IMPDH1 Antibody
-
中文名稱:IMPDH1兔多克隆抗體
-
貨號:CSB-PA22459A0Rb
-
規格:¥440
-
圖片:
-
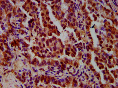
IHC image of CSB-PA22459A0Rb diluted at 1:600 and staining in paraffin-embedded human lung cancer performed on a Leica BondTM system. After dewaxing and hydration, antigen retrieval was mediated by high pressure in a citrate buffer (pH 6.0). Section was blocked with 10% normal goat serum 30min at RT. Then primary antibody (1% BSA) was incubated at 4°C overnight. The primary is detected by a biotinylated secondary antibody and visualized using an HRP conjugated SP system.
-
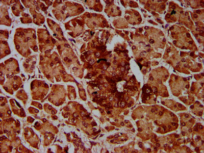
IHC image of CSB-PA22459A0Rb diluted at 1:600 and staining in paraffin-embedded human pancreatic tissue performed on a Leica BondTM system. After dewaxing and hydration, antigen retrieval was mediated by high pressure in a citrate buffer (pH 6.0). Section was blocked with 10% normal goat serum 30min at RT. Then primary antibody (1% BSA) was incubated at 4°C overnight. The primary is detected by a biotinylated secondary antibody and visualized using an HRP conjugated SP system.
-
Immunofluorescence staining of Hela cells with CSB-PA22459A0Rb at 1:200, counter-stained with DAPI. The cells were fixed in 4% formaldehyde, permeabilized using 0.2% Triton X-100 and blocked in 10% normal Goat Serum. The cells were then incubated with the antibody overnight at 4°C. The secondary antibody was Alexa Fluor 488-congugated AffiniPure Goat Anti-Rabbit IgG(H+L).
-
-
其他:
產品詳情
-
產品名稱:Rabbit anti-Homo sapiens (Human) IMPDH1 Polyclonal antibody
-
Uniprot No.:
-
基因名:IMPDH1
-
別名:IMDH1_HUMAN antibody; IMP (inosine monophosphate) dehydrogenase 1 antibody; IMP dehydrogenase 1 antibody; IMPD 1 antibody; IMPD antibody; IMPD1 antibody; IMPDH 1 antibody; IMPDH I antibody; IMPDH-I antibody; Impdh1 antibody; Inosine 5' monophosphate dehydrogenase 1 antibody; Inosine monophosphate dehydrogenase 1 antibody; Inosine-5''-monophosphate dehydrogenase 1 antibody; LCA11 antibody; RP10 antibody; sWSS2608 antibody
-
宿主:Rabbit
-
反應種屬:Human
-
免疫原:Recombinant Human Inosine-5\'-monophosphate dehydrogenase 1 protein (191-281AA)
-
免疫原種屬:Homo sapiens (Human)
-
標記方式:Non-conjugated
本頁面中的產品,IMPDH1 Antibody (CSB-PA22459A0Rb),的標記方式是Non-conjugated。對于IMPDH1 Antibody,我們還提供其他標記。見下表:
-
克隆類型:Polyclonal
-
抗體亞型:IgG
-
純化方式:>95%, Protein G purified
-
濃度:It differs from different batches. Please contact us to confirm it.
-
保存緩沖液:Preservative: 0.03% Proclin 300
Constituents: 50% Glycerol, 0.01M PBS, pH 7.4 -
產品提供形式:Liquid
-
應用范圍:ELISA, IHC, IF
-
推薦稀釋比:
Application Recommended Dilution IHC 1:500-1:1000 IF 1:200-1:500 -
Protocols:
-
儲存條件:Upon receipt, store at -20°C or -80°C. Avoid repeated freeze.
-
貨期:Basically, we can dispatch the products out in 1-3 working days after receiving your orders. Delivery time maybe differs from different purchasing way or location, please kindly consult your local distributors for specific delivery time.
-
用途:For Research Use Only. Not for use in diagnostic or therapeutic procedures.
相關產品
靶點詳情
-
功能:Catalyzes the conversion of inosine 5'-phosphate (IMP) to xanthosine 5'-phosphate (XMP), the first committed and rate-limiting step in the de novo synthesis of guanine nucleotides, and therefore plays an important role in the regulation of cell growth. Could also have a single-stranded nucleic acid-binding activity and could play a role in RNA and/or DNA metabolism. It may also have a role in the development of malignancy and the growth progression of some tumors.
