IL12B Antibody
-
中文名稱:IL12B兔多克隆抗體
-
貨號:CSB-PA06615A0Rb
-
規格:¥440
-
圖片:
-
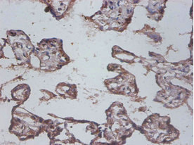
Immunohistochemistry of paraffin-embedded human placenta tissue using CSB-PA06615A0Rb at dilution of 1:100
-
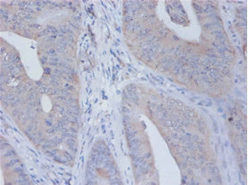
Immunohistochemistry of paraffin-embedded human colon cancer using CSB-PA06615A0Rb at dilution of 1:100
-
Western Blot
Positive WB detected in: Mouse brain tissue
All lanes: IL12B antibody at 4µg/ml
Secondary
Goat polyclonal to rabbit IgG at 1/50000 dilution
Predicted band size: 38 kDa
Observed band size: 38 kDa
-
-
其他:
產品詳情
-
產品名稱:Rabbit anti-Homo sapiens (Human) IL12B Polyclonal antibody
-
Uniprot No.:
-
基因名:
-
別名:CLMF antibody; CLMF p40 antibody; CLMF2 antibody; Cytotoxic lymphocyte maturation factor 40 kDa subunit antibody; IL 12B antibody; IL-12 subunit p40 antibody; IL-12B antibody; IL12 p40 antibody; IL12B antibody; IL12B_HUMAN antibody; IMD28 antibody; IMD29 antibody; Interleukin 12 beta chain antibody; Interleukin 12 p40 antibody; Interleukin-12 subunit beta antibody; NK cell stimulatory factor chain 2 antibody; NKSF antibody; NKSF2 antibody
-
宿主:Rabbit
-
反應種屬:Human, Mouse
-
免疫原:Recombinant Human Interleukin-12 subunit beta protein (23-328AA)
-
免疫原種屬:Homo sapiens (Human)
-
標記方式:Non-conjugated
本頁面中的產品,IL12B Antibody (CSB-PA06615A0Rb),的標記方式是Non-conjugated。對于IL12B Antibody,我們還提供其他標記。見下表:
-
克隆類型:Polyclonal
-
抗體亞型:IgG
-
純化方式:>95%, Protein G purified
-
濃度:It differs from different batches. Please contact us to confirm it.
-
保存緩沖液:Preservative: 0.03% Proclin 300
Constituents: 50% Glycerol, 0.01M PBS, PH 7.4 -
產品提供形式:Liquid
-
應用范圍:ELISA, WB, IHC
-
推薦稀釋比:
Application Recommended Dilution WB 1:1000-1:5000 IHC 1:20-1:200 -
Protocols:
-
儲存條件:Upon receipt, store at -20°C or -80°C. Avoid repeated freeze.
-
貨期:Basically, we can dispatch the products out in 1-3 working days after receiving your orders. Delivery time maybe differs from different purchasing way or location, please kindly consult your local distributors for specific delivery time.
-
用途:For Research Use Only. Not for use in diagnostic or therapeutic procedures.
相關產品
靶點詳情
-
功能:Cytokine that can act as a growth factor for activated T and NK cells, enhance the lytic activity of NK/lymphokine-activated killer cells, and stimulate the production of IFN-gamma by resting PBMC.; Associates with IL23A to form the IL-23 interleukin, a heterodimeric cytokine which functions in innate and adaptive immunity. IL-23 may constitute with IL-17 an acute response to infection in peripheral tissues. IL-23 binds to a heterodimeric receptor complex composed of IL12RB1 and IL23R, activates the Jak-Stat signaling cascade, stimulates memory rather than naive T-cells and promotes production of proinflammatory cytokines. IL-23 induces autoimmune inflammation and thus may be responsible for autoimmune inflammatory diseases and may be important for tumorigenesis.
