INTS9 Antibody
-
中文名稱:INTS9兔多克隆抗體
-
貨號:CSB-PA011767LA01HU
-
規格:¥440
-
圖片:
-
Western Blot
Positive WB detected in: Jurkat whole cell lysate, Hela whole cell lysate, MCF-7 whole cell lysate
All lanes: INTS9 antibody at 3.4μg/ml
Secondary
Goat polyclonal to rabbit IgG at 1/50000 dilution
Predicted band size: 74, 72 kDa
Observed band size: 74, 72 kDa -
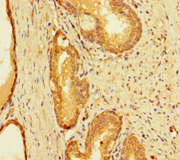
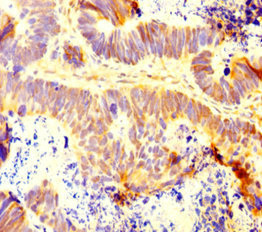
Immunohistochemistry of paraffin-embedded human prostate cancer using CSB-PA011767LA01HU at dilution of 1:100
-
Immunohistochemistry of paraffin-embedded human ovarian cancer using CSB-PA011767LA01HU at dilution of 1:100
-
Immunofluorescent analysis of Hela cells using CSB-PA011767LA01HU at dilution of 1:100 and Alexa Fluor 488-congugated AffiniPure Goat Anti-Rabbit IgG(H+L)
-
Western Blot
Positive WB detected in: Hela whole cell lysate, Jurkat whole cell lysate, 293 whole cell lysate
All lanes: INTS9 antibody at 1:2000
Secondary
Goat polyclonal to rabbit IgG at 1/50000 dilution
Predicted band size: 74, 72 kDa
Observed band size: 74 kDa
-
-
其他:
產品詳情
-
產品名稱:Rabbit anti-Homo sapiens (Human) INTS9 Polyclonal antibody
-
Uniprot No.:
-
基因名:INTS9
-
別名:CPSF antibody; CPSF2 antibody; CPSF2L antibody; FLJ10871 antibody; Int9 antibody; INT9_HUMAN antibody; Integrator complex subunit 9 antibody; INTS 9 antibody; INTS9 antibody; Protein related to CPSF subunits of 74 kDa antibody; RC 74 antibody; RC-74 antibody; RC74 antibody; Related to CPSF subunits 74 kDa antibody
-
宿主:Rabbit
-
反應種屬:Human
-
免疫原:Recombinant Human Integrator complex subunit 9 protein (368-658AA)
-
免疫原種屬:Homo sapiens (Human)
-
標記方式:Non-conjugated
本頁面中的產品,INTS9 Antibody (CSB-PA011767LA01HU),的標記方式是Non-conjugated。對于INTS9 Antibody,我們還提供其他標記。見下表:
-
克隆類型:Polyclonal
-
抗體亞型:IgG
-
純化方式:>95%, Protein G purified
-
濃度:It differs from different batches. Please contact us to confirm it.
-
保存緩沖液:Preservative: 0.03% Proclin 300
Constituents: 50% Glycerol, 0.01M PBS, PH 7.4 -
產品提供形式:Liquid
-
應用范圍:ELISA, WB, IHC, IF
-
推薦稀釋比:
Application Recommended Dilution WB 1:2000-1:5000 IHC 1:20-1:200 IF 1:50-1:200 -
Protocols:
-
儲存條件:Upon receipt, store at -20°C or -80°C. Avoid repeated freeze.
-
貨期:Basically, we can dispatch the products out in 1-3 working days after receiving your orders. Delivery time maybe differs from different purchasing way or location, please kindly consult your local distributors for specific delivery time.
-
用途:For Research Use Only. Not for use in diagnostic or therapeutic procedures.
相關產品
靶點詳情
-
功能:Component of the Integrator (INT) complex, a complex involved in the small nuclear RNAs (snRNA) U1 and U2 transcription and in their 3'-box-dependent processing. The Integrator complex is associated with the C-terminal domain (CTD) of RNA polymerase II largest subunit (POLR2A) and is recruited to the U1 and U2 snRNAs genes (Probable). Mediates recruitment of cytoplasmic dynein to the nuclear envelope, probably as component of the INT complex.
-
亞細胞定位:Nucleus.
-
蛋白家族:Metallo-beta-lactamase superfamily, RNA-metabolizing metallo-beta-lactamase-like family, INTS9 subfamily
-
數據庫鏈接:
Most popular with customers
-
-
YWHAB Recombinant Monoclonal Antibody
Applications: ELISA, WB, IHC, IF, FC
Species Reactivity: Human, Mouse, Rat
-
-
-
-
-
-