-
基因功能參考文獻:
- We have found that the rs2278294 G allele exerts statistically significant inhibition on post-kidney transplant body mass index gain PMID: 30056902
- In our cohort of >300 familial cases of autosomal-recessive retinitis pigmentosa, PKRP004 is the only family harboring a mutation in IMPDH1. PMID: 25439607
- Expression of IMPDH mRNA after mycophenolate administration in male volunteers. PMID: 25105143
- A novel mutation, p.L270R in IMPDH1, was found to be retinitis pigmentosa-causing in one family. PMID: 23534816
- p53 has a novel function in regulating purine biosynthesis, aided by miR-34a-dependent IMPDH repression. PMID: 22301190
- IMPDH has a function in the retina, apparently independent of its enzymatic activity, mediated by retina-specific variants. PMID: 22183375
- IMPDH1 mutation is associated with retinitis pigmentosa. PMID: 21791244
- The mutation frequency of IMPDH1 gene of the Han population in Ganzhou city was similar as approximately 2-5% of the autosomal dominant retinitis pigmentosa cases among Americans of European origin and Europeans. PMID: 20238028
- resequenced IMPDH1 and IMPDH2 using DNA from 288 individuals from three ethnic groups and performed functional genomic studies of the sequence variants observed; identified 73 single nucleotide polymorphisms in IMPDH1, 59 novel PMID: 20718729
- Potential associations between the most frequent single nucleotide polymorphisms in both IMPDH genes and clinical outcome in renal transplant recipients. PMID: 20679962
- Inosine 5'-monophosphate dehydrogenase 1 haplotypes have a role in mycophenolate mofetil gastrointestinal intolerance in pediatric heart transplant patients PMID: 20649757
- The risk of subclinical acute rejection for recipients who cannot adapt in therapeutic drug monitoring of mycophenolic acid seems to be influenced by IMPDH1 rs2278293 polymorphism. PMID: 20136638
- In this small sample of pediatric heart transplant patients receiving MMF, ABCC2, IMPDH1 and IMPDH2 SNPs were associated with MMF GI intolerance and bone marrow toxicity. PMID: 20061166
- This mutant isoenzyme maps to human chromosome region 7q and has an amino acid substitution (arginine for proline). It is involved in the etiology of autosomal dominant retinitis pigmentosa in humans. PMID: 11875049
- A missense mutation in this isozyme causes human autosomal retinitis pigmentosa. PMID: 11875050
- A novel IMPDH1 gene mutation (Arg231Pro) was associated with a severe form of autosomal dominant retinitis pigmentosa. PMID: 15465556
- The most commonly reported Asp226Asn mutation was not found in the Japanese population, instead two novel mutations were found. These findings suggest that mutations of the IMPDH1 gene cause ADRP (autosomal dominant retinitis pigmentosa). PMID: 16038673
- Asp226Asn mutation is associated with a severe, early-onset form of retinal degeneration in members of this family. PMID: 16214101
- In this family with a mutation in IMPDH1, we found a specific phenotype with rod function affected more than cone function, foveal edema, and central retinal function preserved for a long period of time. PMID: 16272056
- Mutations in IMPDH1 account for approximately 2% of families with adRP, and de novo IMPDH1 mutations are also rare causes of isolated LCA (Leber congenital amaurosis). PMID: 16384941
- Identification of unique retinal isoforms supports the existence of a novel IMPDH1 function in the retina, one that is probably altered by disease-causing mutations. PMID: 16936083
- If IMPDH genetic variability contributes to azathioprine resistance in inflammatory bowel disease it does so infrequently. PMID: 17001353
- Mycophenolate mofetil up-regulates IMPDH-I and IMPDH-II mRNA in peripheral blood mononuclear cells. May predict acute rejection. PMID: 17713475
- C-terminal extension unique to the retinal isoforms blocks the nucleic acid binding site of IMPDH1, and thus uniquely regulates protein function within photoreceptors. PMID: 18295591
- RHO, PRPF31, RP1, and IMPDH1 were screened and causative mutations were identifiedin 4% of isolated and 2% of autosomal dominant forms of retinitis pigmentosa patients from India. PMID: 18552984
- IMP dehydrogenase type 1 associates with polyribosomes translating rhodopsin mRNA PMID: 18974094
顯示更多
收起更多
-
相關疾病:Retinitis pigmentosa 10 (RP10); Leber congenital amaurosis 11 (LCA11)
-
亞細胞定位:Cytoplasm. Nucleus.
-
蛋白家族:IMPDH/GMPR family
-
組織特異性:IMP type I is the main species in normal leukocytes and type II predominates over type I in the tumor.
-
數據庫鏈接:
Most popular with customers
-
-
YWHAB Recombinant Monoclonal Antibody
Applications: ELISA, WB, IHC, IF, FC
Species Reactivity: Human, Mouse, Rat
-
Phospho-YAP1 (S127) Recombinant Monoclonal Antibody
Applications: ELISA, WB, IHC
Species Reactivity: Human
-
-
-
-
-















