HTR2B Antibody
-
中文名稱:HTR2B兔多克隆抗體
-
貨號:CSB-PA010888ESR1HU
-
規格:¥440
-
圖片:
-
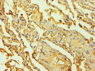
Immunohistochemistry of paraffin-embedded human prostate tissue using CSB-PA010888ESR1HU at dilution of 1:100
-
Immunohistochemistry of paraffin-embedded human lung tissue using CSB-PA010888ESR1HU at dilution of 1:100
-
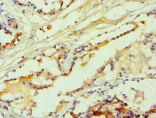
Immunohistochemistry of paraffin-embedded human brain tissue using CSB-PA010888ESR1HU at dilution of 1:100
-
-
其他:
產品詳情
-
產品名稱:Rabbit anti-Homo sapiens (Human) HTR2B Polyclonal antibody
-
Uniprot No.:
-
基因名:
-
別名:HTR2B; 5-hydroxytryptamine receptor 2B; 5-HT-2B; 5-HT2B; Serotonin receptor 2B
-
宿主:Rabbit
-
反應種屬:Human
-
免疫原:Recombinant Human 5-hydroxytryptamine receptor 2B protein (382-481AA)
-
免疫原種屬:Homo sapiens (Human)
-
標記方式:Non-conjugated
-
克隆類型:Polyclonal
-
抗體亞型:IgG
-
純化方式:Antigen Affinity Purified
-
濃度:It differs from different batches. Please contact us to confirm it.
-
保存緩沖液:PBS with 0.02% sodium azide, 50% glycerol, pH7.3.
-
產品提供形式:Liquid
-
應用范圍:ELISA, IHC
-
推薦稀釋比:
Application Recommended Dilution IHC 1:20-1:200 -
Protocols:
-
儲存條件:Upon receipt, store at -20°C or -80°C. Avoid repeated freeze.
-
貨期:Basically, we can dispatch the products out in 1-3 working days after receiving your orders. Delivery time maybe differs from different purchasing way or location, please kindly consult your local distributors for specific delivery time.
-
用途:For Research Use Only. Not for use in diagnostic or therapeutic procedures.
相關產品
靶點詳情
-
功能:G-protein coupled receptor for 5-hydroxytryptamine (serotonin). Also functions as a receptor for various ergot alkaloid derivatives and psychoactive substances. Ligand binding causes a conformation change that triggers signaling via guanine nucleotide-binding proteins (G proteins) and modulates the activity of down-stream effectors. Beta-arrestin family members inhibit signaling via G proteins and mediate activation of alternative signaling pathways. Signaling activates a phosphatidylinositol-calcium second messenger system that modulates the activity of phosphatidylinositol 3-kinase and down-stream signaling cascades and promotes the release of Ca(2+) ions from intracellular stores. Plays a role in the regulation of dopamine and 5-hydroxytryptamine release, 5-hydroxytryptamine uptake and in the regulation of extracellular dopamine and 5-hydroxytryptamine levels, and thereby affects neural activity. May play a role in the perception of pain. Plays a role in the regulation of behavior, including impulsive behavior. Required for normal proliferation of embryonic cardiac myocytes and normal heart development. Protects cardiomyocytes against apoptosis. Plays a role in the adaptation of pulmonary arteries to chronic hypoxia. Plays a role in vasoconstriction. Required for normal osteoblast function and proliferation, and for maintaining normal bone density. Required for normal proliferation of the interstitial cells of Cajal in the intestine.
