IL1R1 Antibody
-
中文名稱:IL1R1兔多克隆抗體
-
貨號:CSB-PA011621EA01HU
-
規格:¥440
-
圖片:
-
Positive WB detected in: Raji whole cell lysate(30μg), Mouse brain tissue lysate(30μg)
All lanes: PRF1 antibody at 1:1000
Secondary
Goat polyclonal to rabbit IgG at 1/40000 dilution
Predicted band size: 66 kDa
Observed band size:75kDa
Exposure time: 120s -
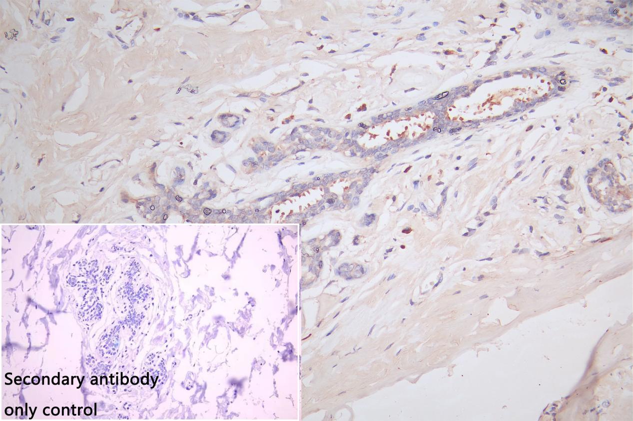
IHC image of CSB-PA011621ESR1HU diluted at 1:66 and staining in paraffin-embedded human breast cancer performed on a Leica BondTM system. After dewaxing and hydration, antigen retrieval was mediated by high pressure in a citrate buffer (pH 6.0). Section was blocked with 10% normal goat serum 30min at RT. Then primary antibody (1% BSA) was incubated at 4°C overnight. The primary is detected by a Goat anti-rabbit polymer IgG labeled by HRP and visualized using 0.05% DAB. Secondary antibody only control: uses 1% BSA instead of primary antibody
-
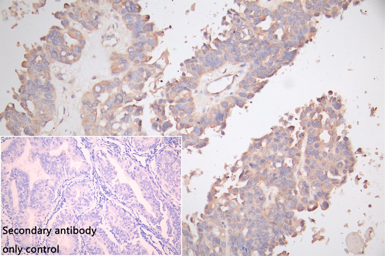
IHC image of CSB-PA011621ESR1HU diluted at 1:66 and staining in paraffin-embedded human endometrial cancer performed on a Leica BondTM system. After dewaxing and hydration, antigen retrieval was mediated by high pressure in a citrate buffer (pH 6.0). Section was blocked with 10% normal goat serum 30min at RT. Then primary antibody (1% BSA) was incubated at 4°C overnight. The primary is detected by a Goat anti-rabbit polymer IgG labeled by HRP and visualized using 0.05% DAB. Secondary antibody only control: uses 1% BSA instead of primary antibody
-
-
其他:
產品詳情
-
產品描述:
IL1R1 polyclonal antibody is synthesized by inoculating rabbits with a recombinant protein corresponding to the amino acids 18-320 of human IL1R1 protein. This IL1R1 antibody is purified from serum using protein G affinity chromatography. Its purity is greater than 95%. It is supplied as a liquid solution in a buffer containing stabilizers. The specificity and sensitivity of this IL1R1 polyclonal antibody for human IL1R1 protein have been verified in ELISA, WB, and IF applications.
IL1R1 protein mainly functions to mediate the biological effects of the pro-inflammatory cytokines IL-1α and IL-1β by activating downstream signaling pathways. IL1R1 is involved in the regulation of the immune response, inflammation, metabolism, and glucose homeostasis, and has been implicated in the development of autoimmune and inflammatory diseases.
-
產品名稱:Rabbit anti-Homo sapiens (Human) IL1R1 Polyclonal antibody
-
Uniprot No.:
-
基因名:
-
別名:IL1R1; IL1R; IL1RA; IL1RT1; Interleukin-1 receptor type 1; IL-1R-1; IL-1RT-1; IL-1RT1; CD121 antigen-like family member A; Interleukin-1 receptor alpha; IL-1R-alpha; Interleukin-1 receptor type I; p80; CD antigen CD121a
-
宿主:Rabbit
-
反應種屬:Human, Mouse
-
免疫原:The antiserum was produced against synthesized peptide derived from the N-terminal region of human IL1R1
-
免疫原種屬:Homo sapiens (Human)
-
克隆類型:Polyclonal
-
抗體亞型:IgG
-
純化方式:Antigen?affinity?purification
-
濃度:It differs from different batches. Please contact us to confirm it.
-
保存緩沖液:Liquid in PBS containing 50% glycerol, 0.5% BSA and 0.02% sodium azide.
-
產品提供形式:Liquid
-
應用范圍:ELISA, WB, IHC
-
推薦稀釋比:
Application Recommended Dilution WB 1:500-1:2000 IHC 1:50-1:200 -
Protocols:
-
儲存條件:Upon receipt, store at -20°C or -80°C. Avoid repeated freeze.
