HOMER1 Antibody
-
中文名稱:HOMER1兔多克隆抗體
-
貨號:CSB-PA327528
-
規格:¥1100
-
圖片:
-
The image on the left is immunohistochemistry of paraffin-embedded Human lung cancer tissue using CSB-PA327528(HOMER1 Antibody) at dilution 1/50, on the right is treated with fusion protein. (Original magnification: ×200)
-
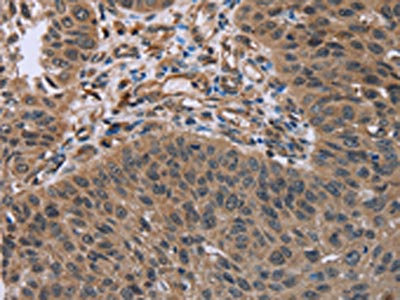
The image on the left is immunohistochemistry of paraffin-embedded Human thyroid cancer tissue using CSB-PA327528(HOMER1 Antibody) at dilution 1/50, on the right is treated with fusion protein. (Original magnification: ×200)
-
Gel: 10%SDS-PAGE, Lysate: 40 μg, Lane: Mouse brain tissue, Primary antibody: CSB-PA327528(HOMER1 Antibody) at dilution 1/400, Secondary antibody: Goat anti rabbit IgG at 1/8000 dilution, Exposure time: 10 seconds
-
-
其他:
產品詳情
-
Uniprot No.:
-
基因名:
-
別名:HOME1_HUMAN antibody; Homer antibody; HOMER 1A antibody; HOMER 1B antibody; HOMER 1C antibody; Homer homolog 1 (Drosophila) antibody; homer homolog 1 antibody; Homer protein homolog 1 antibody; homer scaffolding protein 1 antibody; Homer; Drosophila; homolog of; 1 antibody; Homer; neuronal immediate early gene; 1 antibody; Homer-1 antibody; Homer1 antibody; HOMER1A antibody; HOMER1B antibody; HOMER1C antibody; SYN47 antibody; Ves 1 antibody
-
宿主:Rabbit
-
反應種屬:Human,Mouse,Rat
-
免疫原:Fusion protein of Human HOMER1
-
免疫原種屬:Homo sapiens (Human)
-
標記方式:Non-conjugated
-
抗體亞型:IgG
-
純化方式:Antigen affinity purification
-
濃度:It differs from different batches. Please contact us to confirm it.
-
保存緩沖液:-20°C, pH7.4 PBS, 0.05% NaN3, 40% Glycerol
-
產品提供形式:Liquid
-
應用范圍:ELISA,WB,IHC
-
推薦稀釋比:
Application Recommended Dilution ELISA 1:2000-1:5000 WB 1:500-1:2000 IHC 1:50-1:200 -
Protocols:
-
儲存條件:Upon receipt, store at -20°C or -80°C. Avoid repeated freeze.
-
貨期:Basically, we can dispatch the products out in 1-3 working days after receiving your orders. Delivery time maybe differs from different purchasing way or location, please kindly consult your local distributors for specific delivery time.
-
用途:For Research Use Only. Not for use in diagnostic or therapeutic procedures.
相關產品
靶點詳情
-
功能:Postsynaptic density scaffolding protein. Binds and cross-links cytoplasmic regions of GRM1, GRM5, ITPR1, DNM3, RYR1, RYR2, SHANK1 and SHANK3. By physically linking GRM1 and GRM5 with ER-associated ITPR1 receptors, it aids the coupling of surface receptors to intracellular calcium release. May also couple GRM1 to PI3 kinase through its interaction with AGAP2. Isoform 1 regulates the trafficking and surface expression of GRM5. Isoform 3 acts as a natural dominant negative, in dynamic competition with constitutively expressed isoform 1 to regulate synaptic metabotropic glutamate function. Isoform 3, may be involved in the structural changes that occur at synapses during long-lasting neuronal plasticity and development. Forms a high-order complex with SHANK1, which in turn is necessary for the structural and functional integrity of dendritic spines. Negatively regulates T cell activation by inhibiting the calcineurin-NFAT pathway. Acts by competing with calcineurin/PPP3CA for NFAT protein binding, hence preventing NFAT activation by PPP3CA.