-
基因功能參考文獻:
- Effect of polymorphisms in IL-12B p40, IL-17A and IL-23 A/G genes on the response of psoriatic patients to narrowband UVB. PMID: 29763989
- showed that IL-12B A1188C (rs3212227) can contribute to the progression of the disease in the Czech population PMID: 30069682
- Study confirms an association between IL12B and IL23R genetic polymorphism and psoriasis vulgaris (with a protective effect of minor alleles). PMID: 29454820
- IL-12 B gene AA genotype presented more frequently in late stages of Hepatitis C virus chronically ill patients, while, CC genotype had no significant association with staging of liver disease and had low frequency especially in late stages of liver disease. PMID: 28595541
- Frequency of IL-12B AA (rs6871626) genotype was increased in Ankylosing Spondylitis patients. Interleukin IL-12B AA (rs6871626) gene polymorphisms could serve as promising biomarkers for diagnosis and prognosis in Ankylosing Spondylitis patients. PMID: 29200018
- The demonstrated allelic expression imbalance supports the idea that the IL12B risk haplotype confers susceptibility not only to Crohn's disease onset but to also relapse through increased IL12B mRNA expression. PMID: 28229296
- the present study IL-12B gene status was evaluated in 50 new sputum smear-positive pulmonary tuberculosis patients. PMID: 28697396
- The rs17860508 polymorphism in the IL12B promoter region may influence the risk of developing ovarian endometriosis by altering the endometrial expression of IL12B of in Northern Chinese women. PMID: 29738836
- The rs6871626 single nucleotide polymorphism in IL-12B is associated with the pathophysiology of Takayasu arteritis. PMID: 28874185
- Human neutrophil elastase is involved in transactivation of TLR4 through activation of DUOX-2/EGFR and synergistically enhances IL-12p40 production by macrophages stimulated with LPS. PMID: 27282560
- our results suggested a significant association between IL-12B 3'-UTR and rs6887695 SNPs and ADs. PMID: 27068848
- Single-nucleotide-polymorphisms of IL12B may be considered a high-risk factor for Takayasu arteritis in Chinese Han population PMID: 28160070
- IL-12B -1188 C allele may be a protective factor against asthma in East Asians PMID: 28287286
- The low expression of HDAC3 and overexpession of inflammatory cytokines (IL-18, IL-12 and TNF-alpha) in intrahepatic cholestasis of pregnancy may be involved in liver cell apoptosis and in the pathophysiology of the disease. PMID: 28697498
- Identification of PARP-1 as a unique regulator of Il12b transcription in response to inflammatory insults in an allele-differentiating manner PMID: 28219892
- Pre-incubation with IL-12 was able to restore IFN-gamma production and the cytotoxicity capacities of NK cells. This cytokine may therefore be considered as a potential treatment candidate in traumatic brain injury patients with immune suppression. PMID: 26387630
- Visceral leishmaniasis in two patients with IL-12p40 and IL-12Rbeta1 deficiencies PMID: 27873456
- NOD2 rs3135500 and IL12B rs1368439 SNPs were not genetic risk factors for colorectal cancer in the studied Iranian population. PMID: 27426943
- IL-12B gene polymorphisms were not related with rheumatoid arthritis (RA). However, rs6887695 was associated with RA in Asian patients PMID: 27155343
- Suggest Il12B SNPs as genetic marker of disease severity in Takayasu arteritis severity. PMID: 25783557
- The results of this study suggested that rs6887695 SNP in IL12B gene increase susceptibility to relapsing-remitting multiple sclerosis. PMID: 28276258
- these meta-analyses demonstrated that IL-12B rs3212227 and rs6887695 polymorphisms do not confer susceptibility to rheumatoid arthritis [data synthesis] PMID: 27312970
- Findings indicate that IL-12p40 + 1188A/C polymorphism as well as IL-12p70 protein levels may be associated with rheumatoid arthritis (RA) in the Polish population. PMID: 27896842
- The present meta-analysis suggests that the IL12B +1188A/C (rs3212227) polymorphism might be associated with genetic susceptibility to autoimmune diseases, such as type 1 diabetes, rheumatoid arthritis and Behcet disease, but not Graves disease and ankylosing spondylitis. PMID: 26915668
- this study shows that IL-12B gene polymorphism does not contribute to the risk of hepatocellular carcinoma on top of chronic hepatitis C virus infection in Egyptian patients PMID: 27819525
- this study has demonstrated (i) a significant association of -1082GG IL-10 genotype with susceptibility to autoimmune thyroid disease and (ii) the concomitant presence of IL-12B +1188CC and IL-10-1082 GG genotype contributes to the development and progression of Hashimoto's thyroiditis PMID: 27774749
