HSD17B2 Antibody
-
中文名稱:HSD17B2兔多克隆抗體
-
貨號:CSB-PA010772ESR1HU
-
規格:¥440
-
圖片:
-
其他:
產品詳情
-
產品名稱:Rabbit anti-Homo sapiens (Human) HSD17B2 Polyclonal antibody
-
Uniprot No.:
-
基因名:HSD17B2
-
別名:HSD17B2; EDH17B2; SDR9C2; 17-beta-hydroxysteroid dehydrogenase type 2; 17-beta-HSD 2; 20 alpha-hydroxysteroid dehydrogenase; 20-alpha-HSD; E2DH; Estradiol 17-beta-dehydrogenase 2; Microsomal 17-beta-hydroxysteroid dehydrogenase; Short chain dehydrogenase/reductase family 9C member 2; Testosterone 17-beta-dehydrogenase
-
宿主:Rabbit
-
反應種屬:Human
-
免疫原:Recombinant Human Estradiol 17-beta-dehydrogenase 2 protein (118-387AA)
-
免疫原種屬:Homo sapiens (Human)
-
標記方式:Non-conjugated
-
克隆類型:Polyclonal
-
抗體亞型:IgG
-
純化方式:Antigen Affinity Purified
-
濃度:It differs from different batches. Please contact us to confirm it.
-
保存緩沖液:PBS with 0.02% sodium azide, 50% glycerol, pH7.3.
-
產品提供形式:Liquid
-
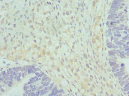
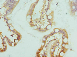
應用范圍:ELISA, IHC
-
推薦稀釋比:
Application Recommended Dilution IHC 1:20-1:200 -
Protocols:
-
儲存條件:Upon receipt, store at -20°C or -80°C. Avoid repeated freeze.
-
貨期:Basically, we can dispatch the products out in 1-3 working days after receiving your orders. Delivery time maybe differs from different purchasing way or location, please kindly consult your local distributors for specific delivery time.
-
用途:For Research Use Only. Not for use in diagnostic or therapeutic procedures.
相關產品
靶點詳情
-
功能:Capable of catalyzing the interconversion of testosterone and androstenedione, as well as estradiol and estrone. Also has 20-alpha-HSD activity. Uses NADH while EDH17B3 uses NADPH.
-
基因功能參考文獻:
- ATRA treatment decreased the mRNA expression of 17-beta-dehydrogenase 2 (HSD17B2) which converts estradiol into estrone in a dose-dependent manner PMID: 26228249
- Our findings suggested that CYP19A1 and HSD17B2 polymorphisms might be associated with circulating sex hormone levels in Japanese postmenopausal women, independent of current BMI. PMID: 26323233
- Data indicate that conversion of testosterone to 4-dione detected in abdominal adipose tissue is caused by 17b-HSD type 2 which is localized in the vasculature of the adipose compartment. PMID: 26123590
- This study demonstrated that HSD17B2 transcript and protein levels are linked to some clinicopathological features in gastric cancer. PMID: 25776474
- In both arm and subumbilical skin biopsy of patients with idiopathic hirsutism, there was an up-regulation of HSD17B2 mRNA expression. PMID: 26194504
- Single nucleotide polymorphism in HSD17B2 gene is associated with hepatocellular carcinoma. PMID: 24563232
- This study identified specific germline variations in estradiol metabolism-related pathways, namely CYP1B1, SULT2B1, and HSD17B2, as novel prognostic markers that are cumulatively associated with increased risk of prostate cancer progression PMID: 24682418
- SNP variants in the 17beta-HSD2 and 17beta-HSD7 genes and 17beta-HSD7 copy number is associated with increased estradiol levels in breast cancer tissues. PMID: 24560990
- overexpression of 17beta-HSD2 in sebocytes significantly increased the androstenedione production and markedly decreased the amounts of testosterone and dihydrotestosterone PMID: 24938708
- no significant difference in the genotype and allele frequencies of rs8191246 between uterine leiomyoma cases and controls PMID: 22546946
- Single-nucleotide polymorphisms in HSD17B2, HSD17B3 and HSD17B1 are associated with plasma testosterone level and prostate cancer aggressiveness. PMID: 21900597
- Data indicate that 17betaHSD2 expression is higher in HUAEC than in HUVEC; activity is higher in umbilical arteries near the placenta. These data are consistent with higher sex steroid inactivation in the arterial system of the foeto-placental unit. PMID: 21877158
- Data show that steroidogenic enzymes (AKR1C3, HSD17B2, UGT2B15 and UGT2B17) and stem/progenitor cell markers CK5 and ABCG2 were upregulated in castration resistant prostate cancer. PMID: 21365123