-
貨期:Basically, we can dispatch the products out in 1-3 working days after receiving your orders. Delivery time maybe differs from different purchasing way or location, please kindly consult your local distributors for specific delivery time.
-
用途:For Research Use Only. Not for use in diagnostic or therapeutic procedures.
相關產品
靶點詳情
-
功能:Receptor for IL1A, IL1B and IL1RN. After binding to interleukin-1 associates with the coreceptor IL1RAP to form the high affinity interleukin-1 receptor complex which mediates interleukin-1-dependent activation of NF-kappa-B, MAPK and other pathways. Signaling involves the recruitment of adapter molecules such as TOLLIP, MYD88, and IRAK1 or IRAK2 via the respective TIR domains of the receptor/coreceptor subunits. Binds ligands with comparable affinity and binding of antagonist IL1RN prevents association with IL1RAP to form a signaling complex. Involved in IL1B-mediated costimulation of IFNG production from T-helper 1 (Th1) cells.
-
基因功能參考文獻:
- interleukin-1 receptor 1/MyD88 signalling has roles in the development and progression of pulmonary hypertension PMID: 27418552
- Study highlights the association of genetic polymorphisms of IL1R1 with knee osteoarthritis susceptibility in the Northwestern Chinese Han population. PMID: 27980229
- Serum ST2 is elevated in heart failure patients and correlated with disease severity. PMID: 28164491
- Since mumps virus SH coimmunoprecipitated with tumor necrosis factor receptor 1 (TNFR1), RIP1, and IRAK1, we hypothesize that SH exerts its NF-kappaB activation inhibitory function by interacting with TNFR1, interleukin-1 receptor type 1 (IL-1R1), and TLR3 complexes in the plasma membrane of infected cells. PMID: 28659487
- salt-inducible kinase inhibition decreases proinflammatory cytokines in human myeloid cells upon IL-1R stimulation. PMID: 26590148
- study confirmed that genetic variant in IL-1R1(rs3917267) has significant association with HBV infection and HBV breakthrough infection in children, which provides new clues for the study of pathogenesis of chronic HBV infection in children PMID: 28027994
- The results present identification of critical regions within the TIR domain of IL-1 receptor type in humans and mice. PMID: 26279140
- IL1R1 SNP rs949963 is associated with the susceptibility to asthma in children from Central China and may increase the serum expression of IL1R1. PMID: 26975823
- investigated the association between four inflammatory cytokines (CD121a, interleukin [IL]-1beta, IL-8, and IL-11) and coronary heart disease PMID: 26098632
- This study found that the mRNA expression of IL-1R1, TNFR1, and TNFR2 was significantly higher in schizophreina PMID: 25749018
- IL-1R1 expression appears to define a tissue regulatory T cell phenotype together with the expression of CD25, glucocorticoid-induced tumor necrosis factor receptor family-related gene and CTLA-4. PMID: 26076982
- TNF-alpha (-308) GG, IL-10 (-819) TT, IL-10 (-1082) GG and IL1R (+1970) CC genotypes are found to be predominant (p=0.01, p=0.02, p=0.0001 and p=0.001, respectively) in both tuberculoid as well as lepromatous leprosy patients. PMID: 25697140
- IL-1 receptor gene polymorphisms could be one of the factors influencing the expression of membrane-bound IL-1 receptors on immunocompetent cells. PMID: 24976267
- severe forms of pancreatitis are associated with increased levels of IL-6, IL-10 and IL-1ra PMID: 25240697
- SUMOylation is a novel mechanism in the regulation of beta-arrestin 2-mediated IL-1R/TRAF6 signaling PMID: 25425640
- genetic polymorphism is associated with atopic dermatitis in Iranian pediatric population PMID: 23253688
- Blood monocytes from renal cell carcinoma patients displayed a tumor-promoting transcriptional profile that supported functions like angiogenesis and invasion. Induction of this protumor phenotype required an interleukin-1 receptor (IL-1R)-dependent mechanism. PMID: 25453823
- the NLRP3 inflammasome/IL-1RI axis is dispensable for PM10-facilitated allergic sensitization. PMID: 24988285
- Thirty-eight single nucleotide polymorphisms (SNPs) were identified within genomic regions containing all exons and relevant exon-intron boundaries in IL1R1 and IL1R2 in japanese aggressive periodontitis. PMID: 24818754
- Only the IL1RN tandem repeats polymorphism may be associated with Hashimoto's thyroiditis susceptibility; TSHR and IL1RN polymorphisms may represent prognostic factors for predicting the severity of the disease. PMID: 24328419
- ). Findings provide evidence of subgroups of women with breast cancer who report distinct trajectories of attentional function and of a genetic association between subgroup membership and an IL1R1 promoter polymorphism. PMID: 24315345
- No significant differences are detected in the Fcgamma-RIIa and IL1-Ra polymorphisms compared to controls in a study to search for associations between antineutrophil cytoplasm antibody-associated vasculitis and IL1R1 polymorphisms. PMID: 24356554
