HSD3B7 Antibody
-
中文名稱:HSD3B7兔多克隆抗體
-
貨號:CSB-PA919270
-
規格:¥1100
-
圖片:
-
The image on the left is immunohistochemistry of paraffin-embedded Human thyroid cancer tissue using CSB-PA919270(HSD3B7 Antibody) at dilution 1/40, on the right is treated with fusion protein. (Original magnification: ×200)
-
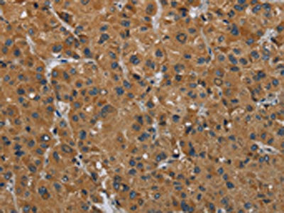
The image on the left is immunohistochemistry of paraffin-embedded Human liver cancer tissue using CSB-PA919270(HSD3B7 Antibody) at dilution 1/40, on the right is treated with fusion protein. (Original magnification: ×200)
-
Gel: 8%SDS-PAGE, Lysate: 40 μg, Lane: Skov3 cells, Primary antibody: CSB-PA919270(HSD3B7 Antibody) at dilution 1/400, Secondary antibody: Goat anti rabbit IgG at 1/8000 dilution, Exposure time: 10 seconds
-
-
其他:
產品詳情
-
Uniprot No.:
-
基因名:HSD3B7
-
別名:HSD3B7; 3 beta-hydroxysteroid dehydrogenase type 7; 3 beta-hydroxysteroid dehydrogenase type VII; 3-beta-HSD VII; 3-beta-hydroxy-Delta(5-C27 steroid oxidoreductase; C(27 3-beta-HSD; Cholest-5-ene-3-beta,7-alpha-diol 3-beta-dehydrogenase
-
宿主:Rabbit
-
反應種屬:Human,Mouse,Rat
-
免疫原:Fusion protein of Human HSD3B7
-
免疫原種屬:Homo sapiens (Human)
-
標記方式:Non-conjugated
-
抗體亞型:IgG
-
純化方式:Antigen affinity purification
-
濃度:It differs from different batches. Please contact us to confirm it.
-
保存緩沖液:-20°C, pH7.4 PBS, 0.05% NaN3, 40% Glycerol
-
產品提供形式:Liquid
-
應用范圍:ELISA,WB,IHC
-
推薦稀釋比:
Application Recommended Dilution ELISA 1:2000-1:5000 WB 1:500-1:2000 IHC 1:50-1:200 -
Protocols:
-
儲存條件:Upon receipt, store at -20°C or -80°C. Avoid repeated freeze.
-
貨期:Basically, we can dispatch the products out in 1-3 working days after receiving your orders. Delivery time maybe differs from different purchasing way or location, please kindly consult your local distributors for specific delivery time.
-
用途:For Research Use Only. Not for use in diagnostic or therapeutic procedures.
相關產品
靶點詳情
-
功能:The 3-beta-HSD enzymatic system plays a crucial role in the biosynthesis of all classes of hormonal steroids. HSD VII is active against four 7-alpha-hydroxylated sterols. Does not metabolize several different C(19/21) steroids as substrates. Involved in bile acid synthesis. Plays a key role in cell positioning and movement in lymphoid tissues by mediating degradation of 7-alpha,25-dihydroxycholesterol (7-alpha,25-OHC): 7-alpha,25-OHC acts as a ligand for the G protein-coupled receptor GPR183/EBI2, a chemotactic receptor for a number of lymphoid cells.
-
基因功能參考文獻:
- Novel Mutations in the 3beta-hydroxy-5-C27-steroid Dehydrogenase Gene (HSD3B7) in a Patient with Neonatal Cholestasis. PMID: 26712441
- Expression of steroid sulfated transporters and 3beta-HSD activity in endometrium of polycystic ovary syndrome PMID: 26450365
- Homozygosity mapping identifies a bile acid biosynthetic defect (3beta-HSD deficiency due to a frameshift mutation in HSD3B7) in an adult with cirrhosis of unknown etiology. PMID: 22095780
- Mutations in the HSD3B7 gene account for autosomal recessive neonatal cholestasis caused by 3[beta]-hydroxy-[DELTA]5-C27-steroid dehydrogenase/isomerase deficiency. PMID: 20531254
-
相關疾病:Congenital bile acid synthesis defect 1 (CBAS1)
-
亞細胞定位:Endoplasmic reticulum membrane; Multi-pass membrane protein.
-
蛋白家族:3-beta-HSD family
-
數據庫鏈接:
Most popular with customers
-
-
YWHAB Recombinant Monoclonal Antibody
Applications: ELISA, WB, IHC, IF, FC
Species Reactivity: Human, Mouse, Rat
-
Phospho-YAP1 (S127) Recombinant Monoclonal Antibody
Applications: ELISA, WB, IHC
Species Reactivity: Human
-
-
-
-
-















