INHBB Antibody
-
中文名稱:INHBB兔多克隆抗體
-
貨號:CSB-PA442043
-
規格:¥1100
-
圖片:
-
The image on the left is immunohistochemistry of paraffin-embedded Human liver cancer tissue using CSB-PA442043(INHBB Antibody) at dilution 1/45, on the right is treated with synthetic peptide. (Original magnification: ×200)
-
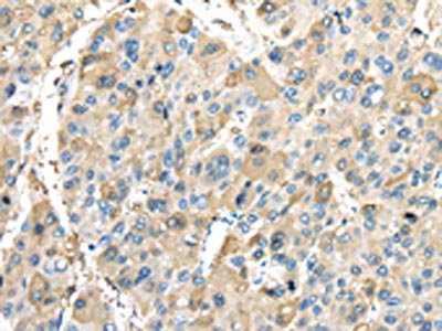
The image on the left is immunohistochemistry of paraffin-embedded Human thyroid cancer tissue using CSB-PA442043(INHBB Antibody) at dilution 1/45, on the right is treated with synthetic peptide. (Original magnification: ×200)
-
-
其他:
產品詳情
-
Uniprot No.:
-
基因名:
-
別名:Activin beta B chain antibody; Activin beta-B chain antibody; INHBB antibody; INHBB_HUMAN antibody; Inhibin beta 2 antibody; Inhibin beta B chain antibody; Inhibin beta B subunit antibody
-
宿主:Rabbit
-
反應種屬:Human,Mouse,Rat
-
免疫原:Synthetic peptide of Human INHBB
-
免疫原種屬:Homo sapiens (Human)
-
標記方式:Non-conjugated
-
抗體亞型:IgG
-
純化方式:Antigen affinity purification
-
濃度:It differs from different batches. Please contact us to confirm it.
-
保存緩沖液:-20°C, pH7.4 PBS, 0.05% NaN3, 40% Glycerol
-
產品提供形式:Liquid
-
應用范圍:ELISA,IHC
-
推薦稀釋比:
Application Recommended Dilution ELISA 1:2000-1:10000 IHC 1:30-1:150 -
Protocols:
-
儲存條件:Upon receipt, store at -20°C or -80°C. Avoid repeated freeze.
-
貨期:Basically, we can dispatch the products out in 1-3 working days after receiving your orders. Delivery time maybe differs from different purchasing way or location, please kindly consult your local distributors for specific delivery time.
-
用途:For Research Use Only. Not for use in diagnostic or therapeutic procedures.
相關產品
靶點詳情
-
功能:Inhibins and activins inhibit and activate, respectively, the secretion of follitropin by the pituitary gland. Inhibins/activins are involved in regulating a number of diverse functions such as hypothalamic and pituitary hormone secretion, gonadal hormone secretion, germ cell development and maturation, erythroid differentiation, insulin secretion, nerve cell survival, embryonic axial development or bone growth, depending on their subunit composition. Inhibins appear to oppose the functions of activins.
-
基因功能參考文獻:
- Results found that INHBB expression was reduced in nasopharyngeal carcinoma (NPC) tissues, and associated with lymph node metastasis. Further data revealed that INHBB could suppress anoikis resistance and migration of NPC cells by the TGF-beta signaling pathway, decrease p53 overexpression, and could serve as a potential biomarker for NPC metastasis and prognosis . PMID: 30151927
- Presence of varicocele was associated with lower serum inhibin B. PMID: 27423503
- Elevated activin B levels together with normal activin A levels identified patients with the diagnostic symptoms of chronic fatigue syndrome/myalgic encephalomyelitis. PMID: 28302133
- Results identified Inhbb as one factor mediating the proliferative effect of Pdx-1 on islet cells. PMID: 27620967
- Low activin B level is associated with tubal ectopic pregnancy. PMID: 26968108
- Pregnant Han Chinese women carrying the rs7579169 CC genotype and G-G-C haplotype are significantly more likely to develop pre-eclampsia, especially late-onset and multiparous cases. PMID: 26313529
- We report here an original observation that activin-B is upregulated in the human idiopathic pulmonary fibrosis lung. PMID: 25361680
- reduction of RhoA signaling by Activin B together with persistent Rac1 activity is a prerequisite for inducing an invasive phenotype in clear cell renal cell carcinoma. PMID: 25343250
- inhibin B and anti-Mullerian hormone serum concentrations did not provide an additional diagnostic tool for male infertility PMID: 25581422
- inhibin B levels, but not FSH, are increased in primary hypothyroidism, which is consistent with a hypogonadotrophic hypogonadal state affecting the reproductive segment of the gonadotrophic axis PMID: 23692058
- There are significant differences in serum inhibin B levels in patients with diminished ovarian reserve before and after supplementation with dehydroepiandrosterone (DHEA). PMID: 23664458
- Inhibin B production was decreased following recombinant human chorionic gonadotropin administration in both control and polycystic ovary syndrome women. PMID: 24188875
- Inhibin B was measured in plasma samples obtained from 34 healthy male subjects selected on criteria typical for a phase I clinical trial across a wide age range. PMID: 23349064
- Data indicate that neither serum inhibin B nor follicle-stimulating hormone (FSH) is a suitable surrogate for determination of sperm concentration in a semen sample. PMID: 23423746
- The signaling pathway responsible for hepcidin up-regulation in the inflammatory context is still not understood completely. Activin B has an unexpected but crucial role in the induction of hepcidin by inflammation. PMID: 22611157
- A genome-wide association study for preeclampsia in unrelated Australian individuals of Caucasian ancestry was performed to genotype single nucleotide polymorphisms the Inhibin, beta B gene on 2q14.2, in preeclampsia and normal pregnancy controls. PMID: 22432041
- inhibin-betaB subunit appears not to be a useful prognostic marker regarding endometrioid adenocarcinomas. PMID: 21938679
- Compared with antimullerian hormone (AMH), stimulated serum inhBB is a more accurate predictor of ovarian response in patients undergoing in vitro fertilization. PMID: 21843890
