-
中文名稱:IDO1兔多克隆抗體
-
貨號:CSB-PA010996HA01HU
-
規格:¥440
-
圖片:
-
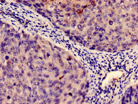
Immunohistochemistry analysis of human cervical cancer using CSB-PA010996HA01HU at dilution of 1:100
-
Immunofluorescent analysis of HepG2 cells using CSB-PA010996HA01HU at dilution of 1:100 and Alexa Fluor 488-congugated AffiniPure Goat Anti-Rabbit IgG(H+L)
-
Western Blot
Positive WB detected in: U87 whole cell lysate
All lanes: IDO1 antibody at 2.6µg/ml
Secondary
Goat polyclonal to rabbit IgG at 1/50000 dilution
Predicted band size: 46 kDa
Observed band size: 46 kDa -
Immunofluorescence staining of Hela cells with CSB-PA010996HA01HU at 1:266, counter-stained with DAPI. The cells were fixed in 4% formaldehyde, permeabilized using 0.2% Triton X-100 and blocked in 10% normal Goat Serum. The cells were then incubated with the antibody overnight at 4°C. The secondary antibody was Alexa Fluor 488-congugated AffiniPure Goat Anti-Rabbit IgG(H+L).
-
-
其他:
產品詳情
-
產品名稱:Rabbit anti-Homo sapiens (Human) IDO1 Polyclonal antibody
-
Uniprot No.:
-
基因名:
-
別名:3-dioxygenase antibody; I23O1_HUMAN antibody; IDO 1 antibody; IDO antibody; IDO-1 antibody; IDO1 antibody; INDO antibody; indolamine 2,3 dioxygenase antibody; Indole 2 3 dioxygenase antibody; indoleamine 2 3 dioxygenase 1 antibody; indoleamine 2 3 dioxygenase antibody; Indoleamine 2,3-dioxygenase 1 antibody; Indoleamine pyrrole 2 3 dioxygenase antibody; Indoleamine-pyrrole 2 antibody
-
宿主:Rabbit
-
反應種屬:Human
-
免疫原:Recombinant Human Indoleamine 2,3-dioxygenase 1 protein (1-403AA)
-
免疫原種屬:Homo sapiens (Human)
-
標記方式:Non-conjugated
本頁面中的產品,IDO1 Antibody (CSB-PA010996HA01HU),的標記方式是Non-conjugated。對于IDO1 Antibody,我們還提供其他標記。見下表:
-
克隆類型:Polyclonal
-
抗體亞型:IgG
-
純化方式:>95%, Protein G purified
-
濃度:It differs from different batches. Please contact us to confirm it.
-
保存緩沖液:Preservative: 0.03% Proclin 300
Constituents: 50% Glycerol, 0.01M PBS, PH 7.4 -
產品提供形式:Liquid
-
應用范圍:ELISA, WB, IHC, IF
-
推薦稀釋比:
Application Recommended Dilution WB 1:500-1:5000 IHC 1:20-1:200 IF 1:50-1:500 -
Protocols:
-
儲存條件:Upon receipt, store at -20°C or -80°C. Avoid repeated freeze.
-
貨期:Basically, we can dispatch the products out in 1-3 working days after receiving your orders. Delivery time maybe differs from different purchasing way or location, please kindly consult your local distributors for specific delivery time.
-
用途:For Research Use Only. Not for use in diagnostic or therapeutic procedures.
引用文獻
- O-cyclic phytosphingosine-1-phosphate stimulates HIF1α-dependent glycolytic reprogramming to enhance the therapeutic potential of mesenchymal stem cells Lee HJ, et al,Cell Death and Disease,2019
相關產品
靶點詳情
-
功能:Catalyzes the first and rate limiting step of the catabolism of the essential amino acid tryptophan along the kynurenine pathway. Involved in the peripheral immune tolerance, contributing to maintain homeostasis by preventing autoimmunity or immunopathology that would result from uncontrolled and overreacting immune responses. Tryptophan shortage inhibits T lymphocytes division and accumulation of tryptophan catabolites induces T-cell apoptosis and differentiation of regulatory T-cells. Acts as a suppressor of anti-tumor immunity. Limits the growth of intracellular pathogens by depriving tryptophan. Protects the fetus from maternal immune rejection.
