IFNB1 Antibody
-
中文名稱:IFNB1兔多克隆抗體
-
貨號:CSB-PA06515A0Rb
-
規格:¥440
-
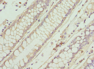
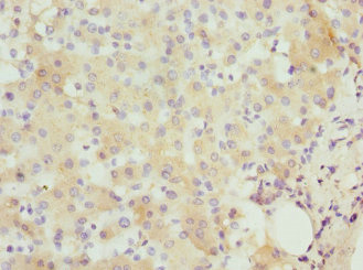
圖片:
-
其他:
產品詳情
-
產品名稱:Rabbit anti-Homo sapiens (Human) IFNB1 Polyclonal antibody
-
Uniprot No.:
-
基因名:
-
別名:beta-interferon antibody; Fibroblast interferon antibody; IFB antibody; IFF antibody; IFN beta antibody; IFN-beta antibody; IFNB 1 antibody; IFNB antibody; IFNB_HUMAN antibody; IFNB1 antibody; Interferon beta 1 fibroblast antibody; Interferon beta antibody; Interferon beta precursor antibody; MGC96956 antibody
-
宿主:Rabbit
-
反應種屬:Human
-
免疫原:Recombinant Human Interferon beta protein (22-187AA)
-
免疫原種屬:Homo sapiens (Human)
-
標記方式:Non-conjugated
本頁面中的產品,IFNB1 Antibody (CSB-PA06515A0Rb),的標記方式是Non-conjugated。對于IFNB1 Antibody,我們還提供其他標記。見下表:
-
克隆類型:Polyclonal
-
抗體亞型:IgG
-
純化方式:>95%, Protein G purified
-
濃度:It differs from different batches. Please contact us to confirm it.
-
保存緩沖液:Preservative: 0.03% Proclin 300
Constituents: 50% Glycerol, 0.01M PBS, PH 7.4 -
產品提供形式:Liquid
-
應用范圍:ELISA, IHC
-
推薦稀釋比:
Application Recommended Dilution IHC 1:20-1:200 -
Protocols:
-
儲存條件:Upon receipt, store at -20°C or -80°C. Avoid repeated freeze.
-
貨期:Basically, we can dispatch the products out in 1-3 working days after receiving your orders. Delivery time maybe differs from different purchasing way or location, please kindly consult your local distributors for specific delivery time.
-
用途:For Research Use Only. Not for use in diagnostic or therapeutic procedures.
相關產品
靶點詳情
-
功能:Has antiviral, antibacterial and anticancer activities.
-
基因功能參考文獻:
- Data indicate a mechanism used by monocyte chemotactic protein-inducing protein 1 (MCPIP1) to negatively regulated type I IFN interferon-beta antiviral defense. PMID: 29920243
- It has been shown that HCMV has evolved mutational robustness against IFN-beta by limiting the presence of APOBEC3G hot spots in essential open reading frames of its genome. PMID: 30045985
- RIG-I-like receptors have a role in induction of interferon-beta1 in antiviral gene expression PMID: 29098213
- Transcriptomic analysis of early untreated dermatomyositis muscles revealed that the main cluster of down-regulated genes was mitochondria-related. Histochemical, electron microscopy, and in situ oxygraphy analysis showed mitochondrial abnormalities, including increased reactive oxygen species (ROS) production and decreased respiration, which was correlated with low exercise capacities and a type I IFN signature. PMID: 28623559
- Gas6 bound to the fiber proteins of adenovirus and suppressed IFN beta production. PMID: 29288958
- The overexpression of NPIPB3 restored the interferon-beta responses in severe acute respiratory syndrome coronavirus open reading frame 6 (SARS-CoV ORF6) expressing cells, indicating that the interaction of SARS CoV ORF6 and NPIPB3 reduced Type I interferon antagonism by SARS-CoV ORF6. PMID: 26320399
- The results demonstrate that cystatin B interferes with the STAT-1 signaling and IFN-beta-antiviral responses perpetuating HIV in macrophage reservoirs. PMID: 27137788
- This review briefly discusses the dysregulation of main T cell subpopulations in CNS autoimmunity and summarized the T cell targeted effects of endogenous and exogenous IFN-beta in health and EAE/MS, with emphasis on the direct actions of IFN-beta on each T cell subset involved in the disease. PMID: 27033173
- c-Cbl negatively regulates IFN-beta signaling and cellular antiviral response by promoting IRF3 ubiquitination and degradation. PMID: 27503123
- YPEL5 silencing enhanced the induction of IFNB1 by pattern recognition receptors and phosphorylation of TBK1/IKBKE kinases, whereas co-immunoprecipitation experiments revealed that YPEL5 interacted physically with IKBKE. PMID: 27705791
- The effect of topical TREX1 knockdown and local interferon production on HIV transmission in human cervicovaginal explants and humanized mice, is reported. PMID: 27184854
- The current knowledge on IFNbeta from its structure, dynamic conformation, signaling pathway, and mechanism of action to its therapeutic effects is summarized. PMID: 27572132
