HTATIP2 Antibody
-
中文名稱:HTATIP2兔多克隆抗體
-
貨號:CSB-PA863125ESR2HU
-
規格:¥440
-
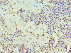
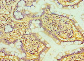
圖片:
-
其他:
產品詳情
-
產品名稱:Rabbit anti-Homo sapiens (Human) HTATIP2 Polyclonal antibody
-
Uniprot No.:
-
基因名:HTATIP2
-
別名:30 kDa HIV 1 TAT interacting protein antibody; 30 kDa HIV-1 TAT-interacting protein antibody; 30 kDa HIV1 TAT interacting protein antibody; CC3 antibody; FLJ26963 antibody; HIV 1 Tat interacting protein 2 30kDa antibody; HIV 1 Tat interacting protein 2 antibody; HIV-1 TAT-interactive protein 2 antibody; HTAI2_HUMAN antibody; HTATIP 2 antibody; HTATIP2 antibody; Oxidoreductase HTATIP2 antibody; SDR44U1 antibody; Short chain dehydrogenase/reductase family 44U member 1 antibody; Tat interacting protein (30kDa) antibody
-
宿主:Rabbit
-
反應種屬:Human
-
免疫原:Recombinant Human Oxidoreductase HTATIP2 protein (1-230AA)
-
免疫原種屬:Homo sapiens (Human)
-
標記方式:Non-conjugated
-
克隆類型:Polyclonal
-
抗體亞型:IgG
-
純化方式:Antigen Affinity Purified
-
濃度:It differs from different batches. Please contact us to confirm it.
-
保存緩沖液:PBS with 0.02% sodium azide, 50% glycerol, pH7.3.
-
產品提供形式:Liquid
-
應用范圍:ELISA, IHC
-
推薦稀釋比:
Application Recommended Dilution IHC 1:20-1:200 -
Protocols:
-
儲存條件:Upon receipt, store at -20°C or -80°C. Avoid repeated freeze.
-
貨期:Basically, we can dispatch the products out in 1-3 working days after receiving your orders. Delivery time maybe differs from different purchasing way or location, please kindly consult your local distributors for specific delivery time.
-
用途:For Research Use Only. Not for use in diagnostic or therapeutic procedures.
相關產品
靶點詳情
-
功能:Oxidoreductase required for tumor suppression. NAPDH-bound form inhibits nuclear import by competing with nuclear import substrates for binding to a subset of nuclear transport receptors. May act as a redox sensor linked to transcription through regulation of nuclear import. Isoform 1 is a metastasis suppressor with proapoptotic as well as antiangiogenic properties. Isoform 2 has an antiapoptotic effect.
-
基因功能參考文獻:
- These results suggest that TIP30, as a tumor suppressor in the bladder cancer, might be served as a target in cancer therapies in the future. PMID: 30249892
- Binding of HIV1 Tat to TIP30 enhanced epithelial-to-mesenchymal transition and metastasis by regulating the nuclear translocation of Snail. PMID: 30099830
- Cholangiocarcinoma patients who had high methylation of HTATIP2 and low methylation of UCHL1 showed longer overall survival than those with low HTATIP2 methylation and high UCHL1 methylation. PMID: 29359783
- the results suggest that downregulation of TIP30 may result from HBV infection, and subsequently promotes the progression of HCC. PMID: 27418384
- TIP30 expression is associated with a good prognosis in patients with tumors. PMID: 28036326
- these data suggest that positive MCM2 and negative TIP30 expression are closely correlated with the clinical, pathological and biological parameters, in addition to poor prognosis in patients with gallbladder cancer. PMID: 27748889
- The results of the present study indicated that TIP30 may suppress oncogenesis and glioma progression, thereby improving the prognosis of patients with glioma. PMID: 26718891
- combination of sorafenib and metformin inhibits proliferation and invasion in vitro, prolongs median survival, and reduces lung metastasis of HCC in vivo. This effect is closely associated with the upregulation of TIP30 PMID: 26752068
- Increased HMGB1 and cleaved caspase-3 stimulate the proliferation of tumor cells and are correlated with the poor prognosis in colorectal cancer PMID: 25986235
- Data iindicate TIP30 was a marker in predicting the prognosis of esophageal squamous cell carcinoma (ESCC). PMID: 25544767
- the present study showed that loss of HTATIP2 expression was a frequent event in glioma and is associated with poor prognosis. PMID: 25617528
- The results suggest a novel and critical role of TIP30 involved in hepatocellular carcinoma progression and aggressiveness. PMID: 24681951
- Meta-analysis suggests that the rs2230199 C/G, rs1047286 C/T, rs11569536 G/A and rs2250656 A/G SNPs in the CC3 gene may be associated with age-related macular degeneration risk. PMID: 25688879
- The combination of HTATIP2 and MVD predicts the converse survival of HCC with or without sorafenib intervention. PMID: 25008315
- miR-10b promotes pancreatic cancer cell proliferation and invasion by suppressing TIP30. PMID: 24096486
- TIP30-induced downregulation of cyclin D1 transcription antagonizes EGFR signaling and suppresses tumorigenesis PMID: 25135222
- Decreased TIP30 expression is associated with pancreatic cancer. PMID: 24037692
- We demonstrated the potential role of HTATIP2/TIP30 in ovarian cancer for the first time, thereby enlightening future studies targeting HTATIP2/TIP30 in ovarian cancer treatment, diagnosis, and prevention. PMID: 23800048