-
基因功能參考文獻:
- Interference SNHG1 could inhibit the differentiation of Treg cells by promoting miR-448 expression and reducing IDO level, thereby impeding the immune escape of breast cancer . PMID: 29886172
- We discuss how small-molecule inhibitors of the tryptophan (Trp) catabolic enzyme indoleamine 2,3-dioxygenase (IDO) represent a vanguard of new immunometabolic adjuvants to safely enhance the efficacy of cancer immunotherapy, radiotherapy, or 'immunogenic' chemotherapy by leveraging responses to tumor neoantigens PMID: 29413421
- The role of IDO1-IDO2-AHR pathway in the TLR4-induced tolerogenic phenotype in human dendritic cells has been reported. PMID: 28256612
- High coexpression of cytoplasmic IDO1/COX2 was found to be an independent predictor of poor outcome in colorectal cancer patients. PMID: 29853736
- Report the crystal structures of IDO1 in complex with its substrate, Trp, an inhibitor, epacadostat, and/or an effector, indole ethanol (IDE). The data reveal structural features of the active site (Sa) critical for substrate activation; in addition, they disclose a new inhibitor-binding mode and a distinct small molecule binding site (Si). PMID: 29167421
- IDO decreased glycolysis and glutaminolysis by activating GCN2K, resulting in activation of AMPactivated protein kinase. PMID: 29693118
- this review highlights the role of indoleamine-2,3-dioxygenase in normal and pathological pregnancies PMID: 29154462
- Data suggest that IDO1 is constitutively expressed in insulin-secreting cells from donors without diabetes; IDO1 appears to be down-regulated in insulin-containing beta-cells from double autoantibody-positive donors and donors with recent-onset type 1 diabetes; this study was conducted on donor tissues obtained from cadavers. PMID: 29945890
- Twenty-nine percent (n = 2/7) of the PD-L1 positive poorly differentiated thyroid carcinomas also co-expressed IDO1 PMID: 29372535
- In non-ST segment elevation myocardial infarction, the tolerogenic mechanism of the immune response related to IDO production by activated monocytes derived dendritic cells is altered, supporting their role in T-cell dysregulation. PMID: 29278387
- These data suggest that the expression of immunosuppressive molecules, including PD-1 ligands and IDO1, by macrophage/microglia may be involved in immune evasion of lymphoma cells. PMID: 29998979
- Our data demonstrate that high intratumoral IDO1 mRNA levels correlate with a poor glioblastoma (GBM) patient prognosis. It also confirms the positive correlation between increased GBM IDO1 levels and human-infiltrating T cells PMID: 28751450
- Among the 89 patients, CD274, LAG3, and IDO1 expressions in TIICs were observed in 68.6% (61 cases), 13.5% (12), and 28.1% (25) of patients, respectively. CD274, CTLA4, and IDO1 were expressed in tumor cells of 24.7% (22 cases), 4.5% (4), and 72.0% (64) of patients, respectively. PMID: 29520442
- Multivariate analysis indicated indoleamine 2,3-dioxygenase (IDO) expression as independent prognostic factors in overall survival (OS). PMID: 29848687
- these findings suggest that IDO1 promoter methylation regulates anti-immune responses in breast cancer subtypes and could be used as a predictive biomarker for IDO1 inhibitor-based immunotherapy. PMID: 28264810
- main biological and actionable difference between OSCC from NSND and SD lies in the immune microenvironment, suggesting a higher clinical benefit of PD-L1 and IDO1 inhibition in OSCC from NSND PMID: 28460011
- An IDO1 inhibitor, epacadostat also demonstrated promising activity in combination with the PD-1 checkpoint inhibitors in other solid tumors, including melanoma, urothelial carcinoma, renal cell carcinoma, and non-small cell lung cancer PMID: 28760910
- This first-in-human phase I study investigated the maximum tolerated dose, safety, pharmacokinetics, pharmacodynamics, and antitumor activity of epacadostat (INCB024360), a potent and selective inhibitor of IDO1 PMID: 28053021
- Fumaric acid esters inhibit both IDO expression and enzymatic activity leading to a modulation of tryptophan degradation. PMID: 27376248
- Our results highlight the role of COX-2 in constitutive IDO1 expression by human tumors and substantiate the use of COX-2 inhibitors to improve the efficacy of cancer immunotherapy, by reducing constitutive IDO1 expression, which contributes to the lack of T-cell infiltration in "cold" tumors, which fail to respond to immunotherapy PMID: 28765120
- this data we have identified the structure of two possible compounds that may be even more potent pharmacological repressors of IDO-1. PMID: 28735627
- Prognostic value of IDO in acute myeloid leukemia. PMID: 26762931
- These findings indicate that IDO1 has the potential to participate in or contribute to the formation of new capillaries, supporting the applicability of IDO1-targeting molecular therapy in lung cancer. PMID: 28498425
- induces PD-L1 expression by melanoma cells PMID: 27121174
- PD-L1, IDO-1, and B7-H4 are differentially expressed in human lung carcinomas and show limited co-expression. While PD-L1 and IDO-1 are associated with increased tumor-infiltrating lymphoycte and IFN-gamma stimulation, B7-H4 is not. PMID: 27440266