-
基因功能參考文獻:
- Monomeric Homer 1a proteins increase activity of Imin channels, but did not modulate their electrophysiological properties. Recombinant Homer 1c protein did not block the induced calcium currents. PMID: 29923011
- Study found the common variant rs7713917 in the HOMER1 gene to be significantly associated with suicide attempt in Chinese patient. PMID: 30219717
- Homer 1 rs7713917 gene variant associated with brain structure and function, severity of depression, and antidepressant response in patients affected by a major depressive episode in course of bipolar disorder. PMID: 29079138
- This study demonstrate that altered Homer1a levels in specific brain regions and cell types of patients suffering from schizophrenia, bipolar disorder and major depression. PMID: 28815330
- Study shows that Homer1b/c is constitutively expressed in astrocytes, where it clusters with mGlu5 and endoplasmic reticulum tubules to form sub-plasmalemmal microdomains; propose that Homer1a may represent one of the cellular mechanisms by which inflammatory astrocytic reactions are beneficial for limiting brain injury PMID: 27075036
- Resequencing three candidate genes (HOMER1, SLC6A4, and TEF) discovers seven potentially deleterious variants susceptibility to major depressive disorder and suicide attempts in Chinese. PMID: 27964944
- The present study was undertaken to determine the expression and functional significance of Homer1b/c in multiple myeloma PMID: 26718835
- The main focus of the present review is to offer an overview of the current knowledge about the potential role of Homer1a in depression and the signaling pathways responsible for Homer1a regulation. [review] PMID: 26641965
- The mRNA levels of Homer1, IL-1beta, and TNF-alpha in coronary artery disease patients were significantly higher than those in the control group, but not Homer2 and Homer3. PMID: 25551602
- these findings provide evidence for a new role of Homer1 supporting the regulation of Cav1.2 channels by STIM1. PMID: 25712868
- Homer1 promotes lymphatic invasion and associates with lymph node metastasis and poor prognosis of intrahepatic cholangiocarcinoma. PMID: 24815486
- data suggest that HOMER1 rs4704559 G allele has a protective role for the development of levodopa adverse effects PMID: 24126708
- Polymorphisms of DRD1, DLG4 and HOMER1 are associated with opiate abuse. PMID: 23044706
- Overexpression of HOMER1A reduces neuropathic pain hypersensitivity. PMID: 23685007
- The uncoupling of synaptic protein homer 1c from target proteins activates store-operated calcium entry in a neurotransmitter-like manner in human neuroblastoma cells. PMID: 23821062
- This review discusses the association of Homer 1 variants with the etiology of many neurological diseases, such as pain, mental retardation syndromes, Alzheimer's disease, schizophrenia, addiction and traumatic brain injury. PMID: 22749857
- HOMER1 encodes a postsynaptic density-localized scaffolding protein that interacts with Shank3 to regulate mGluR activity, and is a novel autism-risk gene. PMID: 22558107
- This study reported significant associations between different polymorphisms of the HOMER 1 gene and psychopathology of schizophrenic patients at baseline and between HOMER 1 polymorphisms and therapy response after treatment with atypical antipsychotics. PMID: 20598711
- Homer dissociation from its targets evoked by the PPKKFR peptide led to Imin calcium channel activation but not to Imax calcium channel activation in A431 cells. PMID: 20926133
- HOMER1 plays a role in the etiology of major depression and genetic variation affects depression via the dysregulation of cognitive and motivational processes. PMID: 20673876
- Homer1a transgene expression is transiently upregulated during increases in network activity and evokes agonist-independent signaling of group I metabotropic glutamate receptors that scales down expression of synaptic AMPA receptors. PMID: 21172614
- HOMER1 was screened for an association with schizophrenia. PMID: 12815733
- Polymorphism in the Homer1 gene is a potential risk factor for the development of cocaine dependence in an African American population. PMID: 16314758
- Data indicate that Homer1 plays a critical role in determining the apoptotic susceptibility to TRAIL. PMID: 19376111
- study implicates the effects of allele A of the rs4704559 marker in susceptibility to psychotic symptoms in Parkinson disease PMID: 19648775
顯示更多
收起更多
-
亞細胞定位:Cytoplasm. Cell junction, synapse, postsynaptic density. Cell junction, synapse. Cell projection, dendritic spine.
-
蛋白家族:Homer family
-
數據庫鏈接:
Most popular with customers
-
YWHAB Recombinant Monoclonal Antibody
Applications: ELISA, WB, IHC, IF, FC
Species Reactivity: Human, Mouse, Rat
-
Phospho-YAP1 (S127) Recombinant Monoclonal Antibody
Applications: ELISA, WB, IHC
Species Reactivity: Human
-
-
-
-
-
-















