IGSF9 Antibody
-
中文名稱:IGSF9兔多克隆抗體
-
貨號:CSB-PA23039A0Rb
-
規格:¥440
-
圖片:
-
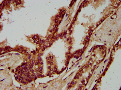
IHC image of CSB-PA23039A0Rb diluted at 1:200 and staining in paraffin-embedded human endometrial cancer performed on a Leica BondTM system. After dewaxing and hydration, antigen retrieval was mediated by high pressure in a citrate buffer (pH 6.0). Section was blocked with 10% normal goat serum 30min at RT. Then primary antibody (1% BSA) was incubated at 4°C overnight. The primary is detected by a biotinylated secondary antibody and visualized using an HRP conjugated SP system.
-
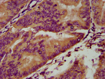
IHC image of CSB-PA23039A0Rb diluted at 1:200 and staining in paraffin-embedded human prostate cancer performed on a Leica BondTM system. After dewaxing and hydration, antigen retrieval was mediated by high pressure in a citrate buffer (pH 6.0). Section was blocked with 10% normal goat serum 30min at RT. Then primary antibody (1% BSA) was incubated at 4°C overnight. The primary is detected by a biotinylated secondary antibody and visualized using an HRP conjugated SP system.
-
-
其他:
產品詳情
-
產品名稱:Rabbit anti-Homo sapiens (Human) IGSF9 Polyclonal antibody
-
Uniprot No.:
-
基因名:
-
別名:IGSF9 antibody; IGSF9A antibody; KIAA1355 antibody; NRT1 antibody; Protein turtle homolog A antibody; Immunoglobulin superfamily member 9A antibody; IgSF9A antibody
-
宿主:Rabbit
-
反應種屬:Human
-
免疫原:Recombinant Human Protein turtle homolog A protein (132-298AA)
-
免疫原種屬:Homo sapiens (Human)
-
標記方式:Non-conjugated
本頁面中的產品,IGSF9 Antibody (CSB-PA23039A0Rb),的標記方式是Non-conjugated。對于IGSF9 Antibody,我們還提供其他標記。見下表:
-
克隆類型:Polyclonal
-
抗體亞型:IgG
-
純化方式:>95%, Protein G purified
-
濃度:It differs from different batches. Please contact us to confirm it.
-
保存緩沖液:Preservative: 0.03% Proclin 300
Constituents: 50% Glycerol, 0.01M PBS, pH 7.4 -
產品提供形式:Liquid
-
應用范圍:ELISA, IHC
-
推薦稀釋比:
Application Recommended Dilution IHC 1:200-1:500 -
Protocols:
-
儲存條件:Upon receipt, store at -20°C or -80°C. Avoid repeated freeze.
-
貨期:Basically, we can dispatch the products out in 1-3 working days after receiving your orders. Delivery time maybe differs from different purchasing way or location, please kindly consult your local distributors for specific delivery time.
-
用途:For Research Use Only. Not for use in diagnostic or therapeutic procedures.
相關產品
靶點詳情
-
功能:Functions in dendrite outgrowth and synapse maturation.
-
基因功能參考文獻:
- In the group that combined individuals affected by isolated cleft lip and palate, tooth agenesis, supernumerary teeth, molar incisor hypomineralization, or dental caries, we found an association with rs622260 but not with the rs10798049 marker. We determined that the allele C of rs622260 was overrepresented in all individuals studied compared with a group of unrelated individuals who did not present any of PMID: 29500156
-
亞細胞定位:Cell membrane; Single-pass type I membrane protein. Cell junction, synapse.
-
蛋白家族:Immunoglobulin superfamily, Turtle family
-
數據庫鏈接:
Most popular with customers
-
-
YWHAB Recombinant Monoclonal Antibody
Applications: ELISA, WB, IHC, IF, FC
Species Reactivity: Human, Mouse, Rat
-
Phospho-YAP1 (S127) Recombinant Monoclonal Antibody
Applications: ELISA, WB, IHC
Species Reactivity: Human
-
-
-
-
-















