HNRNPM Antibody
-
中文名稱:HNRNPM兔多克隆抗體
-
貨號:CSB-PA010613ESR2HU
-
規格:¥440
-
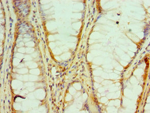
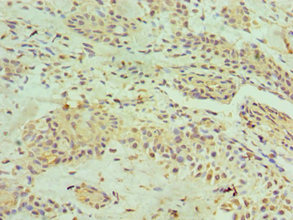
圖片:
-
其他:
產品詳情
-
產品名稱:Rabbit anti-Homo sapiens (Human) HNRNPM Polyclonal antibody
-
Uniprot No.:
-
基因名:HNRNPM
-
別名:CEA receptor antibody; CEAR antibody; Heterogeneous nuclear ribonucleoprotein M antibody; Heterogenous nuclear ribonucleoprotein M4 antibody; hnRNA binding protein M4 antibody; hnRNP M antibody; Hnrnpm antibody; HNRNPM4 antibody; HNRPM antibody; HNRPM_HUMAN antibody; HNRPM4 antibody; HTGR1 antibody; M3 antibody; M4 antibody; M4 protein antibody; N-acetylglucosamine receptor 1 antibody; NAGR1 antibody
-
宿主:Rabbit
-
反應種屬:Human
-
免疫原:Recombinant Human Heterogeneous nuclear ribonucleoprotein M protein (491-730AA)
-
免疫原種屬:Homo sapiens (Human)
-
標記方式:Non-conjugated
-
克隆類型:Polyclonal
-
抗體亞型:IgG
-
純化方式:Antigen Affinity Purified
-
濃度:It differs from different batches. Please contact us to confirm it.
-
保存緩沖液:PBS with 0.02% sodium azide, 50% glycerol, pH7.3.
-
產品提供形式:Liquid
-
應用范圍:ELISA, IHC
-
推薦稀釋比:
Application Recommended Dilution IHC 1:20-1:200 -
Protocols:
-
儲存條件:Upon receipt, store at -20°C or -80°C. Avoid repeated freeze.
-
貨期:Basically, we can dispatch the products out in 1-3 working days after receiving your orders. Delivery time maybe differs from different purchasing way or location, please kindly consult your local distributors for specific delivery time.
-
用途:For Research Use Only. Not for use in diagnostic or therapeutic procedures.
相關產品
靶點詳情
-
功能:Pre-mRNA binding protein in vivo, binds avidly to poly(G) and poly(U) RNA homopolymers in vitro. Involved in splicing. Acts as a receptor for carcinoembryonic antigen in Kupffer cells, may initiate a series of signaling events leading to tyrosine phosphorylation of proteins and induction of IL-1 alpha, IL-6, IL-10 and tumor necrosis factor alpha cytokines.
-
基因功能參考文獻:
- Overexpression of hnRNPM promotes breast cancer aggressiveness by regulating the level of CD44s and indicates a poor prognosis. PMID: 28393427
- Data suggest that both heterogeneous nuclear ribonucleoprotein type M (HNRPM) and solute carrier 1A5 (SLC1A5) have role in the pathogenesis of ovarian cancer. PMID: 28609484
- p54nrb and hnRNPM knockdown silences the FGF1 promoter-dependent accumulation of mRNA during myoblast differentiation. PMID: 26332123
- Results suggest that glyceraldehyde-modified hnRNPM alters gene expression in nonalcoholic fatty liver disease. PMID: 25684943
- The authors propose that cleavage of and subverting the function of hnRNPM by 3C protease is a general strategy utilized by picornaviruses to facilitate viral infection. PMID: 25926642
- our data suggest that TAF15 and TLS/FUS operate within similar but not identical hnRNP M-TET protein complexes to influence the transcriptional or post-transcriptional output of a particular cell type. PMID: 24474660
- findings demonstrate a novel molecular mechanism through which tumor metastasis is endowed by the hnRNPM-mediated splicing program. PMID: 24840202
- Our results provide a clue that hnRNP M is a potential therapeutic target for Spinal muscular atrophy PMID: 24533984
- The present data demonstrate that the upregulation of HnRNP M is involved in human colorectal epithelial carcinogenesis and may serve as a carcinoma biomarker for colorectal cancer. PMID: 24381081
- Mechanistic control of carcinoembryonic antigen-related cell adhesion molecule-1 (CEACAM1) splice isoforms by the heterogeneous nuclear ribonuclear proteins hnRNP L, hnRNP A1, and hnRNP M. PMID: 21398516
- A central region in hnRNP-M is required for interaction with CDC5L/PLRG1. PMID: 20467437
- PSF (polypyrimidine tract-binding protein-associated splicing factor) and p54(nrb), two highly related proteins involved in transcription and RNA processing, are identified as new binding partners of hnRNP M. PMID: 19874820
- mitochondrial ribosomal protein S12 3'-UTR interacts specifically with TRAP1 (tumor necrosis factor receptor-associated protein1), hnRNPM4 (heterogeneous nuclear ribonucleoprotein M4), Hsp70 and Hsp60 (heat shock proteins 70 and 60), and alpha-tubulin PMID: 18790094
顯示更多
收起更多
-
亞細胞定位:Nucleus, nucleolus.
-
數據庫鏈接:
Most popular with customers
-
-
YWHAB Recombinant Monoclonal Antibody
Applications: ELISA, WB, IHC, IF, FC
Species Reactivity: Human, Mouse, Rat
-
Phospho-YAP1 (S127) Recombinant Monoclonal Antibody
Applications: ELISA, WB, IHC
Species Reactivity: Human
-
-
-
-
-
VDAC1 Recombinant Monoclonal Antibody
Applications: ELISA, WB, IHC
Species Reactivity: Human, Mouse, Rat