- Il-12B SNPs have an association with anti-HBs Ab production after vaccination in healthy Korean infants. PMID: 28051794
- Our results reveal that the IL12A rs568408 variant may be a marker SNP for risk of both HBV clearance and HBV-related hepatocellular carcinoma development PMID: 26631030
- this study shows that the Il-12 genetic polymorphisms is associated with susceptibility to tuberculosis in patients and their household contacts in India PMID: 27108964
- High IL12 levels can inhibit Candida albicans colonizing the gastrointestinal tract of children and adolescents with diabetes mellitus type 1. PMID: 28127111
- this study shows that IL-12B gene polymorphism is genetic risk factor for systemic lupus erythematosus in the Polish population, and that it predicts disease phenotype PMID: 27059274
- analysis of cytokine gene polymorphisms suggests that IL-12 gene may play impact on specific pathogenesis of ophthalmopathy in Korean children with early onset autoimmune thyroid disease. PMID: 26850223
- IL-12 polymorphism rs3212227 might not be a critical risk factor for Preeclampsia in Chinese Han women. PMID: 27148908
- a tendency of a higher prevalence of the genotype IL-12p40 pro1.1 in systemic arthritis and in rheumatoid factor negative polyarthritis was observed but not significant PMID: 26667304
- genetic polymorphism is associated with psoriasis in the South Indian Tamils PMID: 26472011
- genetic polymorphism is associated with allergic rhinitis in Chinese patients PMID: 26663019
- The IL23R polymorphisms rs10889677, rs7517847, and the IL12B polymorphism rs3212227 are not associated with multiple sclerosis risk. PMID: 26000455
- IL-12 immunomodulation delays the onset of lethal peritoneal disease of ovarian cancer. PMID: 26430781
- variant IL-12p40 1188C/A genotype was AA (72.92%), AC (23.96%), and CC (3.13%%) in patients as compared to 65%, 30%, and 5%, respectively, in controls. PMID: 26516307
- the IL-12B rs3212227 AC and AC+CC genotypes are associated with rheumatoid arthritis risk in older patients,rheumatoid factor positive patients and anti-cyclic peptide antibodies negative patients PMID: 26375522
- High serum IL-12 levels associated with increased densities of peritumoral CD8(+) T cells, intraepithelial CD3(+) T cells and intratumoral neutrophils, while high serum CCL4 levels associated with increased densities of peritumoral CD68(+) cells PMID: 26874795
- These observations indicate a HDAC1-mediated IL-12B gene expression suppression by live, virulent Mycobacterium tuberculosis to subvert the immune system to survive and replicate in the host. PMID: 26697414
- IL-12p40 response to in vitro stimulation in patients with Mendelian susceptibility to mycobacterial disease was below normal levels. PMID: 25201764
- 8 SNPs (rs10045431, rs11167764, rs3212227, rs6556412, rs6556416, rs6871626, rs6887695 and rs7709212) were genotyped in Han ankylosing spondylitis patients and controls. rs6871626 may be associated AS susceptibility and activity. PMID: 26103568
- Replicating the association of single-nucleotide polymorphisms in the TNFAIP3, IL12B and IL23R genes with psoriasis vulgaris, in subjects from different ethnic backgrounds, underlines their importance in the pathogenesis of the disease. PMID: 25406098
- balance of IL-23 vs IL-12/IL-27 signals into CD4(+) effector T cells determines whether tissue inflammation is perpetuated or resolves PMID: 24796719
- Compared with the IL-12B-AA genotype, CC and combined CC/AC genotypes were associated with a significant decreased risk of Hepatitis C virus infection in Chinese hemodialysis patients. PMID: 25613737
- These results show that IL-15 and IL-12 combination has the ability to expand the selective depletion of invariant natural killer T cells in vitro in HIV-infected individuals. PMID: 24748538
- The risk of gastric cardiac adenocarcinoma associated with the IL12B rs3212227 T > G polymorphism was evident among Chinese female patients and Chinese patients who never smoked or consumed alcoholic drinks. PMID: 24529168
- Based on these results, we believe that the increased levels of IL-12p40 and IL-16 are associated with an ongoing inflammatory response in obese individuals and could lead to the development of disease conditions related to obesity. PMID: 25710036
顯示更多
收起更多
-
相關疾病:Immunodeficiency 29 (IMD29); Psoriasis 11 (PSORS11)
-
亞細胞定位:Secreted.
-
蛋白家族:Type I cytokine receptor family, Type 3 subfamily
-
數據庫鏈接:
Most popular with customers
-
-
YWHAB Recombinant Monoclonal Antibody
Applications: ELISA, WB, IHC, IF, FC
Species Reactivity: Human, Mouse, Rat
-
Phospho-YAP1 (S127) Recombinant Monoclonal Antibody
Applications: ELISA, WB, IHC
Species Reactivity: Human
-
-
-
-
-















