HOXB1 Antibody
-
中文名稱:HOXB1兔多克隆抗體
-
貨號:CSB-PA064404
-
規格:¥1100
-
圖片:
-
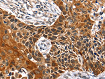
The image on the left is immunohistochemistry of paraffin-embedded Human cervical cancer tissue using CSB-PA064404(HOXB1 Antibody) at dilution 1/40, on the right is treated with fusion protein. (Original magnification: ×200)
-
The image on the left is immunohistochemistry of paraffin-embedded Human esophagus cancer tissue using CSB-PA064404(HOXB1 Antibody) at dilution 1/40, on the right is treated with fusion protein. (Original magnification: ×200)
-
-
其他:
產品詳情
-
Uniprot No.:
-
基因名:
-
別名:HCFP3 antibody; Homeo box 2I antibody; Homeo box B1 antibody; Homeobox 2I antibody; Homeobox B1 antibody; Homeobox protein Hox B1 antibody; Homeobox protein Hox-2I antibody; Homeobox protein Hox-B1 antibody; Homeobox protein HoxB1 antibody; Homeobox2I antibody; HomeoboxB1 antibody; HOX 2 antibody; Hox 2.9 antibody; HOX 2I antibody; HOX B1 antibody; HOX2 antibody; Hox2.9 antibody; HOX2I antibody; HOXB 1 antibody; HOXB1 antibody; HOXB1 protein antibody; HXB1_HUMAN antibody; MGC116843 antibody; MGC116844 antibody; MGC116845 antibody
-
宿主:Rabbit
-
反應種屬:Human
-
免疫原:Fusion protein of Human HOXB1
-
免疫原種屬:Homo sapiens (Human)
-
標記方式:Non-conjugated
-
抗體亞型:IgG
-
純化方式:Antigen affinity purification
-
濃度:It differs from different batches. Please contact us to confirm it.
-
保存緩沖液:-20°C, pH7.4 PBS, 0.05% NaN3, 40% Glycerol
-
產品提供形式:Liquid
-
應用范圍:ELISA,IHC
-
推薦稀釋比:
Application Recommended Dilution ELISA 1:1000-1:5000 IHC 1:40-1:150 -
Protocols:
-
儲存條件:Upon receipt, store at -20°C or -80°C. Avoid repeated freeze.
-
貨期:Basically, we can dispatch the products out in 1-3 working days after receiving your orders. Delivery time maybe differs from different purchasing way or location, please kindly consult your local distributors for specific delivery time.
-
用途:For Research Use Only. Not for use in diagnostic or therapeutic procedures.
相關產品
靶點詳情
-
功能:Sequence-specific transcription factor which is part of a developmental regulatory system that provides cells with specific positional identities on the anterior-posterior axis. Acts on the anterior body structures.
-
基因功能參考文獻:
- This is the first disease-associated HOXB1 mutation with a likely loss-of-function effect suggesting that all HOXB1 variants reported so far also have severe impact on activity of this transcriptional regulator PMID: 27144914
- findings revealed a novel homozygous mutation p.Arg230Trp (c.688C>T) within the HOXB1 gene of three members of a Turkish family with hereditary congenital facial paresis (HCFP3) PMID: 27640920
- HOXB1 functions as a tumor suppressor, regulated by miR-3175 in glioma. PMID: 26565624
- The resulting phenotype includes bilateral facial palsy, hearing loss, and strabismus and correlates extensively with the previously reported Hoxb1(-/-) mouse phenotype. PMID: 22770981
- Hoxb1 Expression Induces Cell Fate Changes in the Trunk Neural Tube. PMID: 21433221
- analysis of a tethered-hopping model for protein-DNA binding and unbinding based on Sox2-Oct1-Hoxb1 ternary complex simulations PMID: 20371328
- Data show that inducible Hox genes are selectively sensitive to the inhibition of actin polymerization and that actin polymerization is required for the assembly of a transcription complex on the regulatory region of the Hox genes. PMID: 19477923
- It is unlikely that HoxB1 plays a significant role in the genetic predisposition to autism. PMID: 11840501
- UTX directly binds to the HOXB1 locus and is required for its activation PMID: 17713478
- HoxB1 interacts with Pax6 and enhances its transcriptional activity. This interaction was modeled on a demonstrated interaction between zebrafish Pax6 and human HoxB1. PMID: 11069920
顯示更多
收起更多
-
相關疾病:Facial paresis, hereditary congenital, 3 (HCFP3)
-
亞細胞定位:Nucleus.
-
蛋白家族:Antp homeobox family, Labial subfamily
-
數據庫鏈接:
Most popular with customers
-
-
YWHAB Recombinant Monoclonal Antibody
Applications: ELISA, WB, IHC, IF, FC
Species Reactivity: Human, Mouse, Rat
-
Phospho-YAP1 (S127) Recombinant Monoclonal Antibody
Applications: ELISA, WB, IHC
Species Reactivity: Human
-
-
-
-
-















