HYAL1 Antibody
-
中文名稱:HYAL1兔多克隆抗體
-
貨號:CSB-PA623651ESR2HU
-
規格:¥440
-
圖片:
-
Western blot
All lanes: HYAL1 antibody at 2µg/ml + HepG2 whole cell lysate
Secondary
Goat polyclonal to rabbit IgG at 1/10000 dilution
Predicted band size: 49, 46, 28, 24, 20, 11, 38 kDa
Observed band size: 49 kDa -
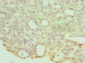
Immunohistochemistry of paraffin-embedded human endommetrial cancer using CSB-PA623651ESR2HU at dilution of 1:100
-
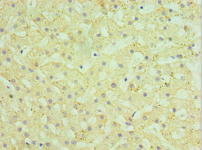
Immunohistochemistry of paraffin-embedded human liver tissue using CSB-PA623651ESR2HU at dilution of 1:100
-
-
其他:
產品詳情
-
產品名稱:Rabbit anti-Homo sapiens (Human) HYAL1 Polyclonal antibody
-
Uniprot No.:
-
基因名:HYAL1
-
別名:HYAL 1 antibody; Hyal-1 antibody; HYAL1 antibody; HYAL1_HUMAN antibody; Hyaluronidase 1 antibody; Hyaluronidase-1 antibody; Hyaluronoglucosaminidase 1 antibody; Hyaluronoglucosaminidase-1 antibody; Hyaluronoglucosaminidase1 antibody; LUCA 1 antibody; LUCA-1 antibody; LUCA1 antibody; Lung carcinoma protein 1 antibody; MGC45987 antibody; NAT6 antibody; Plasma hyaluronidase antibody; Tumor suppressor LUCA 1 antibody
-
宿主:Rabbit
-
反應種屬:Human
-
免疫原:Recombinant Human Hyaluronidase-1 protein (136-435AA)
-
免疫原種屬:Homo sapiens (Human)
-
標記方式:Non-conjugated
-
克隆類型:Polyclonal
-
抗體亞型:IgG
-
純化方式:Antigen Affinity Purified
-
濃度:It differs from different batches. Please contact us to confirm it.
-
保存緩沖液:PBS with 0.02% sodium azide, 50% glycerol, pH7.3.
-
產品提供形式:Liquid
-
應用范圍:ELISA, WB, IHC
-
推薦稀釋比:
Application Recommended Dilution WB 1:500-1:2000 IHC 1:20-1:200 -
Protocols:
-
儲存條件:Upon receipt, store at -20°C or -80°C. Avoid repeated freeze.
-
貨期:Basically, we can dispatch the products out in 1-3 working days after receiving your orders. Delivery time maybe differs from different purchasing way or location, please kindly consult your local distributors for specific delivery time.
-
用途:For Research Use Only. Not for use in diagnostic or therapeutic procedures.
相關產品
靶點詳情
-
功能:May have a role in promoting tumor progression. May block the TGFB1-enhanced cell growth.
-
基因功能參考文獻:
- Data revealed a significant inverse correlation between ERalpha and HYAL1 gene expression in human breast tumors. HYAL1 was found repressed by estrogen through ERalpha binding to a consensus response element (ERE) located in the proximal promoter of HYAL1 and flanked by an Sp1 binding site, required to achieve optimal estrogen repression. PMID: 27764788
- Ureaplasma urealyticum infection may affect the activity of hyaluronidase on spermatozoa PMID: 28012250
- our results suggest that the enzyme HYAL1 plays a role in tumor dissemination and brain-specific colonization, rather than in subsequent metastatic out-growth. PMID: 28168629
- HAS2 and HAS3 were the only hyaluronan synthases detected, the expression of which was almost similar in NPs and NM. PMID: 26661071
- Molecular docking simulation explains the less favorable binding energy of substrate towards mutant E268K, thereby providing a structural basis for its reduced catalytic activity. PMID: 27424109
- The receiver-operating characteristic curve analyses demonstrated that each one had good sensitivity and specificity for distinguishing BC patients from non-BC ones (HYAL1, miR-210, miR-96, lncRNA-UCA1, 91.5 and ). PMID: 26138586
- Study showed that reduced HYAL1 expression was associated with endometrial carcinoma aggressiveness, which further supported the role of hyaluronan degradation in cancer progression. PMID: 25584766
- Results demonstrated that HYAL1 was C-mannosylated and suggest the possible role of C-mannosylation for secretion and enzymatic activity of HYAL1. PMID: 24820161
- In contrast to the previously described MPS IX patient, our three patients display a phenotype limited to the joints, suggesting that this is the primary manifestation of HYAL1 deficiency. PMID: 21559944
- Upregulation of HYAL1 expression in breast cancer promoted tumor cell proliferation, migration, invasion and angiogenesis. PMID: 21829529
- This is the first report showing high HYAL-1 levels in epithelial ovarian cancer. PMID: 21695196
- HYAL-1 and HAS1 expression predicted BCa metastasis, and HYAL-1 expression also predicted disease-specific survival. PMID: 20960509
- HYAL1 overexpression is correlated with the malignant behavior of breast cancer. PMID: 20473947