- Inhibin B constitutes a reliable marker of Sertoli cell function as well as spermatogenesis, while the clinical significance of anti-Mullerian hormone in men with varicocele remains to be elucidated. PMID: 21285453
- High inhibin beta B is associated with cervical intraepithelial neoplasia grades 1 and 2 compared to cervix uteri. PMID: 21475087
- Inhibin B and antimullerian hormone have a role in gonadal function after treatment for medulloblastoma or posterior fossa ependymoma during childhood PMID: 21168856
- A variant in the fibrillin-3 gene is associated with TGF-beta and inhibin B levels in women with polycystic ovary syndrome. PMID: 20630504
- The aim of the present study is to investigate the effect of obesity on testicular function by evaluating reproductive hormones, inhibinB, insulin-like 3(INSL3), and leptin, in obese and non-obese adolescents according to pubertal Tanner stages. PMID: 20713036
- Serum inhibin-b levels decrease nonlinearly during the daytime, and are positively correlated with sperm counts, but the predictive power is best when inhibin-b is low. PMID: 20149358
- Antral follicle size influences serum inhibin B and FSH levels and alters their expected relationship with the number of antral follicles on day 3 PMID: 19061996
- Gonads in anorexia nervosa with weight gain have low level of activity. Inhibin B is early marker of gonadal activity, and with weight gain, awakening of the reproductive function is gradual. PMID: 15070953
- Inhibin B pubertal surge is prominent signal of gonadal maturation in females as well as in males. Significantly higher in boys than in girls. Review. PMID: 15319819
- The expression of inhibin betaB by Sertoli cells is dependent on the coexistence of spermatogenic activity within these seminiferous tubules and is low in patients with Sertoli cell only syndrome. PMID: 15551748
- Ovulatory cycles were characterized by higher FSH and lower inhibin B leveels in hypergonadotropic hypogonadism or premature ovarian failure. PMID: 15562017
- Regular increase of inhibin B(InhB) during puberty. In first phases of gonadal maturation, InhB and FSH correlate positively, while in mid-late stages relationship is inverse. In mid-puberty (G3-G4), serum InhB increases. PMID: 15757857
- Exposure of the cells of Sertoli to excessive amounts of lead results in inappropriate inhibin B overproduction that may be involved in the impairment of spermatogenesis. PMID: 15910540
- inhibin B may have a role in male fecundity PMID: 16024538
- INHBB expression was high in human adipocytes, reduced by weight loss and adipose tissue INHBB mRNA levels correlated to metabolic risk factors. PMID: 16650820
- A significant down-regulation of inhibin-beta (B) subunit in extravillous trophoblast cells in IUGR syncytiotrophoblast cells was demonstrated. PMID: 16670820
- Preoperative serum inhibin B concentration could not reliably predict a response to varicocelectomy, but the increase in inhibin B levels after treatment might suggest an improvement in testicular function. PMID: 16728349
- Follistatin was overexpressed while both activin subunits were downregulated in the majority of rat and human liver tumours PMID: 16935389
- The present findings showed that treatment with vaginal estroprogestinic decreases serum inhibin A and inhibin B levels, the follicular diameter PMID: 16989826
- Varicocele sclerotherapy improves inhibin B levels and seminal parameters. PMID: 17376219
- it is not clear that inhibin B does not seem to play any role in the mechanism of action of laparoscopic ovarian diathermy [letter] PMID: 17525068
- Granulosa cell production of inhibin B is reduced by pharmacologically induced increase in the intrafollicular androgen levels. PMID: 17628551
- decreased levels of inhibin b are associated with hot flushes, aches, joint pain, stiffness and depressed mood in the stages of menopausal transition. PMID: 17666595
- Activin B is a potent inducer of Pdx1 as well as Shh in differentiating embryonic stem cell derived embryoid bodies PMID: 17761145
- Activin and estrogen crosstalk regulates transcription in human breast cancer cells. PMID: 17914098
- Used monoclonal antibody to xenopus laevis Inhbb in ELISA for detection of human Inhbb. PMID: 17991484
- Expression of the beta-B subunit is related to decidualization and can be detected in the circulation as activin B. PMID: 18381568
- The degree of inhibin B increment during controlled ovarian stimulation provides a way for for predicting ovarian response to ovarian stimulation. PMID: 18555227
- There was no significant association of (log)inhibin B profiles with age at final menstrual period. PMID: 18593767
- Functional validation of activins and bone morphogenetic protein 11 as candidate novel muscle mass regulators. PMID: 18927237
- Serum inhibin B and estradiol concentrations obtained shortly after Gn therapy may offer an accurate and early prediction of ovarian response. PMID: 19198021
- Inhibin B is more potent than inhibin A in suppressing FSH in vitro and in vivo, and this difference in bioactivity is not explained by its affinity to betaglycan or activin type II receptors. PMID: 19589860
顯示更多
收起更多
-
亞細胞定位:Secreted.
-
蛋白家族:TGF-beta family
-
數據庫鏈接:
Most popular with customers
-
-
YWHAB Recombinant Monoclonal Antibody
Applications: ELISA, WB, IHC, IF, FC
Species Reactivity: Human, Mouse, Rat
-
Phospho-YAP1 (S127) Recombinant Monoclonal Antibody
Applications: ELISA, WB, IHC
Species Reactivity: Human
-
-
-
-
-















