HOGA1 Antibody
-
中文名稱:HOGA1兔多克隆抗體
-
貨號:CSB-PA771464LA01HU
-
規格:¥440
-
圖片:
-
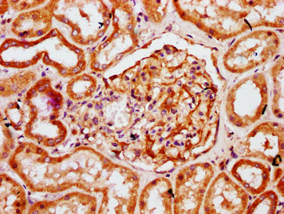
IHC image of CSB-PA771464LA01HU diluted at 1:300 and staining in paraffin-embedded human kidney tissue performed on a Leica BondTM system. After dewaxing and hydration, antigen retrieval was mediated by high pressure in a citrate buffer (pH 6.0). Section was blocked with 10% normal goat serum 30min at RT. Then primary antibody (1% BSA) was incubated at 4°C overnight. The primary is detected by a biotinylated secondary antibody and visualized using an HRP conjugated SP system.
-
Immunofluorescence staining of HepG2 cells with CSB-PA771464LA01HU at 1:100, counter-stained with DAPI. The cells were fixed in 4% formaldehyde, permeabilized using 0.2% Triton X-100 and blocked in 10% normal Goat Serum. The cells were then incubated with the antibody overnight at 4°C. The secondary antibody was Alexa Fluor 488-congugated AffiniPure Goat Anti-Rabbit IgG(H+L).
-
-
其他:
產品詳情
-
產品名稱:Rabbit anti-Homo sapiens (Human) HOGA1 Polyclonal antibody
-
Uniprot No.:
-
基因名:HOGA1
-
別名:HOGA1 antibody; C10orf65 antibody; DHDPSL antibody; 4-hydroxy-2-oxoglutarate aldolase antibody; mitochondrial antibody; EC 4.1.3.16 antibody; Dihydrodipicolinate synthase-like antibody; DHDPS-like protein antibody; Probable 2-keto-4-hydroxyglutarate aldolase antibody; Probable KHG-aldolase antibody; Protein 569272 antibody
-
宿主:Rabbit
-
反應種屬:Human
-
免疫原:Recombinant Human 4-hydroxy-2-oxoglutarate aldolase, mitochondrial protein (1-164AA)
-
免疫原種屬:Homo sapiens (Human)
-
標記方式:Non-conjugated
本頁面中的產品,HOGA1 Antibody (CSB-PA771464LA01HU),的標記方式是Non-conjugated。對于HOGA1 Antibody,我們還提供其他標記。見下表:
-
克隆類型:Polyclonal
-
抗體亞型:IgG
-
純化方式:>95%, Protein G purified
-
濃度:It differs from different batches. Please contact us to confirm it.
-
保存緩沖液:Preservative: 0.03% Proclin 300
Constituents: 50% Glycerol, 0.01M PBS, pH 7.4 -
產品提供形式:Liquid
-
應用范圍:ELISA, IHC, IF
-
推薦稀釋比:
Application Recommended Dilution IHC 1:200-1:500 IF 1:50-1:200 -
Protocols:
-
儲存條件:Upon receipt, store at -20°C or -80°C. Avoid repeated freeze.
-
貨期:Basically, we can dispatch the products out in 1-3 working days after receiving your orders. Delivery time maybe differs from different purchasing way or location, please kindly consult your local distributors for specific delivery time.
-
用途:For Research Use Only. Not for use in diagnostic or therapeutic procedures.
相關產品
靶點詳情
-
功能:Catalyzes the final step in the metabolic pathway of hydroxyproline.
-
基因功能參考文獻:
- Results show that HOGA1 harboring mutations found in primary hyperoxaluria is thermally unstable and targeted for proteolytic degradation leading to an absolute loss of function. PMID: 27096395
- Among the seven patients identified with HOGA1 mutations the median onset of clinical symptoms was 1.8 years. Five patients initially presented with urolithiasis, and two other patients presented with urinary tract infection. PMID: 25972204
- Our results strongly suggest HOGA1 as a major cause of PH, indicate a greater genetic heterogeneity of hyperoxaluria, and point to a favorable outcome of type III in the context of PH despite incomplete or absent biochemical remission PMID: 22781098
- seven different mutations were identified in primary hyperoxaluria type 3 PMID: 22391140
- Two crystal forms of DHDPSL were obtained, both of which diffracted X-rays to approximately 2.0 A resolution PMID: 22232173
- hHOGA utilizes a type I aldolase reaction mechanism, but employs novel residue interactions for substrate binding PMID: 21998747
- Detection of HOGA1 variants in idiopathic calcium oxalate urolithiasis also suggests HOGA1 may be a predisposing factor for this condition PMID: 21896830
- DHDPSL is the gene encoding 4-hydroxy-2-oxoglutarate aldolase, catalyzing the final step in the metabolic pathway of hydroxyproline. PMID: 20797690
顯示更多
收起更多
-
相關疾病:Hyperoxaluria primary 3 (HP3)
-
亞細胞定位:Mitochondrion.
-
蛋白家族:DapA family
-
數據庫鏈接:
Most popular with customers
-
YWHAB Recombinant Monoclonal Antibody
Applications: ELISA, WB, IHC, IF, FC
Species Reactivity: Human, Mouse, Rat
-
Phospho-YAP1 (S127) Recombinant Monoclonal Antibody
Applications: ELISA, WB, IHC
Species Reactivity: Human
-
-
-
-
-
-