- results demonstrate clear functional consequences of the rs917997 risk polymorphism; this polymorphism leads to a loss-of-function through decreased IL-18RAP, IL-18R1, and IL-1R1 protein expression, which impairs autocrine IL-18 and IL-1 signaling PMID: 24842757
- The frequency of the IL-1RN rs315952 CT genotype was significantly lower among patients with systemic lupus erythematosus compared with healthy controls PMID: 23722873
- Common IL-33 and IL1RL1 polymorphisms contribute to the risk of inflammatory bowel disease PMID: 23634226
- The IL1R1 promoter SNP rs2192752 may contribute to the location of papillary thyroid carcinoma (PTC), and the C allele of rs2192752 may be a risk factor for the development of PTC in both lobes. PMID: 22594576
- These results demonstrate that IL-1alpha and IL-1R1 signaling is essential for microabscess formation, neutrophil recruiting chemokine expression, and acanthosis in psoriasis-like skin inflammation induced by imiquimod. PMID: 23407395
- The internalization of IL1RI after IL-1 binding is not a mechanism of feedback inhibition but of critical importance for the IL-1-induced gene expression. PMID: 23022958
- Analysis of the data suggested that IL-1R1 expression in the neonatal period provides an additional level of Myd88-dependent signaling during this period of heighted susceptibility to infection. PMID: 22435759
- The IL-1R1 1498T>C polymorphism is associated with early-stage endometriosis in Korean women. PMID: 22509941
- a genetic link between rs1921622 IL1RL1 polymorphism and disease severity in RSV bronchiolitis PMID: 22574108
- This study demonistrated that Carriers of the minor allele for a single nucleotide polymorphism in interleukin (IL)1-receptor 1 (IL1R1) (rs2110726) were less likely to report breast pain prior to surgery PMID: 22515947
- the LCAP related changes in sIL-1RI and IL-1Ra might impact the clinical outcome during treatment with an LCAP filter in patients with inflammatory bowel disease PMID: 22267087
- No sufficient evidence was available to support any associations between IL1-Ra and IL6-147G/C polymorphisms and ischemic stroke. PMID: 22417897
- a role for TILRR in selective amplification of NF-kappaB responses through IL-1RI and suggest that the specificity is determined by changes in receptor conformation and adapter protein recruitment. PMID: 22262840
- The study presents the crystal structure of IL-1beta bound to its primary receptor IL-1RI and its receptor accessory protein IL-1RAcP. PMID: 22426547
- data demonstrated that IL-1R polymorphism is associated with susceptibility to ankylosing spondylitis PMID: 22285486
- regulates S100A8/A9-dependent keratinocyte resistance to bacterial invasion PMID: 22031183
- findings demonstrate that neutrophils express IL-1R1 and that IL-1R1 is induced following extravasation and exists in a mobile intracellular compartment PMID: 22385245
- Data sshow that variants in SFTPD, CD46 and IL1R1 are associated with IPD in both EA and AA. PMID: 21858107
- IL-1RI expression in regulatory T (Treg)cells identifies a subpopulation at an early stage of differentiation. PMID: 21998454
- This study found for the first time an epigallocatechin gallate-induced downregulation of the IL-1RI expression possibly being caused by NF-kappaB inhibition. PMID: 21787753
- IL-1RI expression was not altered in endometrioid carcinoma cells in comparison with endometrial cells, clear-cells, serous and mucinous ovarian cancer cells. PMID: 21083841
- Interleukin-1 receptor-mediated inflammation impairs the heat shock response of human mesothelial cells PMID: 21435443
- No association was found between recurrent spontaneous abortion and gene polymorphisms in the interleukin-1 receptor 1 gene. PMID: 20956022
- IL1RL1 polymorphisms are associated with serum IL1RL1-a, blood eosinophils, and asthma in childhood PMID: 21281963
- Serum levels of ECP, IL-5, -6, -8 and -10, G-CSF, MCP-1, IL-1 ra and IP-10 were significantly elevated in acute compared with stable childhhood asthma. PMID: 20523065
- This study indicated that statistically significant higher protein and mRNA levels of the il1r in frontal corte in bipolar disorder. PMID: 19488045
- findings that human Tregs preferentially express receptors for TNF and IL-1 suggest a potential function in sensing and dampening local inflammation PMID: 20066156
- An association between severe hand osteoarthritis and IL1R1 gene. PMID: 20353565
顯示更多
收起更多
-
亞細胞定位:Membrane; Single-pass type I membrane protein. Cell membrane. Secreted.
-
蛋白家族:Interleukin-1 receptor family
-
組織特異性:Expressed in T-helper cell subsets. Preferentially expressed in T-helper 1 (Th1) cells.
-
數據庫鏈接:
Most popular with customers
-
-
YWHAB Recombinant Monoclonal Antibody
Applications: ELISA, WB, IHC, IF, FC
Species Reactivity: Human, Mouse, Rat
-
Phospho-YAP1 (S127) Recombinant Monoclonal Antibody
Applications: ELISA, WB, IHC
Species Reactivity: Human
-
-
-
-
-















