INTS10 Antibody
-
中文名稱:INTS10兔多克隆抗體
-
貨號:CSB-PA011758EA01HU
-
規格:¥440
-
圖片:
-
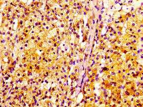
IHC image of CSB-PA011758EA01HU diluted at 1:100 and staining in paraffin-embedded human adrenal gland tissue performed on a Leica BondTM system. After dewaxing and hydration, antigen retrieval was mediated by high pressure in a citrate buffer (pH 6.0). Section was blocked with 10% normal goat serum 30min at RT. Then primary antibody (1% BSA) was incubated at 4°C overnight. The primary is detected by a biotinylated secondary antibody and visualized using an HRP conjugated SP system.
-
Immunofluorescence staining of A549 cells with CSB-PA011758EA01HU at 1:100, counter-stained with DAPI. The cells were fixed in 4% formaldehyde, permeabilized using 0.2% Triton X-100 and blocked in 10% normal Goat Serum. The cells were then incubated with the antibody overnight at 4°C. The secondary antibody was Alexa Fluor 488-congugated AffiniPure Goat Anti-Rabbit IgG(H+L).
-
-
其他:
產品詳情
-
產品名稱:Rabbit anti-Homo sapiens (Human) INTS10 Polyclonal antibody
-
Uniprot No.:
-
基因名:INTS10
-
別名:INTS10 antibody; C8orf35 antibody; Integrator complex subunit 10 antibody; Int10 antibody
-
宿主:Rabbit
-
反應種屬:Human
-
免疫原:Recombinant Human Integrator complex subunit 10 protein (451-710AA)
-
免疫原種屬:Homo sapiens (Human)
-
標記方式:Non-conjugated
本頁面中的產品,INTS10 Antibody (CSB-PA011758EA01HU),的標記方式是Non-conjugated。對于INTS10 Antibody,我們還提供其他標記。見下表:
-
克隆類型:Polyclonal
-
抗體亞型:IgG
-
純化方式:>95%, Protein G purified
-
濃度:It differs from different batches. Please contact us to confirm it.
-
保存緩沖液:Preservative: 0.03% Proclin 300
Constituents: 50% Glycerol, 0.01M PBS, pH 7.4 -
產品提供形式:Liquid
-
應用范圍:ELISA, IHC, IF
-
推薦稀釋比:
Application Recommended Dilution IHC 1:20-1:200 IF 1:50-1:200 -
Protocols:
-
儲存條件:Upon receipt, store at -20°C or -80°C. Avoid repeated freeze.
-
貨期:Basically, we can dispatch the products out in 1-3 working days after receiving your orders. Delivery time maybe differs from different purchasing way or location, please kindly consult your local distributors for specific delivery time.
-
用途:For Research Use Only. Not for use in diagnostic or therapeutic procedures.
相關產品
靶點詳情
-
功能:Component of the Integrator (INT) complex, a complex involved in the small nuclear RNAs (snRNA) U1 and U2 transcription and in their 3'-box-dependent processing. The Integrator complex is associated with the C-terminal domain (CTD) of RNA polymerase II largest subunit (POLR2A) and is recruited to the U1 and U2 snRNAs genes (Probable). May be not involved in the recruitment of cytoplasmic dynein to the nuclear envelope by different components of the INT complex.
-
基因功能參考文獻:
- Genome-wide association study in Chinise population highlights a novel antiviral gene INTS10 at 8p21.3 in the clearance of HBV infection. INST10 suppresses HBV replication via IRF3 in liver cells. PMID: 27244555
- Using a 7,781-sample pan-cancer dataset, we first confirmed this in POLR2A are known to confer elevated sensitivity to pharmacological suppression.hese include the POLR2A interacting protein INTS10 as well as genes involved in mRNA splicing, nonsense-mediated mRNA PMID: 28027311
-
亞細胞定位:Nucleus.
-
蛋白家族:Integrator subunit 10 family
-
數據庫鏈接:
Most popular with customers
-
YWHAB Recombinant Monoclonal Antibody
Applications: ELISA, WB, IHC, IF, FC
Species Reactivity: Human, Mouse, Rat
-
Phospho-YAP1 (S127) Recombinant Monoclonal Antibody
Applications: ELISA, WB, IHC
Species Reactivity: Human
-
-
-
-
-
-