- TIP30 binds to the DNA-binding domain and the C-terminal domain of p53 PMID: 23178973
- The loss of CC3/TIP30 is related to occurrence and development in breast cancer, suggesting early onset of metastasis and recurrence. PMID: 22490293
- TIP30 acts as a crucial regulator in suppressing cytoplasmic and nuclear EGFR signaling in the lung.TIP30 functions as a tumor suppressor to inhibit EGFR cytoplasmic and nuclear signaling and suppress adenocarcinogenesis in the lung. PMID: 22733137
- overexpression of MCM2 or loss of expression of Tat-interacting protein 30 is closely related to carcinogenesis, progression, biological behavior, and prognosis of gallbladder adenocarcinoma. PMID: 21543106
- The TIP30 complex facilitates biological membrane fusion through modification of phosphatidic acid on membranes. PMID: 21731680
- TIP30 complex regulates EGFR endocytosis by facilitating the transport of V-ATPases from trans-Golgi network to early endosomes. PMID: 21252234
- Data suggest that metabolic flexibility acquired by cells after silencing of CC3 could be directly relevant to the development of metastatic and aggressive human tumors that frequently have low or absent expression of CC3. PMID: 21150275
- These results demonstrate that promoter methylation is involved in the decreased expression of TIP30 tumor suppressor gene in human colorectal carcinoma. PMID: 19798571
- Excess of cellular CC3 has a significant negative effect on DNA repair after UV and oxidant exposure, while silencing of endogenous CC3 slightly delays repair of UV-induced damage. PMID: 20374651
- we examine the pathophysiological nature of remyelination failure in chronic multiple sclerosis and discuss the role of TIP30 as a novel therapeutic target--review PMID: 19839715
- TIP30 interacts with an estrogen receptor alpha-interacting coactivator CIA and regulates ERalpha-mediated c-myc transcription. PMID: 15073177
- These data indicate that shear-induced VWF binding to platelet GpIb-IX-V activates Pyk2, ERK1/2, p38, and cPLA2. PMID: 15493507
- TIP30 predisposes hepatoblastoma cells to apoptosis through regulating expression levels of these genes. PMID: 15633220
- Finally, two inhibitors of cyclin-dependent kinase 9 (a dominant negative CDK9 and flavopiridol) repressed activity from the MR and BMPR2 promoters PMID: 16615932
- Overexpression of TIP30 might be a promising candidate as a treatment for HCC that would increase sensitivity to chemotherapeutic drugs. PMID: 16799960
- Data supported the theory that the expression of TIP30/CC3 had a suppressive function on tumor metastasis, and the decrease in expression of TIP30/CC3 is related to metastasis and may represent a new prognosticator in breast carcinoma. PMID: 17097132
- Translocation of Bax was essential for TIP30-induced apoptosis, whereas overexpression of the anti-apoptotic protein Bcl-xL delayed both second mitochondria-derived activator of caspases (Smac/DIABLO) release and onset of apoptosis. PMID: 17997990
- results suggest that TIP30 is involved in cellular oxidative stress surveillance and induces apoptosis through stabilization of p53 mRNA in hepatocellular carcinoma cells PMID: 18519672
- TIP30 plays a role in prostate cancer progression and that TIP30 overexpression may promote prostate cancer cell growth and metastasis. PMID: 18528861
- Novel pathway by which OPN and possibly other Ets-1 target genes involved in tumor metastasis are regulated by TIP30. Mechanism for metastasis promoted by TIP30 deficiency. PMID: 18537194
- a novel function of TIP30, which can possibly be used as an independent prognostic factor and a potential therapeutic target for gastric cancer. PMID: 18972434
- epigenetic silencing of Tip30 gene expression by CpG island DNA hypermethylation is associated with poor prognosis in patients with HCC PMID: 19010857
- Data suggest that oligodendrocyte precursor cells are pathogenic in multiple sclerosis and their nucleocytoplasmic transport is impaired due to abnormally upregulated TIP30. PMID: 19104151
- Decreased TIP30 expression promotes tumor metastasis in lung cancer. PMID: 19349353
顯示更多
收起更多
-
亞細胞定位:Cytoplasm. Nucleus envelope.
-
組織特異性:Ubiquitous. Highest level in liver. High levels in lung, skeletal muscle, pancreas and placenta. Moderate levels in heart and kidney. Low levels in brain. Not expressed or low levels in variant small cell lung carcinomas, 33% of hepatocellular carcinomas
-
數據庫鏈接:
Most popular with customers
-
-
YWHAB Recombinant Monoclonal Antibody
Applications: ELISA, WB, IHC, IF, FC
Species Reactivity: Human, Mouse, Rat
-
Phospho-YAP1 (S127) Recombinant Monoclonal Antibody
Applications: ELISA, WB, IHC
Species Reactivity: Human
-
-
-
-
-















