IL2RB Antibody
-
中文名稱:IL2RB兔多克隆抗體
-
貨號:CSB-PA061951
-
規格:¥1100
-
圖片:
-
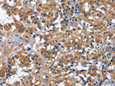
The image on the left is immunohistochemistry of paraffin-embedded Human thyroid cancer tissue using CSB-PA061951(IL2RB Antibody) at dilution 1/30, on the right is treated with fusion protein. (Original magnification: ×200)
-
The image on the left is immunohistochemistry of paraffin-embedded Human cervical cancer tissue using CSB-PA061951(IL2RB Antibody) at dilution 1/30, on the right is treated with fusion protein. (Original magnification: ×200)
-
Gel: 10%SDS-PAGE, Lysate: 40 μg, Lane 1-4: 231 cells, 293T cells, Raji cells, hela cells, Primary antibody: CSB-PA061951(IL2RB Antibody) at dilution 1/325, Secondary antibody: Goat anti rabbit IgG at 1/8000 dilution, Exposure time: 20 seconds
-
-
其他:
產品詳情
-
Uniprot No.:
-
基因名:
-
別名:IL2RB; IL15RB; Interleukin-2 receptor subunit beta; IL-2 receptor subunit beta; IL-2R subunit beta; IL-2RB; High affinity IL-2 receptor subunit beta; Interleukin-15 receptor subunit beta; p70-75; p75; CD antigen CD122
-
宿主:Rabbit
-
反應種屬:Human
-
免疫原:Fusion protein of Human IL2RB
-
免疫原種屬:Homo sapiens (Human)
-
標記方式:Non-conjugated
-
抗體亞型:IgG
-
純化方式:Antigen affinity purification
-
濃度:It differs from different batches. Please contact us to confirm it.
-
保存緩沖液:-20°C, pH7.4 PBS, 0.05% NaN3, 40% Glycerol
-
產品提供形式:Liquid
-
應用范圍:ELISA,WB,IHC
-
推薦稀釋比:
Application Recommended Dilution ELISA 1:2000-1:5000 WB 1:500-1:2000 IHC 1:25-1:100 -
Protocols:
-
儲存條件:Upon receipt, store at -20°C or -80°C. Avoid repeated freeze.
-
貨期:Basically, we can dispatch the products out in 1-3 working days after receiving your orders. Delivery time maybe differs from different purchasing way or location, please kindly consult your local distributors for specific delivery time.
-
用途:For Research Use Only. Not for use in diagnostic or therapeutic procedures.
相關產品
靶點詳情
-
功能:Receptor for interleukin-2. This beta subunit is involved in receptor mediated endocytosis and transduces the mitogenic signals of IL2. Probably in association with IL15RA, involved in the stimulation of neutrophil phagocytosis by IL15.
-
基因功能參考文獻:
- Characterization of interleukin receptor beta/gamma-associated protein complex assembly in IL-2- and IL-15-activated T-cells has been reported. PMID: 27463037
- An association with the risk of erosion was observed for a haplotype of 2 single nucleotide polymorphisms of the IL-2RB gene in ACPA positive Rheumatoid arthritis patients. PMID: 26203933
- CD112 downregulation resulted in a reduced ability of DNAM-1 to bind to the surface of both virus-infected and gD-transfected cells. PMID: 25352670
- IL-2 receptor beta chain expression is drastically diminished on T cells in ANCA-associated vasculitis. PMID: 24648606
- in anti-citrullinated protein antibody positive rheumatoid arthritis, the haplotype AC of IL-2RB was associated with a higher rate of erosions at baseline and at 1 year follow-up in comparison to other haplotypes. PMID: 24200909
- This is the first report demonstrating that heterodimeric combinations of IL-2R and IL-6R subunits are functional for signaling. PMID: 23926072
- MiniSTR marker D22S1045 (locus 22q12.3) is localized near the breakpoint region of the Ewing Sarcoma gene, but was found to be neutral related to EWS in a case-control study analyzing allele frequencies and linkage disequilibrium. PMID: 24112992
- Suggest that oxalate-induced activation of the renal IL-2Rbeta pathway may lead to a plethora of cellular changes, the most common of which is the induction of inflammation. PMID: 24523387
- Data indicate that both CgammaCR-CD127(+)composed of Interleukin-7 (IL-7) tethered to IL-7Ralpha/CD127, and CgammaCR-CD122(+) CD8(+) T((E/CM)) engraft in mice and persist in an absence of exogenous cytokine administration. PMID: 23628622
- Data suggest that cross-talk occurs between cAMP/PKA and the IL-2R beta/Jak3/Stat5b cascade in T-cells. PMID: 23341462
- Single nucleotide polymorphism in IL2RB is associated with lung cancer. PMID: 22573796
