HOXA9 Antibody
-
中文名稱:HOXA9兔多克隆抗體
-
貨號:CSB-PA010658DSR2HU
-
規格:¥440
-
圖片:
-
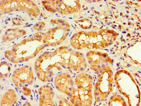
Immunohistochemistry of paraffin-embedded human kidney tissue using CSB-PA010658DSR2HU at dilution of 1:100
-
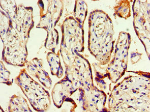
Immunohistochemistry of paraffin-embedded human placenta tissue using CSB-PA010658DSR2HU at dilution of 1:100
-
Immunofluorescent analysis of PC-3 cells using CSB-PA010658DSR2HU at dilution of 1:100 and Alexa Fluor 488-congugated AffiniPure Goat Anti-Rabbit IgG(H+L)
-
-
其他:
產品詳情
-
產品名稱:Rabbit anti-Homo sapiens (Human) HOXA9 Polyclonal antibody
-
Uniprot No.:
-
基因名:HOXA9
-
別名:ABD-B antibody; Abd-B; drosophila; homolog of antibody; D6a9 antibody; Homeobox 1G antibody; Homeobox A9 antibody; Homeobox protein Hox-1.7 antibody; Homeobox protein Hox-1G antibody; Homeobox protein Hox-A9 antibody; Homeodomain protein HOXA9 antibody; Hox-1.7 antibody; Hox-1.7; mouse; homolog of antibody; HOX1 antibody; Hox1.7 antibody; Hox1G antibody; Hox1r5 antibody; Hoxa-9 antibody; Hoxa7 antibody; HOXA9 antibody; HOXA9/MSI2 fusion gene; included antibody; HOXA9/NUP98 fusion gene; included antibody; HXA9_HUMAN antibody; MGC1934 antibody
-
宿主:Rabbit
-
反應種屬:Human
-
免疫原:Recombinant Human Homeobox protein Hox-A9 protein (1-190AA)
-
免疫原種屬:Homo sapiens (Human)
-
標記方式:Non-conjugated
-
克隆類型:Polyclonal
-
抗體亞型:IgG
-
純化方式:Antigen Affinity Purified
-
濃度:It differs from different batches. Please contact us to confirm it.
-
保存緩沖液:PBS with 0.02% sodium azide, 50% glycerol, pH7.3.
-
產品提供形式:Liquid
-
應用范圍:ELISA, IHC, IF
-
推薦稀釋比:
Application Recommended Dilution IHC 1:20-1:200 IF 1:50-1:200 -
Protocols:
-
儲存條件:Upon receipt, store at -20°C or -80°C. Avoid repeated freeze.
-
貨期:Basically, we can dispatch the products out in 1-3 working days after receiving your orders. Delivery time maybe differs from different purchasing way or location, please kindly consult your local distributors for specific delivery time.
-
用途:For Research Use Only. Not for use in diagnostic or therapeutic procedures.
相關產品
靶點詳情
-
功能:Sequence-specific transcription factor which is part of a developmental regulatory system that provides cells with specific positional identities on the anterior-posterior axis. Required for induction of E-selectin and VCAM-1, on the endothelial cells surface at sites of inflammation.
