HRASLS2 Antibody
-
中文名稱:HRASLS2兔多克隆抗體
-
貨號:CSB-PA159201
-
規格:¥1100
-
圖片:
-
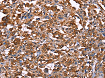
The image on the left is immunohistochemistry of paraffin-embedded Human liver cancer tissue using CSB-PA159201(HRASLS2 Antibody) at dilution 1/40, on the right is treated with synthetic peptide. (Original magnification: ×200)
-
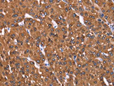
The image on the left is immunohistochemistry of paraffin-embedded Human thyroid cancer tissue using CSB-PA159201(HRASLS2 Antibody) at dilution 1/40, on the right is treated with synthetic peptide. (Original magnification: ×200)
-
Gel: 10%SDS-PAGE, Lysate: 40 μg, Lane 1-3: Mouse kidney tissue, Mouse liver tissue, human fetal liver tissue, Primary antibody: CSB-PA159201(HRASLS2 Antibody) at dilution 1/362.5, Secondary antibody: Goat anti rabbit IgG at 1/8000 dilution, Exposure time: 40 seconds
-
-
其他:
產品詳情
-
Uniprot No.:
-
基因名:HRASLS2
-
別名:PLAAT2 antibody; HRASLS2 antibody; Phospholipase A and acyltransferase 2 antibody; EC 2.3.1.- antibody; EC 3.1.1.32 antibody; EC 3.1.1.4 antibody; HRAS-like suppressor 2 antibody
-
宿主:Rabbit
-
反應種屬:Human,Mouse
-
免疫原:Synthetic peptide of Human HRASLS2
-
免疫原種屬:Homo sapiens (Human)
-
標記方式:Non-conjugated
-
抗體亞型:IgG
-
純化方式:Antigen affinity purification
-
濃度:It differs from different batches. Please contact us to confirm it.
-
保存緩沖液:-20°C, pH7.4 PBS, 0.05% NaN3, 40% Glycerol
-
產品提供形式:Liquid
-
應用范圍:ELISA,WB,IHC
-
推薦稀釋比:
Application Recommended Dilution ELISA 1:2000-1:10000 WB 1:200-1:1000 IHC 1:100-1:300 -
Protocols:
-
儲存條件:Upon receipt, store at -20°C or -80°C. Avoid repeated freeze.
-
貨期:Basically, we can dispatch the products out in 1-3 working days after receiving your orders. Delivery time maybe differs from different purchasing way or location, please kindly consult your local distributors for specific delivery time.
-
用途:For Research Use Only. Not for use in diagnostic or therapeutic procedures.
相關產品
靶點詳情
-
功能:Exhibits both phospholipase A1/2 and acyltransferase activities. Shows phospholipase A1 (PLA1) and A2 (PLA2) activity, catalyzing the calcium-independent release of fatty acids from the sn-1 or sn-2 position of glycerophospholipids. For most substrates, PLA1 activity is much higher than PLA2 activity. Shows O-acyltransferase activity, catalyzing the transfer of a fatty acyl group from glycerophospholipid to the hydroxyl group of lysophospholipid. Shows N-acyltransferase activity, catalyzing the calcium-independent transfer of a fatty acyl group at the sn-1 position of phosphatidylcholine (PC) and other glycerophospholipids to the primary amine of phosphatidylethanolamine (PE), forming N-acylphosphatidylethanolamine (NAPE), which serves as precursor for N-acylethanolamines (NAEs). Catalyzes N-acylation of PE using both sn-1 and sn-2 palmitoyl groups of PC as acyl donor. Exhibits high phospholipase A1/2 activity and low N-acyltransferase activity.
-
基因功能參考文獻:
- Data show that acyl-modified forms of HRAS-like tumor suppressors HRASLS2 and HRASLS3 mimicking lipolytic activity of lecithin retinol acyltransferase LRAT. PMID: 22605381
- HRASLS2 protein suppressed growth and RAS activities of cancer cells, and the C-terminal hydrophobic domain appeared to be indispensable for both activities. PMID: 18163183
- The tumor suppressors TIG3, HRASLS2 and H-rev107 are involved in the phospholipid metabolism with different physiological roles. PMID: 19615464
-
亞細胞定位:Cytoplasm. Membrane; Single-pass membrane protein.
-
蛋白家族:H-rev107 family
-
組織特異性:Expressed in liver, kidney, small intestine testis and colon. Undetectable in testis, placenta, salivary gland and fetal brain.
-
數據庫鏈接:
Most popular with customers
-
-
YWHAB Recombinant Monoclonal Antibody
Applications: ELISA, WB, IHC, IF, FC
Species Reactivity: Human, Mouse, Rat
-
-
-
-
-
-
VDAC1 Recombinant Monoclonal Antibody
Applications: ELISA, WB, IHC
Species Reactivity: Human, Mouse, Rat















