HOXA1 Antibody
-
中文名稱:HOXA1兔多克隆抗體
-
貨號:CSB-PA010647DSR2HU
-
規格:¥440
-
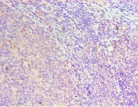
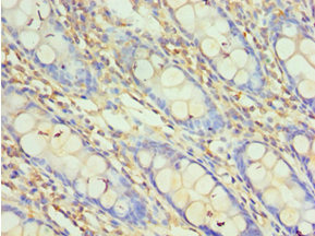
圖片:
-
其他:
產品詳情
-
產品名稱:Rabbit anti-Homo sapiens (Human) HOXA1 Polyclonal antibody
-
Uniprot No.:
-
基因名:HOXA1
-
別名:BSAS antibody; Homeo box A1 antibody; Homeobox 1F antibody; Homeobox A1 antibody; Homeobox protein Hox A1 antibody; Homeobox protein Hox-1F antibody; Homeobox protein Hox-A1 antibody; Hox 1.6 like protein antibody; Hox 1F antibody; HOX A1 antibody; HOX A1 homeodomain protein antibody; HOX1 antibody; HOX1F antibody; hoxa1 antibody; hoxb1b antibody; HXA1_HUMAN antibody; Lab like protein antibody; MGC45232 antibody
-
宿主:Rabbit
-
反應種屬:Human
-
免疫原:Recombinant Human Homeobox protein Hox-A1 protein (75-205AA)
-
免疫原種屬:Homo sapiens (Human)
-
標記方式:Non-conjugated
-
克隆類型:Polyclonal
-
抗體亞型:IgG
-
純化方式:Antigen Affinity Purified
-
濃度:It differs from different batches. Please contact us to confirm it.
-
保存緩沖液:PBS with 0.02% sodium azide, 50% glycerol, pH7.3.
-
產品提供形式:Liquid
-
應用范圍:ELISA, IHC
-
推薦稀釋比:
Application Recommended Dilution IHC 1:20-1:200 -
Protocols:
-
儲存條件:Upon receipt, store at -20°C or -80°C. Avoid repeated freeze.
-
貨期:Basically, we can dispatch the products out in 1-3 working days after receiving your orders. Delivery time maybe differs from different purchasing way or location, please kindly consult your local distributors for specific delivery time.
-
用途:For Research Use Only. Not for use in diagnostic or therapeutic procedures.
相關產品
靶點詳情
-
功能:Sequence-specific transcription factor. Regulates multiple developmental processes including brainstem, inner and outer ear, abducens nerve and cardiovascular development and morphogenesis as well as cognition and behavior. Also part of a developmental regulatory system that provides cells with specific positional identities on the anterior-posterior axis. Acts on the anterior body structures. Seems to act in the maintenance and/or generation of hindbrain segments. Activates transcription in the presence of PBX1A and PKNOX1.
-
基因功能參考文獻:
- We speculate that HOXA1 may be the direct target of miR181b5p or miR181d5p in LUSC, and HOXA1 may serve a significant role in nonsmall cell lung cancer (NSCLC) by regulating various pathways, particularly the p53 signaling pathway. PMID: 29658571
- Study revealed the existence of negative correlation between the expression of miR577 and HOXA1 in hepatocellular carcinoma (HCC) specimens. HOXA1 expression is under the direct regulation of miR577 which is able to bind to its 3'UTR. PMID: 29693150
- HOTTIP cooperates with CTCF to coordinate HOXA gene expression. PMID: 29698677
- that miR-433 was frequently downregulated in colon cancer tissues and cell lines. Overexpression of miR-433 significantly inhibited the proliferation and invasion of colon cancer. We also newly identified HOXA1 as a direct target of miR-433. The effects of miR-433 on colon cancer cells were mediated via HOXA1. PMID: 29137689
- we found that KDM3B exhibits potential tumor-suppressive activity and transcriptionally modulates HOXA1 expression via RARE in AML. PMID: 28540746
- miR-30c could suppress giant cell tumor of bone cell proliferation and progression via HOXA1, which might provide a new target for giant cell tumor of bone diagnosis and therapy PMID: 29164581
- UBE2C and HOXA1 RNA and protein are differentially expressed in conventional and Spitz nevi and melanoma. PMID: 28657121
- Study identified HOXA1 as a direct target of miR-30e. Its expression is down-regulated by miR-30e played leading to suppressed lung cancer cell growth. PMID: 27992364
- HOXA1-mediated activation of NF-kappaB is non-transcriptional and the RBCK1 and TRAF2 influences on NF-kappaB are epistatic to HOXA1 PMID: 27382069
- Overexpression of the HOXA1 expression is associated with increased transformation of myelodysplastic syndrome into acute myeloid leukemia. PMID: 26812882
- Data indicated that HOXA1 and CCND1 mRNA and protein expression were higher in gastric cancer (GC) tissues, that a significant correlation was found between their expression, and they both may serve as a novel prognostic biomarker for GC. PMID: 26791264
- MicroRNA-99a inhibits tumor aggressive phenotypes through regulating HOXA1 in breast cancer cells. PMID: 26417931
- In a Middle Eastern population, HOXA1 is not likely a common cause of non-syndromic deafness. PMID: 24878468
- our findings suggest that HOXA1 is involved in the regulation of prostate cancer progression, including cell growth, migration, invasion and metastasis PMID: 26135141
- Studied HOTAIR in chemoresistance of SCLC and possible molecular mechanism. Knockdown of HOTAIR was carried out in SCLC multidrug-resistant cell lines; found depletion of HOTAIR reduced HOXA1 methylation by decreasing DNMT1 & DNMT3b expression. PMID: 26707824
- YAP regulates the expression of HOXA1 and HOXC13 in human keratinocytes. PMID: 25691658
- Analysis indicates that the genes BIRC5, HOXA1 and RARB are critical targets that play an important regulatory role in cervical cancer pathogenesis. PMID: 25069511
- ACK1 interacts with KDM3A to regulate the mammary tumor oncogene HOXA1. PMID: 25148682
- MicroRNA-99 family members suppress Homeobox A1 expression in epithelial cells. PMID: 24312487