- this study shows that the IFN-beta/STAT1 pathway is dysregulated in inflammatory bowel disease PMID: 27220814
- results suggest that, in addition to its well-known signaling activity, IFN-beta may be directly antimicrobial and be part of a growing family of cytokines and chemokines, called kinocidins, that also have antimicrobial properties. PMID: 28411186
- This study demonstrates a novel pathway for elevated IFNbeta signaling in SLE that is not dependent on stimulation by immune complexes but rather is cell intrinsic and critically mediated by IFNbeta and MAVS. PMID: 28471483
- G45R mutation of NS1 slightly decreased NS1 binding to dsRNA but did not interfere with its suppression of RIG-I-mediated type I IFN production. PMID: 27405392
- Upon influenza virus infection, DPF2 dysregulated IFN-beta induction and expression of cytokines/chemokines and antiviral proteins. This study provides evidence that influenza virus utilizes DPF2 to escape host innate immunity. PMID: 28404846
- Overexpression of PKV VP3 blocked IFN-beta-induced activation of the STAT1/STAT2/IRF9 promoter in a dose-dependent manner. PMID: 28441586
- Data suggest that EV71 infection in enterocytes does not inhibit phosphorylation of STAT1/2 induced by IFN-beta, but p-STAT1/2 transport into the nucleus is significantly blocked; EV71 infection in enterocytes down-regulates expression of KPNA1 and induces degradation of cellular KPNA1 via caspase-3. [EV17 = Enterovirus 71] PMID: 28455446
- This study reveals that decreased induction of both PKR and p300 proteins contribute to impaired induction of IFN-beta in Chronic obstructive pulmonary disease primary bronchial epithelial cells upon influenza infection. PMID: 26807508
- Together, these results suggest that RSV infection of MSCs alters their immune regulatory function by upregulating IFN-b and IDO, affecting immune cell proliferation, which may account for the lack of protective RSV immunity and for chronicity of RSV-associated lung diseases such as asthma and COPD. PMID: 27695127
- ArfGAP domain-containing protein 2 (ADAP2) is identified as a key novel scaffolding protein that integrates different modules of the RIG-I pathway, located at distinct subcellular locations, and mediates cellular antiviral type I interferon production. PMID: 27956705
- TBK1 complexes required for the phosphorylation of IRF3 and the production of interferon-beta have been identified. PMID: 28159912
- RNAs isolated from HCV-replicating cells triggered robust IFN-beta and IFN-lambda production through MDA5. PMID: 27655134
- These results suggest that inhibition of RIG-I-mediated type I interferon responses by Enterovirus 71 may contribute to the pathogenesis of viral infection. PMID: 27633794
- the interactions of IRF1, IFN-beta and IRF5 are involved in the M1 polarization of macrophages and have antitumor functions. PMID: 27176664
- The results demonstrate that PASylation has a positive impact on stability, solubility, and functional activity of IFN-beta1b and potentially might improve pharmacokinetic properties of the molecule as a therapeutic agent. PMID: 27833991
- Data suggest that interferon beta (IFN-beta) might be involved in modulating the expressions of interferon regulatory factor 1 (IRF1) and interferon regulatory factor-5 protein (IRF5) as well as maintaining the M1 polarization status and its function. PMID: 27363262
- Results suggest that serum levels of IFN-beta do not correlate well with the severity of dengue illness, but there is a clear association between changes in IFN-beta levels and the days of evolution during the acute phase of the disease. PMID: 26252251
- Overexpression of KLF4 inhibited virus-induced activation of ISRE and IFN-b promoter in cells, while knockdown of KLF4 potentiated viral infection-triggered induction of IFNB1 and downstream genes and attenuated viral replication. PMID: 25531393
- These findings suggest that RNF166 positively regulates RNA virus-triggered IFN-beta production by enhancing the ubiquitination of TRAF3 and TRAF6. PMID: 26456228