- The researchers found evidence that there were significant differences between the D22S1045 locus in the Maghreb population and other populations. PMID: 21674833
- Genetic variants of IL2RB may be associated with the development of acute rejection episodes and may help predict risk in kidney transplantation patients. PMID: 21839273
- LTR of the THE1D retroelement family has been domesticated as an alternative promoter of human IL2RB, the gene encoding the beta subunit of the IL-2 receptor. PMID: 21865161
- Lyn coimmunoprecipitates with the interleukin-2 beta receptor and JAK3 proteins in human T-cell leukemia virus type 1-infected T-cells. PMID: 21345943
- IL-15R alpha, which bears most of the binding affinity for IL-15, behaves as a potent IL-15 agonist by enhancing its binding and biological effects through the IL-15R beta/gamma heterodimer. PMID: 16284400
- Data show that co-expression of ZNF300 and Egr1 lead to enhanced IL-2Rbeta promoter activity, and suggest that ZNF300 is another regulator of the human IL-2Rbeta promoter. PMID: 20585888
- IL-2Rbeta is subject to ectodomain shedding generating an intracellular fragment biologically functional, because (i) it is phosphorylated, (ii) it associates with STAT5A, and (iii) it increases cell proliferation. PMID: 20495002
- Alternate signalling pathways from the interleukin-2 receptor PMID: 11750878
- Here we show, in four cell lines of human adult T cell lymphoma/leukemia origin, that the three IL-2R subunits are compartmented together with HLA glycoproteins and CD48 molecules in the plasma membrane PMID: 11856346
- SHB links IL2 receptor for signal transduction and mediates apoptosis PMID: 12200137
- Peptide p1-30, which is composed of the 30 amino-terminal residues of human interleukin-2, binds as a tetramer to the dimeric IL-2Rbeta2 receptor PMID: 12676936
- The development of breast tumour is associated with an increased expression of IL-2 receptor beta and this expression also seems to be associated with the malignancy of the tumour. PMID: 14680494
- Cultures in the presence of peptide epitopes to this receptor inhibited T cell proliferation. PMID: 15350462
- Interleukin-2 receptor beta-627*C homozygote and C allele correlate with higher susceptibility to endometriosis. PMID: 16084898
- location of the G245R polymorphism next to the proximal cytokine receptor homology segment; suggestive of a genetic association with the development of visceral leishmaniasis. PMID: 17108990
- these results indicate that precise sorting of IL-2Rbeta from early to late endosomes is mediated by Hrs, a known sorting component of the ubiquitin-dependent machinery, in a manner that is independent of UIM-ubiquitin binding PMID: 18445679
- study found PI3K & STAT5 signaling pathways are required for granulysin expression & IL-2Rbeta induction & IL-2Rbeta induction is a prerequisite for granulysin expression; both signaling pathways are defective in CD4+ T cells from HIV-infected patients PMID: 18490721
- Report the selective expansion of genetically modified T cells using an antibody/IL2RB receptor chimera. PMID: 18589435
- High serum IL-2R level is associated with peripheral T-cell lymphoma, unspecified. PMID: 18592269
- The uncleaved 12-kDa form of p12(I) resides in the ER and interacts with the beta and gamma(c) chains of the interleukin-2 receptor (IL-2R), the heavy chain of the major histocompatibility complex (MHC) class I, as well as calreticulin and calnexin. PMID: 18791162
- the preformed complexes between gamma c and IL-2Rbeta or IL-9Ralpha promote signaling by the JAK3 A572V mutant without ligand, identified in several human cancers. PMID: 18829468
- The C627T polymorphism in the IL2RB gene is not associated with risk of endometriosis in Korean women. PMID: 19602517
顯示更多
收起更多
-
亞細胞定位:Cell membrane; Single-pass type I membrane protein.
-
蛋白家族:Type I cytokine receptor family, Type 4 subfamily
-
數據庫鏈接:
Most popular with customers
-
YWHAB Recombinant Monoclonal Antibody
Applications: ELISA, WB, IHC, IF, FC
Species Reactivity: Human, Mouse, Rat
-
Phospho-YAP1 (S127) Recombinant Monoclonal Antibody
Applications: ELISA, WB, IHC
Species Reactivity: Human
-
-
-
-
-
-















