IFRD1 Antibody
-
中文名稱:IFRD1兔多克隆抗體
-
貨號:CSB-PA011069LA01HU
-
規格:¥440
-
圖片:
-
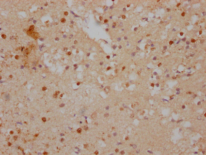
IHC image of CSB-PA011069LA01HU diluted at 1:500 and staining in paraffin-embedded human brain tissue performed on a Leica BondTM system. After dewaxing and hydration, antigen retrieval was mediated by high pressure in a citrate buffer (pH 6.0). Section was blocked with 10% normal goat serum 30min at RT. Then primary antibody (1% BSA) was incubated at 4°C overnight. The primary is detected by a Goat anti-rabbit IgG labeled by HRP and visualized using 0.05% DAB.
-
-
其他:
產品詳情
-
產品名稱:Rabbit anti-Homo sapiens (Human) IFRD1 Polyclonal antibody
-
Uniprot No.:
-
基因名:IFRD1
-
別名:12 O tetradecanoylphorbol 13 acetate induced sequence 7 antibody; IFRD1 antibody; IFRD1_HUMAN antibody; interferon related developmental regulator 1 antibody; Interferon-related developmental regulator 1 antibody; Nerve growth factor inducible protein PC4 antibody; Nerve growth factor-inducible protein PC4 antibody; PC4 antibody; Pheochromocytoma cell 4 antibody; TIS7 antibody; TPA induced sequence 7 antibody
-
宿主:Rabbit
-
反應種屬:Human
-
免疫原:Recombinant Human Interferon-related developmental regulator 1 protein (1-200AA)
-
免疫原種屬:Homo sapiens (Human)
-
標記方式:Non-conjugated
本頁面中的產品,IFRD1 Antibody (CSB-PA011069LA01HU),的標記方式是Non-conjugated。對于IFRD1 Antibody,我們還提供其他標記。見下表:
-
克隆類型:Polyclonal
-
抗體亞型:IgG
-
純化方式:>95%, Antigen Affinity purified & Affinity purified
-
濃度:It differs from different batches. Please contact us to confirm it.
-
保存緩沖液:Preservative: 0.03% Proclin 300
Constituents: 50% Glycerol, 0.01M PBS, pH 7.4 -
產品提供形式:Liquid
-
應用范圍:ELISA, IHC
-
推薦稀釋比:
Application Recommended Dilution IHC 1:500-1:5000 -
Protocols:
-
儲存條件:Upon receipt, store at -20°C or -80°C. Avoid repeated freeze.
-
貨期:Basically, we can dispatch the products out in 1-3 working days after receiving your orders. Delivery time maybe differs from different purchasing way or location, please kindly consult your local distributors for specific delivery time.
-
用途:For Research Use Only. Not for use in diagnostic or therapeutic procedures.
相關產品
靶點詳情
-
功能:Could play a role in regulating gene activity in the proliferative and/or differentiative pathways induced by NGF. May be an autocrine factor that attenuates or amplifies the initial ligand-induced signal.
-
基因功能參考文獻:
- Results from a study on gene expression variability markers in early-stage human embryos shows that IFRD1 is a putative marker for the 3-day, 8-cell embryo stage. PMID: 26288249
- High IFRD1 colon cancer expression was significantly associated with decreased 5-year patient survival. PMID: 29094309
- this study shows that IFRD1 gene may be associated with pathogenesis of asthma PMID: 27842724
- rs7817 polymorphism associated with nasal polyposis in cystic fibrosis patients PMID: 26397160
- study reveals an EGFR-IFRD1-mediated viral immune evasion mechanism, which can also be exploited by cancer cells PMID: 26055519
- rs5009270 may contribute to hip OA susceptibility by altering proximal femur shape. PMID: 25939412
- PC4 plays essential roles in the transition step from transcription initiation to elongation by binding to melted DNA in collaboration with TFIIEbeta. PMID: 25308091
- Studied the association between IFRD1 polymorphisms and gastric cancer in a Chinese population. PMID: 25073439
- IFRD1 expression is systemically up-regulated in CF neutrophils, is linked to the production of ROS, and is modulated by chemokines in CF airway fluids, depending on the IFRD1 genotype. PMID: 23043087
- This work provides evidence for the first time of reduced level of IFRD1 protein in murine and human F508del-CFTR airway epithelial cell models. PMID: 21723850
- IFRD1 is a target gene of the BACH1 transcription factor according to ChIP-seq analysis in HEK 293 cells. PMID: 21555518
- This reference shows the cloning and the sequence of the original IFRD1 homolog isolated in rat as nerve growth factor-inducible immediate early gene (named PC4). PMID: 2467301
- IFRD1 is an inducer of skeletal muscle regeneration and of satellite cell amplification, by regulating MyoD and NF-kB. PMID: 21127072
- Identification of PC4/IFRD1 as a coactivator of MyoD, a key master gene of muscle development. PMID: 15743821
- In the absence of PC4/IFRD1 skeletal muscle differentiation is defective. PMID: 7756174
- IFRD1 mRNA decay stress-sensitive regulation is mediated by an upstream open reading frame PMID: 20080976
- TIS7, a negative regulator of transcriptional activity, represses expression of OPN and beta-catenin/Tcf-4 target genes PMID: 16204248
- identification of IFRD1 as a modifier of cystic fibrosis lung disease severity PMID: 19242412
- Sequence conservation, animal models, and protein structure evaluation support the involvement of IFRD1 in SMNA PMID: 19409521
- This reference shows the cloning and the sequence of the original IFRD1 homolog isolated in mouse as TPA-inducible immediate early gene (named Tis7). PMID: 2797820
- Identification of the IFRD gene family, comprising the two genes PC4 / Tis7 / IFRD1 and SKMc15 / IFRD2, and in situ-hybridization analysis of their expression during developments PMID: 9722946
- PC4/IFRD1 is able to potentiate the transcription of many genes and to inhibit the transcription of few others, thus acting as regulator of transcription, possibly involved in tissue regeneration PMID: 12691737
- Functional ablation of PC4/IFRD1 in myoblast cells by sense and antisense strategies as well as by microinjection of PC4/IFRD1 antibodies, inhibits differentiation. PMID: 7756174
- PC4/IFRD1, known to be required for muscle differentiation, coactivates MyoD by relieving the HDAC4-mediated inhibition of MEF2C, as a result of its ability to dose-dependently displace HDAC4 from MEF2C. PMID: 15743821
- This reference (Tirone and Shooter 1989) shows the cloning and the sequence of the original IFRD1 homolog, isolated in rat as NGF-inducible immediate early gene (named PC4). PMID: 2467301
顯示更多
收起更多
-
蛋白家族:IFRD family
-
組織特異性:Expressed in a variety of tissues.
-
數據庫鏈接:
Most popular with customers
-
-
YWHAB Recombinant Monoclonal Antibody
Applications: ELISA, WB, IHC, IF, FC
Species Reactivity: Human, Mouse, Rat
-
-
-
-
-
-















