IL13RA1 Antibody
-
中文名稱:IL13RA1兔多克隆抗體
-
貨號:CSB-PA058807
-
規格:¥1100
-
圖片:
-
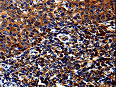
The image on the left is immunohistochemistry of paraffin-embedded Human tosil tissue using CSB-PA058807(IL13RA1 Antibody) at dilution 1/50, on the right is treated with fusion protein. (Original magnification: ×200)
-
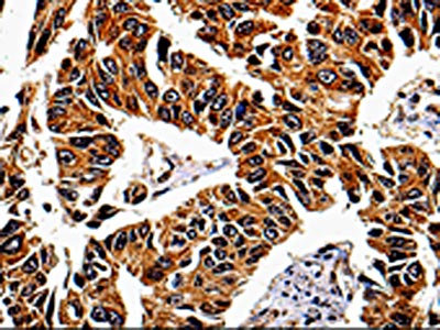
The image on the left is immunohistochemistry of paraffin-embedded Human lung cancer tissue using CSB-PA058807(IL13RA1 Antibody) at dilution 1/50, on the right is treated with fusion protein. (Original magnification: ×200)
-
-
其他:
產品詳情
-
Uniprot No.:
-
基因名:
-
別名:IL13RA1; IL13R; IL13RA; Interleukin-13 receptor subunit alpha-1; IL-13 receptor subunit alpha-1; IL-13R subunit alpha-1; IL-13R-alpha-1; IL-13RA1; Cancer/testis antigen 19; CT19; CD antigen CD213a1
-
宿主:Rabbit
-
反應種屬:Human
-
免疫原:Fusion protein of Human IL13RA1
-
免疫原種屬:Homo sapiens (Human)
-
標記方式:Non-conjugated
-
抗體亞型:IgG
-
純化方式:Antigen affinity purification
-
濃度:It differs from different batches. Please contact us to confirm it.
-
保存緩沖液:-20°C, pH7.4 PBS, 0.05% NaN3, 40% Glycerol
-
產品提供形式:Liquid
-
應用范圍:ELISA,IHC
-
推薦稀釋比:
Application Recommended Dilution ELISA 1:2000-1:10000 IHC 1:50-1:200 -
Protocols:
-
儲存條件:Upon receipt, store at -20°C or -80°C. Avoid repeated freeze.
-
貨期:Basically, we can dispatch the products out in 1-3 working days after receiving your orders. Delivery time maybe differs from different purchasing way or location, please kindly consult your local distributors for specific delivery time.
-
用途:For Research Use Only. Not for use in diagnostic or therapeutic procedures.
相關產品
靶點詳情
-
功能:Binds with low affinity to interleukin-13 (IL13). Together with IL4RA can form a functional receptor for IL13. Also serves as an alternate accessory protein to the common cytokine receptor gamma chain for interleukin-4 (IL4) signaling, but cannot replace the function of IL2RG in allowing enhanced interleukin-2 (IL2) binding activity.
-
基因功能參考文獻:
- High IL13RA1 expression is associated with Invasive breast Cancer. PMID: 28634667
- in humans and mice indicate, for the first time, a role of interleukin-13 receptor alpha1 in myocardial homeostasis and heart failure and suggests a new therapeutic target to treat heart disease. PMID: 28528324
- sIL13ralpha1 as a circulating human protein with an unexpected role in glucose metabolism. PMID: 28874358
- IL-13Ralpha1 has a protective role in bleomycin-induced pulmonary injury and repair. PMID: 26153764
- required for induction of the alternative macrophage activation pathway by IL-13 but not by IL-4 PMID: 25766112
- Results identified FAM120A in the IL13/IL13Ralpha2 signaling pathway as a key mediator of invasion and liver metastasis in colon cancer. PMID: 25896327
- miR-143 regulation of IL-13-induced inflammatory cytokine and mucus production in nasal epithelial cells from allergic rhinitis patients probably partly depends on inhibition of IL13Ralpha1. PMID: 25529447
- MiR-143 may be associated with allergic reaction in human mast cells via downregulation of IL13RA1. PMID: 23965966
- In humans, IL-13Ralpha1 lies within the PARK12 locus of susceptibility to Parkinson's disease and may have a role in the pathogenesis of this neurodegenerative disease. PMID: 23169588
- These results indicate that an inherited polymorphism of the IL-4R controls the ability of the human immune system to regulate the magnitude of IL-17 production PMID: 21294892
- The IL-13R A(1) +1398 A/G polymorphism does not contribute to asthma or allergic rhinitis susceptibility. PMID: 21425907
- IL-13Ralpha1 is expressed on human CD4(+) T(H)17 cells PMID: 21236478
- Mutation and functional analysis in human malignant glioma cells PMID: 11939409
- IL4RA and STAT6 are candidate genes for atopic disorders. 26 single-nucleotide polymorphisms (SNPs)and simple repeats are being reported spanning a total of 147kb in IL4RA and STAT6 genes of the Indian population PMID: 12522691
- Allele frequency of IL13RA1 polymorphism was not associated with rapid decline of lung function in smokers. PMID: 12594065
- Overexpression of IL-13Ralpha1 may play some role in pathogenesis of chronic stage of atopic dermatitis or psoriasis. PMID: 14527737
- Bronchial submucosal mast cell IL-13 receptor alpha 1 expression is higher in asthmatics than normal controls. PMID: 16918506
- IL-13Ralpha1 polymorphism was associated with higher total IgE in children with atopic asthma PMID: 17006604
- the IL13RA1 subunit gene -281T>G and 1365A>G polymorphisms do not contribute to asthma susceptibility or severity, although the IL13RA1 subunit gene locus might be involved in the control of immunoglobulin E production PMID: 17392323
- concomitant expression of IL-13Ralpha1 and IL-13Ralpha2 may be associated with the pathogenesis of idiopathic interstitial pneumonia. PMID: 19654941
顯示更多
收起更多
-
亞細胞定位:Membrane; Single-pass type I membrane protein.
-
蛋白家族:Type I cytokine receptor family, Type 5 subfamily
-
組織特異性:Ubiquitous. Highest levels in heart, liver, skeletal muscle and ovary; lowest levels in brain, lung and kidney. Also found in B-cells, T-cells and endothelial cells.
-
數據庫鏈接:
Most popular with customers
-
-
YWHAB Recombinant Monoclonal Antibody
Applications: ELISA, WB, IHC, IF, FC
Species Reactivity: Human, Mouse, Rat
-
Phospho-YAP1 (S127) Recombinant Monoclonal Antibody
Applications: ELISA, WB, IHC
Species Reactivity: Human
-
-
-
-
-















