ICE1 Antibody
-
中文名稱:ICE1兔多克隆抗體
-
貨號:CSB-PA897466LA01HU
-
規格:¥440
-
圖片:
-
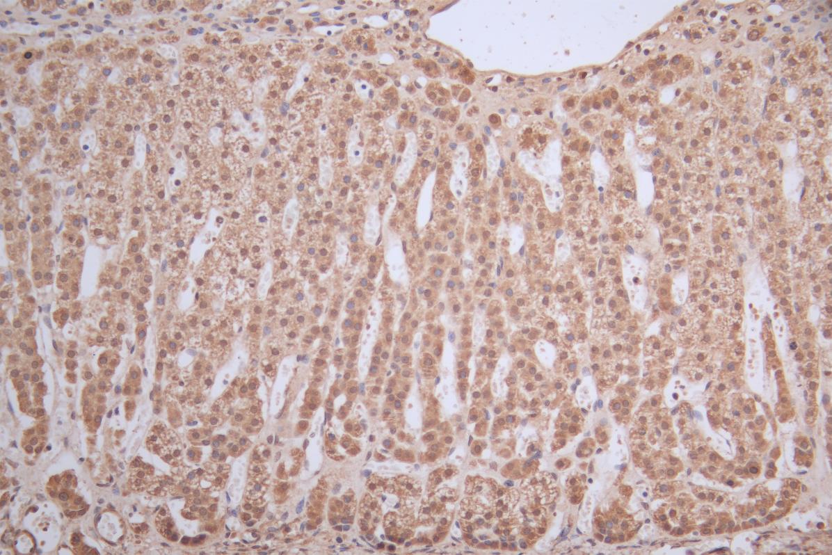
IHC image of CSB-PA897466LA01HU diluted at 1:300 and staining in paraffin-embedded human adrenal gland tissue performed on a Leica BondTM system. After dewaxing and hydration, antigen retrieval was mediated by high pressure in a citrate buffer (pH 6.0). Section was blocked with 10% normal goat serum 30min at RT. Then primary antibody (1% BSA) was incubated at 4°C overnight. The primary is detected by a Goat anti-rabbit polymer IgG labeled by HRP and visualized using 0.05% DAB.
-
Immunofluorescence staining of Hela cell with CSB-PA897466LA01HU at 1:200, counter-stained with DAPI. The cells were fixed in 4% formaldehyde and blocked in 10% normal Goat Serum. The cells were then incubated with the antibody overnight at 4C. The secondary antibody was Alexa Fluor 488-congugated AffiniPure Goat Anti-Rabbit IgG(H+L).
-
Immunofluorescence staining of A549 cell with CSB-PA897466LA01HU at 1:200, counter-stained with DAPI. The cells were fixed in 4% formaldehyde and blocked in 10% normal Goat Serum. The cells were then incubated with the antibody overnight at 4C. The secondary antibody was Alexa Fluor 488-congugated AffiniPure Goat Anti-Rabbit IgG(H+L).
-
-
其他:
產品詳情
-
產品名稱:Rabbit anti-Homo sapiens (Human) ICE1 Polyclonal antibody
-
Uniprot No.:
-
基因名:ICE1
-
別名:K0947_HUMAN antibody; KIAA0947 antibody; Uncharacterized protein KIAA0947 antibody
-
宿主:Rabbit
-
反應種屬:Human
-
免疫原:Recombinant Human Little elongation complex subunit 1 protein (1213-1505AA)
-
免疫原種屬:Homo sapiens (Human)
-
標記方式:Non-conjugated
本頁面中的產品,ICE1 Antibody (CSB-PA897466LA01HU),的標記方式是Non-conjugated。對于ICE1 Antibody,我們還提供其他標記。見下表:
-
克隆類型:Polyclonal
-
抗體亞型:IgG
-
純化方式:>95%, Protein G purified
-
濃度:It differs from different batches. Please contact us to confirm it.
-
保存緩沖液:Preservative: 0.03% Proclin 300
Constituents: 50% Glycerol, 0.01M PBS, PH 7.4 -
產品提供形式:Liquid
-
應用范圍:ELISA, IHC, IF
-
推薦稀釋比:
Application Recommended Dilution IHC 1:20-1:200 IF 1:20-1:200 -
Protocols:
-
儲存條件:Upon receipt, store at -20°C or -80°C. Avoid repeated freeze.
-
貨期:Basically, we can dispatch the products out in 1-3 working days after receiving your orders. Delivery time maybe differs from different purchasing way or location, please kindly consult your local distributors for specific delivery time.
-
用途:For Research Use Only. Not for use in diagnostic or therapeutic procedures.
相關產品
靶點詳情
-
功能:Component of the little elongation complex (LEC), a complex required to regulate small nuclear RNA (snRNA) gene transcription by RNA polymerase II and III. Specifically acts as a scaffold protein that promotes the LEC complex formation and recruitment and RNA polymerase II occupancy at snRNA genes in subnuclear bodies.
-
基因功能參考文獻:
- The results indicate that p53 interferes with the interaction between ELL/EAF and ICE1 and represses transcription of small nuclear RNA genes by Pol II. PMID: 27268141
- Multigenerational autosomal dominant inheritance of 5p chromosomal deletions resulting in Cri-du-Chat Syndrome with SEMA5A, CTNND2, and ICE1 deficiencies has been described. PMID: 26601658
-
亞細胞定位:Nucleus. Nucleus, Cajal body.
-
蛋白家族:ICE1 family
-
數據庫鏈接:
Most popular with customers
-
-
YWHAB Recombinant Monoclonal Antibody
Applications: ELISA, WB, IHC, IF, FC
Species Reactivity: Human, Mouse, Rat
-
Phospho-YAP1 (S127) Recombinant Monoclonal Antibody
Applications: ELISA, WB, IHC
Species Reactivity: Human
-
-
-
-
-















