ILDR1 Antibody
-
中文名稱:ILDR1兔多克隆抗體
-
貨號:CSB-PA768201LA01HU
-
規格:¥440
-
圖片:
-
Western Blot
Positive WB detected in: MCF-7 whole cell lysate
All lanes: ILDR1 antibody at 2.6μg/ml
Secondary
Goat polyclonal to rabbit IgG at 1/50000 dilution
Predicted band size: 63, 58, 31, 24, 53, 60 kDa
Observed band size: 63 kDa -
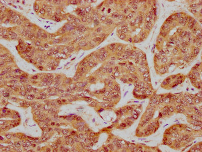
IHC image of CSB-PA768201LA01HU diluted at 1:600 and staining in paraffin-embedded human liver cancer performed on a Leica BondTM system. After dewaxing and hydration, antigen retrieval was mediated by high pressure in a citrate buffer (pH 6.0). Section was blocked with 10% normal goat serum 30min at RT. Then primary antibody (1% BSA) was incubated at 4°C overnight. The primary is detected by a biotinylated secondary antibody and visualized using an HRP conjugated SP system.
-
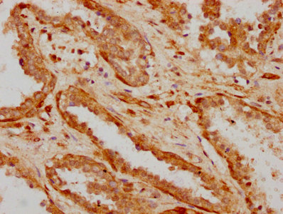
IHC image of CSB-PA768201LA01HU diluted at 1:600 and staining in paraffin-embedded human prostate cancer performed on a Leica BondTM system. After dewaxing and hydration, antigen retrieval was mediated by high pressure in a citrate buffer (pH 6.0). Section was blocked with 10% normal goat serum 30min at RT. Then primary antibody (1% BSA) was incubated at 4°C overnight. The primary is detected by a biotinylated secondary antibody and visualized using an HRP conjugated SP system.
-
-
其他:
產品詳情
-
產品名稱:Rabbit anti-Homo sapiens (Human) ILDR1 Polyclonal antibody
-
Uniprot No.:
-
基因名:ILDR1
-
別名:ILDR1 antibody; Immunoglobulin-like domain-containing receptor 1 antibody
-
宿主:Rabbit
-
反應種屬:Human
-
免疫原:Recombinant Human Immunoglobulin-like domain-containing receptor 1 protein (393-541AA)
-
免疫原種屬:Homo sapiens (Human)
-
標記方式:Non-conjugated
本頁面中的產品,ILDR1 Antibody (CSB-PA768201LA01HU),的標記方式是Non-conjugated。對于ILDR1 Antibody,我們還提供其他標記。見下表:
-
克隆類型:Polyclonal
-
抗體亞型:IgG
-
純化方式:>95%, Protein G purified
-
濃度:It differs from different batches. Please contact us to confirm it.
-
保存緩沖液:Preservative: 0.03% Proclin 300
Constituents: 50% Glycerol, 0.01M PBS, pH 7.4 -
產品提供形式:Liquid
-
應用范圍:ELISA, WB, IHC
-
推薦稀釋比:
Application Recommended Dilution WB 1:500-1:5000 IHC 1:500-1:1000 -
Protocols:
-
儲存條件:Upon receipt, store at -20°C or -80°C. Avoid repeated freeze.
-
貨期:Basically, we can dispatch the products out in 1-3 working days after receiving your orders. Delivery time maybe differs from different purchasing way or location, please kindly consult your local distributors for specific delivery time.
-
用途:For Research Use Only. Not for use in diagnostic or therapeutic procedures.
相關產品
靶點詳情
-
功能:Putative membrane receptor.
-
基因功能參考文獻:
- The study shows that the novel p.G141R mutation in ILDR1 is the likely genetic cause for the hearing impairment in two unrelated Chinese Han DFNB42 families. PMID: 29849566
- this is the first ILDR1 and MYO6 mutations recognized in the southwest Iran. Our data expands the spectrum of mutations in ILDR1 and MYO6 genes. PMID: 29224747
- The present study reports a first ILDR1 gene mutation in a consanguineous family with hearing loss in the UAE, and confirms that the whole-exome sequencing approach is a robust tool for the diagnosis of monogenic diseases with high levels of allelic and locus heterogeneity. PMID: 28945813
- We discovered two genome-wide significant SNPs. The first was novel and near ISG20. The second was in TRIOBP, a gene previously associated with prelingual nonsyndromic hearing loss. Motivated by our TRIOBP results, we also looked at exons in known hearing loss genes, and identified two additional SNPs, rs2877561 in ILDR1 and rs9493672 in EYA4 (at a significance threshold adjusted for number of SNPs in those regions). PMID: 27764096
- consanguineous deaf families with novelmutations in the ILDR1 gene, were identified. PMID: 26440088
- Whole-exome sequencing of a Korean multiplex family segregating partial deafness identified a novel homozygous ILDR1 variant (p.P69H) within the Ig-like domain. PMID: 25668204
- Data indicate a mutation in immunoglobulin-like domain containing receptor 1 (ILDR1) as a causative gene for autosomal-recessive non-syndromic hearing loss (arNSHL) in a consanguineous Saudi family with three affected children. PMID: 24768815
- The findings show the heterogeneity of the molecular organization of tTJs in terms of the content of LSR, ILDR1 or ILDR2, and suggest that ILDR1-mediated recruitment of tricellulin to TCs is required for hearing. PMID: 23239027
- The analysis of gene expression was extended to Refractory Anemia (RA) and Refractory Anemia with excess blasts (RAEB) cases revealing ILDR1 overexpression in 36% of RAEB subgroup. PMID: 22365942
- Loss-of-function mutations of ILDR1 cause autosomal-recessive hearing impairment DFNB42. PMID: 21255762
- Clinical trial of gene-disease association and gene-environment interaction. (HuGE Navigator) PMID: 20379614
顯示更多
收起更多
-
相關疾?。?/div>Deafness, autosomal recessive, 42 (DFNB42)亞細胞定位:Cell membrane; Single-pass type I membrane protein.; [Isoform 5]: Cytoplasm, cytosol.蛋白家族:Immunoglobulin superfamily, LISCH7 family組織特異性:Mainly expressed in prostate and to a lower extent in testis, pancreas, kidney, heart and liver.數據庫鏈接:
Most popular with customers
-
-
YWHAB Recombinant Monoclonal Antibody
Applications: ELISA, WB, IHC, IF, FC
Species Reactivity: Human, Mouse, Rat
-
Phospho-YAP1 (S127) Recombinant Monoclonal Antibody
Applications: ELISA, WB, IHC
Species Reactivity: Human
-
-
-
-
-