- The results demonstrated that miR-181c transcription is suppressed and HOXA1 expression is enhanced in hepatitis C virus-infected hepatocytes. PMID: 24789793
- HOXA1-mediated SCLC chemoresistance is under the regulation of miR-100. HOXA1 may be a prognostic predictor and potential therapeutic target in human SCLC PMID: 24559685
- validation data and mechanistic insights suggest that patients whose primary tumors express HOXA1 are among a high-risk metastasis subgroup that should be considered for anti-TGFbeta therapy in adjuvant settings PMID: 23435427
- Data indicate that MiR-10a has a role in megakaryocyte differentiation of stem cells via HOXA1 transcription factor targeting. PMID: 23321646
- The findings in this patient raise the possibility that PTPRN2 may be active during early development of the human brainstem and that its overexpression may cause bilateral Duane retraction syndrome as occurs in patients with homozygous HOXA1 mutations. PMID: 22950449
- Overexpression of HOXA1 is associated with hepatocellular carcinoma. PMID: 22864671
- Loss of HOXA1 is associated with pancreatic cancer. PMID: 22407312
- study demonstrates KDM3A is overexpressed in various types of cancer and directly activates transcription of HOXA1 through demethylation of histone H3K9 by binding to its promoter region PMID: 22020899
- HOXA1 may contribute to oral carcinogenesis by increasing tumor cell proliferation, and suggest that HOXA1 expression might be helpful as a prognostic marker for patients with oral squamous cell carcinoma. PMID: 22498108
- the importance of the Hox-Pbx interaction for the oncogenic activity of Hoxa1 PMID: 21957483
- HOXA1 A218G and HOXB1 nINS/INS variants may not contribute significantly to autism spectrum disorders risk PMID: 21980499
- the combination of miR-377 and miR-217 help regulate HO-1 protein expression in the presence of hemin PMID: 21106538
- HOXA1 mutations are not a common cause of sporadic Mobius syndrome in the general population PMID: 20227628
- It is unlikely that HoxA1 plays a significant role in the genetic predisposition to autism. PMID: 11840501
- No evidence for linkage of liability to autism to HOXA1 in a sample from the CPEA network PMID: 12210285
- hoxa1 protein plays a role in the development of infantile autism PMID: 12349873
- HOXA1 is a human mammary epithelial oncogene with aggressive in vivo tumor formation PMID: 12482855
- The HOXA1 A218G polymorphism explains approximately 5% of the variance in the head circumference of autistic patients and represents to our knowledge the first known gene variant providing sizable contributions to cranial morphology. PMID: 14960295
- Mutations in HOXA1 resulting in abnormalities, deafness, facial weakness, hypoventilation, vascular malformations of the internal carotid arteries and cardiac outflow tract, mental retardation and autism spectrum disorder were identified. PMID: 16155570
- HOXA1 protein with polyhistidine tract expansions misfold, aggregate, and have a toxic effect on cell. PMID: 16168961
- HOXA1 is a downstream effector of E-cadherin-directed signaling required for anchorage-independent proliferation of mammary carcinoma cells. PMID: 16373333
- The HOXA1-related syndrome phenotype is variable; HOXA1 mutations are a rare cause of isolated Duane anomaly. PMID: 16528738
- Study reveals the preferential expression of HOXA1 by metaphase II oocytes. PMID: 16597639
- Expanded polyhistidine repeats in HOXA1 enhance aggregation and cell death, resulting in impaired neuronal differentiation and cooperative binding with PBX1. PMID: 17131398
- Variation not associated with autism in an Indian population. PMID: 17167333
- HOXA1 A218G alleles significantly influence head growth rates, but not final head size, in normal human development. PMID: 17171652
- Modulation of the p44/42 MAP kinase pathway is one mechanism by which HOXA1 mediates oncogenic transformation of the human mammary epithelial cell. PMID: 17213808
- This report extends the Bosley-Salih-Alorainy syndrome phenotype and documents the clinical variability resulting from identical HOXA1 mutations within an isolated ethnic population PMID: 17875913
- Results identified HOXA1 loci showing significant differential DNA methylation levels between tumor and non-tumor lung and highly significant hypermethylation in adenocarcinoma. PMID: 17967182
- HOXA1 partially mediates oncogenic transformation of the immortalized human mammary epithelial cell through modulation of the STAT3 and STAT5B pathways. PMID: 18276758
- study describes nine previously unreported individuals from six families who have homozygous mutations of HOXA1 and either the Bosley-Salih-Alorainy syndrome (BSAS) or the Athabascan brainstem dysgenesis syndrome (ABDS) PMID: 18412118
顯示更多
收起更多
-
相關疾病:Athabaskan brainstem dysgenesis syndrome (ABDS); Bosley-Salih-Alorainy syndrome (BSAS)
-
亞細胞定位:Nucleus.
-
蛋白家族:Antp homeobox family, Labial subfamily
-
數據庫鏈接:
Most popular with customers
-
-
YWHAB Recombinant Monoclonal Antibody
Applications: ELISA, WB, IHC, IF, FC
Species Reactivity: Human, Mouse, Rat
-
Phospho-YAP1 (S127) Recombinant Monoclonal Antibody
Applications: ELISA, WB, IHC
Species Reactivity: Human
-
-
-
-
-