-
基因功能參考文獻:
- MiR-182/HOXA9 was involved in the process of RUNX3-mediated GC tumor growth. PMID: 29054094
- The present study demonstrated that miR-139-5p, functioning as a suppressor in the tumorigenesis process, suppressed oral squamous carcinoma cells mobility by targeting HOXA9 directly. PMID: 28780773
- NHA9 (NUP98-HOXA9 fusion protein) deregulates the expression of key leukemic genes, including MEIS1-HOXA9-PBX3 complex, through the enhancer binding and the direct interaction of the fusion protein with HDAC and p300 transcriptional regulators PMID: 28630438
- Results show that a combination of HOXA9 and HOXA10 promoter methylation markers is significantly associated with the prognosis of breast cancer patients a subtype-independent manner. PMID: 28748001
- knockdown of HOXA9 abrogated NAC1induced drug resistance. PMID: 28713930
- HOXA9 expression is upregulated in three-dimensional organotypic culture of claudin-low breast cancer cells. PMID: 27409175
- HOXA9 transcriptionally regulated EPHB4 expression to modulate trophoblasts migration and invasion, which may suggest a contribution of HOXA9-EPHB4 in the poor placentation in the pathogenesis of preeclampsia. PMID: 28292467
- HOTTIP/WDR5/HOXA9/Wnt axis contributes to pancreatic tumor stem cell stemness. PMID: 28947139
- Beta-catenin regulates expression of downstream targets of a key transcriptional memory gene, Hoxa9 that is highly enriched in myeloid leukemia cancer stem cells and helps sustain leukemic self-renewal. PMID: 28978671
- This is the first time the protein partners of either E2A-PBX1 or HOXA9 oncoproteins were identified using an unbiased biochemical approach. The identification of translation initiation factors associated with HOXA9 might indicate a novel function for HOX proteins independent of their transcriptional activity. PMID: 28707666
- The HOXA9 moiety of NUP98-HOXA9 is essential for binding to the Hoxa gene locus. MLL is important for the recruitment of NUP98-HOXA9 to the HOXA locus and for NUP98-HOXA9-induced HOXA gene expression. PMID: 28210005
- In the present study, we found in a translational stepwise approach that promoter DNA methylation of the homeobox (HOX) gene HOXA9 could help predict resistance or response to cisplatin-based chemotherapy in patients with bladder cancer PMID: 27598218
- DYNLT1 interacts with nucleoporins and plays a role in the dysregulation of gene expression and induction of hematopoietic cell proliferation by the leukemogenic nucleoporin fusion, NUP98-HOXA9 PMID: 23840580
- Low HOXA9 expression is associated with Non Small Cell Lung Cancer. PMID: 27880728
- This study identified HOXA9 as a target gene of miR-196b and determined that the mechanism of miR-196b-mediated epithelial-to-mesenchymal transition and invasion processes involves the regulation of HOXA9 expression in non-small cell lung cancer cells. PMID: 26586336
- Advanced glycation end products could induce endothelial cell dysfunction through NF-kappaB dependent HoxA9 downregulation. PMID: 28723696
- HOXA9 role in acute myeloid leukemia. PMID: 28399410
- NUP98-HOXA9 ability to induce blood cell expansion is evolutionarily conserved. PMID: 27838340
- Homeobox A9 (HOXA9) expression was inversely correlated with microRNA miR-196b levels in recurrent epithelial ovarian cancer (EOC). PMID: 28387653
- Promoter variants in HOXA9, TPM1, and TPM2, alter promoter expression suggesting that they have a functional role in clubfoot. PMID: 27020427
- Controlling HOXA9 expression appears to be a necessary step during CC development. PMID: 27039722
- The results indicate that highly selective targeting of Nup98-fusion proteins to Hox cluster regions via prebound Crm1 induces the formation of higher order chromatin structures that causes aberrant Hox gene regulation. PMID: 26740045
- Study found that hypermethylation of CpG probes in the promoter regions of HOXA9 and PCDH10 was associated with mature B-cell neoplasms. PMID: 26679037
- With continued advances in understanding HOXA9-mediated transformation, there is a wealth of opportunity for developing novel therapeutics that would be applicable for greater than 50% of AML with overexpression of HOXA9 PMID: 26028034
- Data establish HOXA9 as a driver of glioma initiation, aggressiveness and resistance to therapy. PMID: 25762636
- Concurrent ISL1/HOXA9 methylation in HG-NMIBC reliably predicted tumour recurrence and progression within one year, and was associated with disease-specific mortality PMID: 26332997
- Increased expression of HOXA9 is associated with acute myeloid leukemia. PMID: 25987065
- Pbx3 contributes to Hoxa9 leukemogenesis through stabilization of the Meis1 protein. PMID: 26130510