- Data show that indole 23-dioxygenase (IDO) is variably expressed by tumor-infiltrating immune cells or reactive cells rather than lymphoma cells in diffuse large-cell lymphoma (DLBCL). PMID: 26727587
- High IDO1 expression is associated with hepatocellular carcinoma. PMID: 26895379
- Epacadostat significantly decreases Treg proliferation induced by IDO production from IFN-gamma plus LPS matured human DCs, although the Treg phenotype does not change PMID: 27192116
- Inhibition of TOR serine-threonine kinases (mTOR) strongly induced indoleamine 23-dioxygenase 1 (IDO1) expression and activity, corroborating its ability to recruit Treg cells in the tumor microenvironment. PMID: 27174915
- up-regulation induces immunosuppression and may enhance the risk of hepatitis C virus and hepatitis B virus induced hepatocellular carcinoma [review] PMID: 28428708
- MALAT1-overexpressed MSCs promoted M2 macrophage polarization and this effect was mediated by MALAT1-induced IDO expression, suggesting that MALAT1 may enhance the immunosuppressive properties of MSCs in vivo. PMID: 28176360
- this study demonstrated that the downregulation of IDO expression on the endothelial cells of the villous stroma was associated with preeclampsia PMID: 28131097
- The data suggest that in Puumala infection, the mechanism responsible for the suppressive effect of IDO is not metabolic control of effector cells but rather the signaling mediated by tryptophan breakdown products, such as kynurenine. PMID: 28057727
- These results show IDO is upregulated with RSV infection and this upregulation likely participates with IFN-gamma in inhibition of virus replication and suppression of some host cell responses to infection. PMID: 28963880
- IDO role in cancer immune responses [review] PMID: 26517538
- This study demonstrated that IDO-1 was elevated in the Solid Component and Cyst Fluid of Human Adamantinomatous Craniopharyngioma. PMID: 28859336
- The Binding Mode of N-Hydroxyamidines to Indoleamine 2,3-Dioxygenase 1 PMID: 28731684
- Fourier transform infrared (FTIR) and nanosecond time-resolved optical spectroscopy to hIDO1 variants with modified heme pocket structures to identify important amino acid residues that stabilize the substrate in the active site. PMID: 28189796
- Thus, our study provides novel insights into the interaction between a small molecule inhibitor INCB14943 and IDO1 protein. The structural information will facilitate future IDO1 inhibitor design. PMID: 28412361
- The aim of the present study was to clarify the effect of IDO1induced macrophages on the growth of endometrial stromal cells in endometriosis. IDO1 educated-macrophages may facilitate the survival of retrograde endometrial tissues, and be involved in the pathogenesis of endometriosis. PMID: 28260094
- Our results identified FGL2, GAL, SEMA4D, SEMA7A, and IDO1 as new candidate genes that could be involved in MSCs-mediated immunomodulation. FGL2, GAL, SEMA4D, SEMA7A, and IDO1 genes appeared to be differentially transcribed in the different MSC populations. Moreover, these genes were not similarly modulated following MSCs-exposure to inflammatory signals PMID: 28336906
- IDO mediated conversion of FOXP3 -T cells to Tregs predominantly occurs in children with inflammatory bowel disease. PMID: 28337881
- The study confirmed that high IDO expression in pancreatic adenocarcinoma was related to poor prognosis of patients. These findings provided evidence that IDO was involved in pancreatic adenocarcinoma progression and might serve as a relevant therapeutic target. PMID: 28303855
- ver-expression of CTLA4 and IDO1 was significantly associated with biochemical recurrence. Our results provide clues on the mechanisms of tumor development and point to potential biomarkers for early detection and treatment for prostate cancer in young men. PMID: 28027300
- IDO1 mRNA expression in cervical cancer PMID: 27761872
- Structural Study of a Flexible Active Site Loop in Human Indoleamine 2,3-Dioxygenase and Its Functional Implications. PMID: 27112409
- IDO gene expression is a feature of aggressive non-muscle-invasive urothelial cell bladder carcinoma, suggesting a potential immunosuppressive role of IDO PMID: 28314306
- Data show that in the absence of indoleamine 2,3-dioxygenase (IDO) inhibition, fatty acid oxidation increased along with increased activity of carnitine palmitoyltransferase I (CPT1). PMID: 27667153
- High IDO1 expression is associated with cervical cancer. PMID: 27106797
- PSG stimulated IDO activity under the conditions of induction of the monocytes by interferon-gamma. PMID: 27595833
顯示更多
收起更多
-
亞細胞定位:Cytoplasm, cytosol.
-
蛋白家族:Indoleamine 2,3-dioxygenase family
-
組織特異性:Expressed in mature dendritic cells located in lymphoid organs (including lymph nodes, spleen, tonsils, Peyers's patches, the gut lamina propria, and the thymic medulla), in some epithelial cells of the female genital tract, as well as in endothelial cell
-
數據庫鏈接:
Most popular with customers
-
-
Phospho-YAP1 (S127) Recombinant Monoclonal Antibody
Applications: ELISA, WB, IHC
Species Reactivity: Human
-
-
-
-
-
-















