ILVBL Antibody
-
中文名稱:ILVBL兔多克隆抗體
-
貨號:CSB-PA011687LA01HU
-
規格:¥440
-
圖片:
-
Western blot
All lanes: ILVBL antibody at 4µg/ml
Lane 1: HepG2 whole cell lysate
Lane 2: Hela whole cell lysate
Lane 3: A549 whole cell lysate
Lane 4: Jurkat whole cell lysate
Lane 5: U87 whole cell lysate
Secondary
Goat polyclonal to rabbit IgG at 1/10000 dilution
Predicted band size: 68 kDa
Observed band size: 68 kDa -
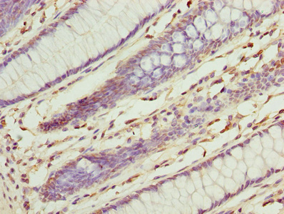
Immunohistochemistry of paraffin-embedded human colon cancer using CSB-PA011687LA01HU at dilution of 1:100
-
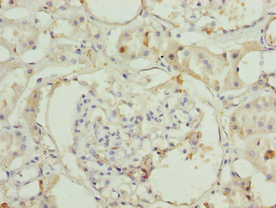
Immunohistochemistry of paraffin-embedded human kidney tissue using CSB-PA011687LA01HU at dilution of 1:100
-
Immunofluorescent analysis of Hela cells using CSB-PA011687LA01HU at dilution of 1:100 and Alexa Fluor 488-congugated AffiniPure Goat Anti-Rabbit IgG(H+L)
-
-
其他:
產品詳情
-
產品名稱:Rabbit anti-Homo sapiens (Human) ILVBL Polyclonal antibody
-
Uniprot No.:
-
基因名:ILVBL
-
別名:ILVBL; AHAS; HACL2; 2-hydroxyacyl-CoA lyase 2; Acetolactate synthase-like protein; IlvB-like protein
-
宿主:Rabbit
-
反應種屬:Human
-
免疫原:Recombinant Human Acetolactate synthase-like protein (45-344AA)
-
免疫原種屬:Homo sapiens (Human)
-
標記方式:Non-conjugated
本頁面中的產品,ILVBL Antibody (CSB-PA011687LA01HU),的標記方式是Non-conjugated。對于ILVBL Antibody,我們還提供其他標記。見下表:
-
克隆類型:Polyclonal
-
抗體亞型:IgG
-
純化方式:>95%, Protein G purified
-
濃度:It differs from different batches. Please contact us to confirm it.
-
保存緩沖液:Preservative: 0.03% Proclin 300
Constituents: 50% Glycerol, 0.01M PBS, PH 7.4 -
產品提供形式:Liquid
-
應用范圍:ELISA, WB, IHC, IF
-
推薦稀釋比:
Application Recommended Dilution WB 1:500-1:5000 IHC 1:20-1:200 IF 1:50-1:200 -
Protocols:
-
儲存條件:Upon receipt, store at -20°C or -80°C. Avoid repeated freeze.
-
貨期:Basically, we can dispatch the products out in 1-3 working days after receiving your orders. Delivery time maybe differs from different purchasing way or location, please kindly consult your local distributors for specific delivery time.
-
用途:For Research Use Only. Not for use in diagnostic or therapeutic procedures.
相關產品
靶點詳情
-
功能:Endoplasmic reticulum 2-OH acyl-CoA lyase involved in the cleavage (C1 removal) reaction in the fatty acid alpha-oxydation in a thiamine pyrophosphate (TPP)-dependent manner. Involved in the phytosphingosine degradation pathway.
-
基因功能參考文獻:
- To the best of our knowledge, this is the first report of an association between single nucleotide polymorphisms (SNPs) on ILVBL and aspirin-exacerbated respiratory disease (AERD) . SNPs on ILVBL could be promising genetic markers of this condition. PMID: 29246216
-
亞細胞定位:Endoplasmic reticulum membrane; Single-pass membrane protein.
-
蛋白家族:TPP enzyme family
-
組織特異性:Expressed in all tissues tested, with highest expression in heart, pancreas and placenta.
-
數據庫鏈接:
Most popular with customers
-
YWHAB Recombinant Monoclonal Antibody
Applications: ELISA, WB, IHC, IF, FC
Species Reactivity: Human, Mouse, Rat
-
Phospho-YAP1 (S127) Recombinant Monoclonal Antibody
Applications: ELISA, WB, IHC
Species Reactivity: Human
-
-
-
-
-
-