- the suppression of type I IFN production by HTLV-1 Tax through interaction with and inhibition of TBK1 kinase that phosphorylates IRF3 PMID: 26819312
- IFN-b could be an effective agent not only through its cell growth inhibitory effect on GSCs but also as a means of targeting the interconversion between GSCs and non-GSCs. PMID: 26397698
- These results demonstrate that poliovirus infection actively suppresses the host type I interferon response by blocking activation of IRF-3 and suggests that this is not mediated by cleavage of MDA-5 or IPS-1. PMID: 26437794
- The Hantaan virus A9 N protein can influence the host innate immune response by regulating the activation of IFNbeta. PMID: 26196448
- Together, the data demonstrate that interferon-beta inhibits foamy virus early in infection and that MxB is not a restriction factor of foamy virus. PMID: 26609934
- The C-terminal region of Toscana Virus NSs protein is critical for interferon-beta antagonism and protein stability. PMID: 26474372
- These findings support a model in which a measles virus defective interfering RNA is sensed by PACT and RIG-I to initiate an innate antiviral response via activation of interferon-beta production. PMID: 26608320
- Data suggest microRNA-302c regulates interferon-beta production in innate/mucosal immunity partly via down-regulation of interferon regulatory factors IRF3/7; studies were conducted in lung epithelial cells infected with influenza A virus H3N2. PMID: 26602079
- Data show that the MAPKKK6 ASK2, a modulator of MAPKKK5 ASK1 signaling, was essential for ASK1-dependent apoptosis, but not for inducing interferon-beta (IFNB) expression. PMID: 26243192
- Data suggest ADAP2 (an interferon-beta stimulated gene) disrupts pathogenic internalization of some RNA viruses/virions (dengue, vesicular stomatitis) by altering ADP ribosylation factor 6-mediated processes including up-regulation of pinocytosis. PMID: 26372645
- Data suggest that naturally occurring iDVGs (immunostimulatory defective viral genomes) trigger robust host antiviral/innate immunity responses including/requiring up-regulation of IFNB1 and IFNL1 (interferon lambda 1) in respiratory mucosa. PMID: 26336095
- Data identify an IFNbeta1-dependent, cell-autonomous mechanism that contributes to the therapeutic resistance of melanoma via the PKCepsilon-ATF2 regulatory axis. PMID: 25728676
- Early IFN-beta induction regulated virus replication in glioblastoma cells, whereas delayed IFN-beta induction resulted in efficient virus replication in neuroblastoma cells. PMID: 25920530
- Virion-associated R6 the type I IFN response by preventing efficient binding of IRF3/CBP complexes to the IFN-beta promoter in the context of infection. PMID: 25972548
- new IFN-beta response genes were identified in B cells, with possible implications to B cell-specific functions PMID: 25025430
- Reduced myelin basic protein-induced CD4+ T-cell autoreactivity in interferon-beta-treated multiple sclerosis patients may be mediated by monocyte-derived interleukin-10 PMID: 25738751
- Influenza virus-infected cells respond with increased induction of interferon beta upon Staphylococcus aureus super-infection, however, subsequent interferon-stimulated gene expression are rather impaired due to a block of STAT1-STAT2 dimerization. PMID: 25293394
- Paracrine signaling increases the number of cells that express Ifnb1 over time, calibrating the immune response to viral infection. PMID: 25670204
- Data suggest that BRD4 (bromodomain containing 4) is essential for Toll-like receptor-stimulated interferon-beta (IFNB) gene transcription by permitting transcription factors to interact with the IFNB promoter in plasmacytoid dendritic cells. PMID: 25891802
顯示更多
收起更多
-
亞細胞定位:Secreted.
-
蛋白家族:Alpha/beta interferon family
-
數據庫鏈接:
Most popular with customers
-
-
YWHAB Recombinant Monoclonal Antibody
Applications: ELISA, WB, IHC, IF, FC
Species Reactivity: Human, Mouse, Rat
-
Phospho-YAP1 (S127) Recombinant Monoclonal Antibody
Applications: ELISA, WB, IHC
Species Reactivity: Human
-
-
-
-
-