- Purification, reconstitution, and steady-state kinetics of the trans-membrane 17 beta-hydroxysteroid dehydrogenase 2. PMID: 11940569
- Androgen inactivation in human lung fibroblasts: variations in levels of 17 beta-hydroxysteroid dehydrogenase type 2 PMID: 12161528
- the lower expression of type 2 17 beta-HSD mRNA in scalp hairs of untreated hirsute patients suggests androgen metabolism disturbances with predominance of more potent androgens PMID: 12957669
- 17HSD type 2 mRNA expression in gastric mucosa of children compared to adults may be associated with increased need for protection against the mucosal load of foreign substances. The downregulation may have relevance in the pathogenesis of gastric cancer. PMID: 14666693
- Aromatase mRNA was higher in epithelial than in stromal cells in eutopic and ectopic endometrium in endometriosis. 17betaHSD2 in epithelial cells was increased during secretory phases compared with late proliferative phase. PMID: 16595205
- HSD17B2 expression in endometrial epithelial cells, and, therefore, estrogen inactivation, is regulated by SP1 and SP3, which are downstream targets of progesterone-dependent paracrine signals originating from endometrial stromal cells. PMID: 16807381
- importance of 17HSD type 2 in breast cancer- cell lines & non-tumour breast cells; high or low expression of 17HSD type 2 affected oestradiol concentration significantly; response was dependent on endogenous expression of 17HSD type 1 PMID: 16954436
- Previously unknown polymorphism was found in exon four of HSD17B2. Polymorphism does not contribute to a higher risk of developing breast cancer. PMID: 17260097
- The expression of 17beta-hydroxysteroid dehydrogenase type 2 (17beta-HSD2) in eutopic and ectopic endometrial tissues of women with endometriosis is reported. PMID: 17505937
- role for HSD17B2 in the action of retinoids, in addition to its oxidative HSD17B activity on sex steroids PMID: 17510238
- Data reported that a similar level of 17beta-hydroxysteroid dehydrogenase type 2 mRNA was found in Polycystic Ovary Syndrome and the control tissues. PMID: 17953976
- Overexpression in African-American breast cancer may contribute to the increased proportion of estrogen receptor-negative breast cancers and worse clinical outcome among African-American patients. PMID: 17993718
- The bone development in transgenic male mice ubiquitously expressing human HSD17B2, was studied. PMID: 18348690
- HSD17B2 germline mutations potentially involved in breast cancer predisposition. PMID: 18372405
- 17beta-HSD type 2 was expressed in 20% of breast cancer specimens. decrease in 17beta-HSD type 2 expressions in breast cancer may play a role in the development &/or progression of cancer by modifying the intratumoral levels of estrogens & androgens. PMID: 18996480
- preference of 17betaHSD2 for E2 oxidation strongly resists alteration by genetic & metabolic means. Findings suggest additional structural features, beyond lack of a specific Arg residue, disfavor NADPH binding & thus support E2 oxidation by 17betaHSD2 PMID: 19556422
- BRCA1 and HSD17B2 genes may increase the risk of developing breast cancer via enhanced estradiol activity. PMID: 19729830
- HSD17B2 modulates estrogen-independent and estrogen-dependent action in transgenic female mice. PMID: 19797119
- HSD17B2 mRNA is expressed in human skin, at higher levels in men than in women. Expression levels vary with skin sites. HSD17B2 levels are not altered by topical 17-beta-estradiol treatment. PMID: 18794456
顯示更多
收起更多
-
亞細胞定位:Membrane; Single-pass type II membrane protein.
-
蛋白家族:Short-chain dehydrogenases/reductases (SDR) family
-
組織特異性:Expressed in placenta.
-
數據庫鏈接:
Most popular with customers
-
-
YWHAB Recombinant Monoclonal Antibody
Applications: ELISA, WB, IHC, IF, FC
Species Reactivity: Human, Mouse, Rat
-
Phospho-YAP1 (S127) Recombinant Monoclonal Antibody
Applications: ELISA, WB, IHC
Species Reactivity: Human
-
-
-
-
-