- HOXA9 and MEIS1 overexpression are inversely correlated with relapse and overall survival, so the genes could become useful predictive markers of the clinical course of pediatric acute leukemias. PMID: 26059450
- present study suggests that HOXA9 inhibits migration of lung cancer cells and its hypermethylation is an independent prognostic factor for recurrence-free survival in never-smokers with NSCLC PMID: 24817037
- these findings indicate that homeobox A9 regulates the expression of VEGF in epidermal stem cells PMID: 25031718
- HOXA9 methylation is frequent in oral cancers and levels are higher in tumors with greater risk of metastasis. Expression of HOXA9 is low in cells with high levels of methylation and reduced expression appears to confer a growth advantage. PMID: 24886209
- HOXA9 methylation could be detected in plasma from HCC patients (n=40) but not in normal plasma (n=34) (p<0.0005). PMID: 24681432
- Different gain-of-function and loss-of-function studies reveal that HOXA9 enhances hematopoietic differentiation of embryonic stem cells by specifically promoting the commitment of hemogenic precursors into primitive and total CD45(+) blood cells. PMID: 25185710
- These findings indicate that HOXA9 contributes to poor outcomes in Epithelial ovarian cancer in part by promoting intraperitoneal dissemination via its induction of P-cadherin. PMID: 25023983
- we define a three-gene panel, CDO1, HOXA9, and TAC1, which we subsequently validate in two independent cohorts of primary NSCLC samples PMID: 24486589
- Hoxa9T on its own induced acute myeloid leukemia after a similar latency as Hoxa9FLim, despite its inability to bind DNA PMID: 24535405
- HOXA9 may, therefore, stimulate ovarian cancer progression by promoting an immunosuppressive microenvironment via paracrine effects on peritoneal macrophages. PMID: 24332016
- Cell growth and function are dependent on maintained levels of signature gene HOXA9. PMID: 23539541
- The complete remission rate of the patients who expressed the gene was significantly lower than that in patients who did not express the gene after chemotherapy. PMID: 23575938
- A low level of expression of miR-196b can cause up-regulation of BCR-ABL1 and HOXA9 expression, which leads to the development of chronic myeloid leukemia. PMID: 23894305
- Symplekin interacts and co-localizes with both MOZ and MLL in immature hematopoietic cells. Its inhibition leads to a decrease of the HOXA9 protein level but not of Hoxa9 mRNA. PMID: 23994619
- hypermethylation of HIST1H4F, PCDHGB6, NPBWR1, ALX1, and HOXA9 was significantly associated with shorter survival in stage 1 Non-small-cell lung cancer PMID: 24081945
- HOXA9 acts as an oncogene in laryngeal squamous cell carcinoma, promoting tumor cell proliferation and migration. PMID: 24308157
- SALL4 binds a specific region of the HOXA9 promoter in leukemic cells. PMID: 24051379
- The methylation status of Homeobox A9 (HOXA9), ISL LIM homeobox 1 (ISL1) and Aldehyde dehydrogenase 1 family, member A3 (ALDH1A3) was significantly associated with decreased gene expression levels PMID: 23436614
- The competition for this binding site inhibits the expression of HOXA9 and induces different transcriptional outcomes, which suggests a new direction for investigation of the mechanism underlying targeted therapy of malignant gliomas. PMID: 23466061
- Data indicate that the genes comprising the HMGA2-TET1-HOXA9 pathway are coordinately regulated in breast cancer and together encompass a prognostic signature for patient survival. PMID: 23716660
- High expression of HOXA9 is associated with the occurrence of acute leukemia, and its expression level is significantly higher in children with AML than in those with ALL. PMID: 23607948
- Data indicate that retroviral transduction-mediated overexpression or siRNA-mediated knock-down of Hoxa9 respectively down-regulated or up-regulated Geminin in hematopoietic cells. PMID: 23326393
顯示更多
收起更多
-
相關疾病:A chromosomal aberration involving HOXA9 is found in a form of acute myeloid leukemia. Translocation t(7;11)(p15;p15) with NUP98.; DISEASE: Note=A chromosomal aberration involving HOXA9 may contribute to disease progression in chronic myeloid leukemia. Translocation t(7;17)(p15;q23) with MSI2.
-
亞細胞定位:Nucleus.
-
蛋白家族:Abd-B homeobox family
-
數據庫鏈接:
Most popular with customers
-
-
YWHAB Recombinant Monoclonal Antibody
Applications: ELISA, WB, IHC, IF, FC
Species Reactivity: Human, Mouse, Rat
-
Phospho-YAP1 (S127) Recombinant Monoclonal Antibody
Applications: ELISA, WB, IHC
Species Reactivity: Human
-
-
-
-
-