-
基因功能參考文獻:
- The biological role of 5-HT2B which may act not only as a neurotransmitter receptor. PMID: 29379077
- The 3.0-A resolution structure of a complex between the human 5-hydroxytryptamine 2B (5-HT2B) receptor and an antibody Fab fragment bound to the extracellular side of the receptor reveals the mechanism of selectivity in extracellular recognition of the receptor by monoclonal antibodies. PMID: 28716900
- MFSD2B, CCL20 and STAT1, or STARD7 and ZNF512 genes may be risk or protect factors in prognosis of ADC; HTR2B, DPP4, and TGFBRAP1 genes may be risk factors in prognosis of SQC. PMID: 27301951
- The HTR2B Q20* allele and testosterone predicted lower BMI independently, but an interaction between HTR2B Q20* and testosterone lead to increased insulin sensitivity among HTR2B Q20* carriers with low testosterone levels. PMID: 27420381
- Study describes the crystal structure of Lysergic acid diethylamide (LSD) in complex with the human serotonin receptor 5-HT2B. The complex reveals conformational rearrangements to accommodate LSD, providing a structural explanation for the conformational selectivity of LSD's key diethylamide moiety. PMID: 28129538
- The 5-HT2B receptor may contribute to the regulation of human glucagon and glucose homeostasis and the interplay between glucagon and insulin secretion. PMID: 27437919
- Authors hypothesize that HTR2B expression in the infarcted territory may render degenerating neurons susceptible to attack by activated microglia and thus aggravate the consequences of stroke. PMID: 27013593
- Activation of 5-HT2B receptors stimulates GSIS in beta cells by triggering downstream changes in cellular Ca(2+) flux that enhance mitochondrial metabolism. PMID: 26733006
- the 5-HT2B receptor limits degeneration of spinal cord mononuclear phagocytes, most likely microglia, and slows disease progression in amyotrophic lateral sclerosis PMID: 26744351
- Studies have found that the HTR2B Q20* connected with impulsive behavior and cognitive impulsivity. PMID: 26575222
- Data indicate that hydrogen bonding interactions with Ser3.36 and Thr3.37 were important for isoflurane binding with the 5HT2B receptor. PMID: 24365264
- results of the present study suggest that the HTR2B polymorphism is not likely to be associated with personality traits, including novelty seeking and impulsivity. PMID: 23774082
- a new and unanticipated role of the 5-HT2B receptor N terminus as a negative modulator, affecting both constitutive and agonist-stimulated activity. PMID: 24174497
- study determined the crystal structure of the 5-HT2B receptor bound to ergotamine (ERG) and compared it with the 5-HT1B/ERG structure PMID: 23519215
- Serotonin skews human macrophage polarization through HTR2B and HTR7. PMID: 23355731
- The HTR2B gene may play little or no role in the development of Tourette syndrome. PMID: 22917605
- Genetic variants in HTR2B and TPH1 were not associated with the risk of GDM. PMID: 21836641
- Study confirms expression of transgenic 5-HT2b receptors in astrocytes freshly dissociated from mouse brain, isolated by fluorescence-activated cell sorting (FACS) and investigated in cultured cells. PMID: 20846463
- indicates a role for HTR2B in impulsivity PMID: 21179162
- The 5-HT(2B) receptor plays a key regulatory role in both neuroendocrine tumor cell proliferation and the modulation of the fibroblast component of the neoplastic microenvironment PMID: 20564397
- The serotonin binding site of human and murine 5-HT2B receptors: molecular modeling and site-directed mutagenesis. PMID: 11859080
- the excitatory effects of 5-HT in human colon are mediated by 5-HT(2B) receptors. 5-HT(2B) receptors contribute to the putative 5-HT-induced colonic smooth muscle hypersensitivity associated with irritable bowel syndrome. PMID: 11877320
- Expression in cultured skin cells. PMID: 12767050
- 5-HT2B single nucleotide polymorphisms have significant association with substance-related disorders. PMID: 15608559
- Interactions between AT(1) and 5-HT(2B) receptors coexpressed by noncardiomyocytes are limiting key events in adrenergic agonist-induced, angiotensin-dependent cardiac hypertrophy. PMID: 19023134
顯示更多
收起更多
-
亞細胞定位:Cell membrane; Multi-pass membrane protein. Cell junction, synapse, synaptosome.
-
蛋白家族:G-protein coupled receptor 1 family
-
組織特異性:Ubiquitous. Detected in liver, kidney, heart, pulmonary artery, and intestine. Detected at lower levels in blood, placenta and brain, especially in cerebellum, occipital cortex and frontal cortex.
-
數據庫鏈接:
Most popular with customers
-
-
YWHAB Recombinant Monoclonal Antibody
Applications: ELISA, WB, IHC, IF, FC
Species Reactivity: Human, Mouse, Rat
-
Phospho-YAP1 (S127) Recombinant Monoclonal Antibody
Applications: ELISA, WB, IHC
Species Reactivity: Human
-
-
-
-
-