- Hyaluronan synthases (HAS1-3) and hyaluronidases (HYAL1-2) in the accumulation of hyaluronan in endometrioid endometrial carcinoma PMID: 20875124
- Overexpression of HYAL1 is associated with colorectal cancer. PMID: 20849597
- The protein products HABP2 and HYAL1 were associated with plasma PAI-1 concentration and play key roles in hyaluronan metabolism, providing genetic evidence to link these pathways. PMID: 20558613
- rhHyal-1 is endocytosed by the liver. PMID: 20572808
- HYAL-1 is a potential prognostic marker for predicting progression to muscle invasion and recurrence in bladder cancer. PMID: 19345473
- Data show that a significant in expression levels of HA synthases (HASs) and hyaluronidases (Hyals) was observed in vitro on stimulation of epithelial ovarian carcinoma cells by gonadotropins. PMID: 20072653
- Characterization of the murine hyaluronidase gene region reveals complex organization and cotranscription of Hyal1 with downstream genes, Fus2 and Hyal3. PMID: 11929860
- Alternative mRNA splicing controls cellular expression of enzymatically active hyaluronidase. PMID: 12084718
- Down-regulation of HYAL1 is associated with small cell lung cancer and glioma PMID: 12684632
- Increased expression of hyaluronidase is associated with head and neck tumors PMID: 12845686
- Hyaluronidase and CD44 hyaluronan receptor are expressed in squamous cell laryngeal carcinoma PMID: 16713680
- Gene silencing of HYAL1 inhibited cell proliferation and induced cell cycle arrest in human breast cancer cells. PMID: 16831275
- HYAL1-v1 transfectants grew 3- to 4-fold slower due to cell cycle arrest in the G(2)-M phase and increased apoptosis. PMID: 17145867
- Purified recombinant Hyal-1 from Drosophila cells was used for the investigation of the inhibitory activity of new ascorbic acid derivatives PMID: 17227790
- further support to altered glycosaminoglycan metabolism (hyaluronan and hyaluronidase blood levels)in type 1 diabetes as a potential mechanism involved in accelerated atherogenesis. PMID: 17415544
- hyaluronan processing by elevated HYAL1 expression in invasive prostate cancer is a requirement for progression. PMID: 17502371
- crystal structure reveals a molecule composed of two closely associated domains: a catalytic domain that adopts a distorted (beta/alpha)8 barrel resembling that of bee venom hyaluronidase, and a novel, EGF-like domain PMID: 17503783
- Hyaluronidase activity is modulated by complexing with various polyelectrolytes including hyaluronan PMID: 18083358
- The expression of HYAL1 in ductal hyperplastic tissues is a strong predictor of subsequent development of invasive breast cancer PMID: 18281563
- Bovine serum albumin competes with human hyalurinodase and thus increases hyaluronidase release resulting in a large increase in the hydrolysis rate. PMID: 18677769
- HYAL-1 expression is epigenetically regulated by the binding of different transcription factors to the methylated and unmethylated HYAL-1 promoter PMID: 18718911
- Down-regulation of RBSP3/CTDSPL, NPRL2/G21, RASSF1A, ITGA9, HYAL1 and HYAL2 genes in non-small cell lung cancer PMID: 19140316
- define key components of Hyal1 active site catalysis, and structural factors critical for stability PMID: 19201751
- HYAL1, but not HYAL2, expression is reduced and correlates with the accumulation of hyaluronan in ovarian carcinomas. PMID: 19435493
- Data showed that the HYAL1 variant exhibited hyaluronan degradation at elevated pH. PMID: 19478093
- Invasive features of ER(-) breast cancer cells can be characterized in vitro by higher secretion of hyaluronidase, higher expression of proteinases MMP-9, cath-D, and the angiogenesis promoting factor VEGF. PMID: 19567141
顯示更多
收起更多
-
相關疾病:Mucopolysaccharidosis 9 (MPS9)
-
亞細胞定位:Secreted. Lysosome.
-
蛋白家族:Glycosyl hydrolase 56 family
-
組織特異性:Highly expressed in the liver, kidney and heart. Weakly expressed in lung, placenta and skeletal muscle. No expression detected in adult brain. Isoform 1 is expressed only in bladder and prostate cancer cells, G2/G3 bladder tumor tissues and lymph node sp
-
數據庫鏈接:
Most popular with customers
-
-
YWHAB Recombinant Monoclonal Antibody
Applications: ELISA, WB, IHC, IF, FC
Species Reactivity: Human, Mouse, Rat
-
Phospho-YAP1 (S127) Recombinant Monoclonal Antibody
Applications: ELISA, WB, IHC
Species Reactivity: Human
-
-
-
-
-















