HOXB3 Antibody
-
中文名稱:HOXB3兔多克隆抗體
-
貨號:CSB-PA010663LA01HU
-
規格:¥440
-
圖片:
-
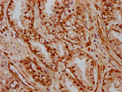
IHC image of CSB-PA010663LA01HU diluted at 1:600 and staining in paraffin-embedded human prostate cancer performed on a Leica BondTM system. After dewaxing and hydration, antigen retrieval was mediated by high pressure in a citrate buffer (pH 6.0). Section was blocked with 10% normal goat serum 30min at RT. Then primary antibody (1% BSA) was incubated at 4°C overnight. The primary is detected by a biotinylated secondary antibody and visualized using an HRP conjugated SP system.
-
-
其他:
產品詳情
-
產品名稱:Rabbit anti-Homo sapiens (Human) HOXB3 Polyclonal antibody
-
Uniprot No.:
-
基因名:HOXB3
-
別名:Homeo box 2G antibody; Homeo box B3 antibody; Homeobox B3 antibody; Homeobox protein Hox-2.7 antibody; Homeobox protein Hox-2G antibody; Homeobox protein Hox-B3 antibody; Homeobox protein HoxB3 antibody; Hox 2.7 antibody; HOX 2G antibody; HOX2 antibody; Hox2.7 antibody; HOX2G antibody; HOXB3 antibody; HXB3_HUMAN antibody
-
宿主:Rabbit
-
反應種屬:Human
-
免疫原:Recombinant Human Homeobox protein Hox-B3 protein (315-423AA)
-
免疫原種屬:Homo sapiens (Human)
-
標記方式:Non-conjugated
本頁面中的產品,HOXB3 Antibody (CSB-PA010663LA01HU),的標記方式是Non-conjugated。對于HOXB3 Antibody,我們還提供其他標記。見下表:
-
克隆類型:Polyclonal
-
抗體亞型:IgG
-
純化方式:>95%, Protein G purified
-
濃度:It differs from different batches. Please contact us to confirm it.
-
保存緩沖液:Preservative: 0.03% Proclin 300
Constituents: 50% Glycerol, 0.01M PBS, pH 7.4 -
產品提供形式:Liquid
-
應用范圍:ELISA, IHC
-
推薦稀釋比:
Application Recommended Dilution IHC 1:500-1:1000 -
Protocols:
-
儲存條件:Upon receipt, store at -20°C or -80°C. Avoid repeated freeze.
-
貨期:Basically, we can dispatch the products out in 1-3 working days after receiving your orders. Delivery time maybe differs from different purchasing way or location, please kindly consult your local distributors for specific delivery time.
-
用途:For Research Use Only. Not for use in diagnostic or therapeutic procedures.
相關產品
靶點詳情
-
功能:Sequence-specific transcription factor which is part of a developmental regulatory system that provides cells with specific positional identities on the anterior-posterior axis.
-
基因功能參考文獻:
- Data indicate a miR-375-HOXB3-CDCA3/DNMT3B regulatory circuitry which contributes to leukemogenesis and suggest a therapeutic strategy of restoring miR-375 expression in Acute myeloid leukemia (AML). PMID: 29439669
- HOXB3 is degraded by miR-375 in breast cancer cells.HOXB3 plays role in tamoxifen resistance. PMID: 28075453
- miR-10b might control cell apoptosis, proliferation, migration, and invasion in endometrial cancer via regulation of HOXB3 expression. PMID: 27447302
- decreased methylation at HOXB3 and HOXB4 was associated with increased gene expression of both HOXB genes specific to the mid-risk AML, while increased DNA methylation at DCC distinctive to the high-risk AML was associated with increased gene expression PMID: 25996682
- describe familial cases of TH in two generations (proband and his father), in addition to other two sporadic cases. We have found polymorphisms in the HOXB3, HOXD3, and a new synonymous variant, and PITX2 genes PMID: 24127533
- HoxB3 promote prostate cancer progression by upregulating CDCA3 expression. PMID: 23219899
- The HOXb3 was only weakly expressed in the inv(7) positive patients. PMID: 15674412
- RASSF1A silencing strongly correlates with overexpression of HOXB3 and DNMT3B. PMID: 19854132
顯示更多
收起更多
-
亞細胞定位:Nucleus.
-
蛋白家族:Antp homeobox family
-
數據庫鏈接:
Most popular with customers
-
-
YWHAB Recombinant Monoclonal Antibody
Applications: ELISA, WB, IHC, IF, FC
Species Reactivity: Human, Mouse, Rat
-
Phospho-YAP1 (S127) Recombinant Monoclonal Antibody
Applications: ELISA, WB, IHC
Species Reactivity: Human
-
-
-
-
-















