-PA815541LA01HU diluted at 1:100 and staining in paraffin-embedded human salivary gland tissue performed on a Leica BondTM system. After dewaxing and hydration, antigen retrieval was mediated by high pressure in a citrate buffer (pH 6.0). Section was blocked with 10% normal goat serum 30min at RT. Then primary antibody (1% BSA) was incubated at 4°C overnight. The primary is detected by a biotinylated secondary antibody and visualized using an HRP conjugated SP system.
-
Immunofluorescence staining of Hela cells with CSB-PA815541LA01HU at 1:100, counter-stained with DAPI. The cells were fixed in 4% formaldehyde, permeabilized using 0.2% Triton X-100 and blocked in 10% normal Goat Serum. The cells were then incubated with the antibody overnight at 4°C. The secondary antibody was Alexa Fluor 488-congugated AffiniPure Goat Anti-Rabbit IgG(H+L).
-
-
其他:
產品詳情
-
產品名稱:Rabbit anti-Homo sapiens (Human) IRF2BP1 Polyclonal antibody
-
Uniprot No.:
-
基因名:IRF2BP1
-
別名:DKFZp434M154 antibody; I2BP1_HUMAN antibody; Interferon regulatory factor 2 binding protein 1 antibody; Interferon regulatory factor 2-binding protein 1 antibody; IRF 2BP1 antibody; IRF-2-binding protein 1 antibody; IRF-2BP1 antibody; IRF2 binding protein 1 antibody; Irf2bp1 antibody
-
宿主:Rabbit
-
反應種屬:Human
-
免疫原:Recombinant Human Interferon regulatory factor 2-binding protein 1 protein (340-499AA)
-
免疫原種屬:Homo sapiens (Human)
-
標記方式:Non-conjugated
本頁面中的產品,IRF2BP1 Antibody (CSB-PA815541LA01HU),的標記方式是Non-conjugated。對于IRF2BP1 Antibody,我們還提供其他標記。見下表:
-
克隆類型:Polyclonal
-
抗體亞型:IgG
-
純化方式:>95%, Protein G purified
-
濃度:It differs from different batches. Please contact us to confirm it.
-
保存緩沖液:Preservative: 0.03% Proclin 300
Constituents: 50% Glycerol, 0.01M PBS, pH 7.4 -
產品提供形式:Liquid
-
應用范圍:ELISA, IHC, IF
-
推薦稀釋比:
Application Recommended Dilution IHC 1:20-1:200 IF 1:50-1:200 -
Protocols:
-
儲存條件:Upon receipt, store at -20°C or -80°C. Avoid repeated freeze.
-
貨期:Basically, we can dispatch the products out in 1-3 working days after receiving your orders. Delivery time maybe differs from different purchasing way or location, please kindly consult your local distributors for specific delivery time.
-
用途:For Research Use Only. Not for use in diagnostic or therapeutic procedures.
相關產品
靶點詳情
-
功能:Acts as a transcriptional corepressor in a IRF2-dependent manner; this repression is not mediated by histone deacetylase activities. May act as an E3 ligase towards JDP2, enhancing its polyubiquitination. Represses ATF2-dependent transcriptional activation.
-
基因功能參考文獻:
- Identification of IRF-2 binding protein 1 and IRF-2 binding protein 2 as co-repressor molecules for interferon regulatory factor-2. PMID: 12799427
- PCTA (IRF2BP1) defines a new component of the TGF-beta signalling pathway that functions to facilitate Smad2 phosphorylation through controlling the accumulation of cPML into the cytoplasm, and consequently, the assembly of Smad2-receptor complex. PMID: 18511908
- IRF2-BP1 is a JDP2-binding protein enhancing the polyubiquitination of JDP2 and represses ATF2-mediated transcriptional activation from a CRE-containing promoter. PMID: 18671972
-
亞細胞定位:Nucleus.
-
蛋白家族:IRF2BP family
-
數據庫鏈接:
Most popular with customers
-
-
YWHAB Recombinant Monoclonal Antibody
Applications: ELISA, WB, IHC, IF, FC
Species Reactivity: Human, Mouse, Rat
-
Phospho-YAP1 (S127) Recombinant Monoclonal Antibody
Applications: ELISA, WB, IHC
Species Reactivity: Human
-
-
-
-
-















