HNRNPH1 Antibody
-
中文名稱:HNRNPH1兔多克隆抗體
-
貨號:CSB-PA010609HA01HU
-
規格:¥440
-
圖片:
-
Western blot
All lanes: HNRNPH1 antibody at 8µg/ml
Lane 1: HepG2 whole cell lysate
Lane 2: MCF-7 whole cell lysate
Secondary
Goat polyclonal to rabbit IgG at 1/10000 dilution
Predicted band size: 50 kDa
Observed band size: 50 kDa -
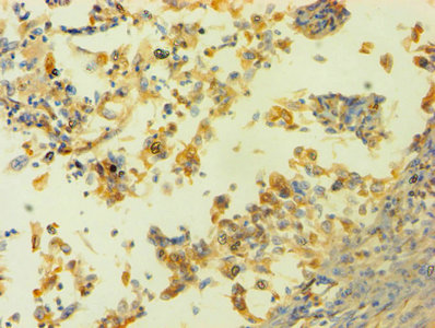
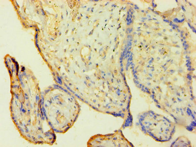
Immunohistochemistry of paraffin-embedded human placenta tissue using CSB-PA010609HA01HU at dilution of 1:100
-
Immunohistochemistry of paraffin-embedded human cervical cancer using CSB-PA010609HA01HU at dilution of 1:100
-
-
其他:
產品詳情
-
產品名稱:Rabbit anti-Homo sapiens (Human) HNRNPH1 Polyclonal antibody
-
Uniprot No.:
-
基因名:HNRNPH1
-
別名:DKFZp686A15170 antibody; Heterogeneous nuclear ribonucleoprotein H antibody; Heterogeneous nuclear ribonucleoprotein H1 (H) antibody; Heterogeneous nuclear ribonucleoprotein H1 antibody; HNRH1_HUMAN antibody; hnRNP H antibody; hnRNPH antibody; Hnrnph1 antibody; HNRPH 1 antibody; HNRPH antibody; HNRPH1 protein antibody; N-terminally processed antibody
-
宿主:Rabbit
-
反應種屬:Human
-
免疫原:Recombinant Human Heterogeneous nuclear ribonucleoprotein H protein (2-449AA)
-
免疫原種屬:Homo sapiens (Human)
-
標記方式:Non-conjugated
本頁面中的產品,HNRNPH1 Antibody (CSB-PA010609HA01HU),的標記方式是Non-conjugated。對于HNRNPH1 Antibody,我們還提供其他標記。見下表:
-
克隆類型:Polyclonal
-
抗體亞型:IgG
-
純化方式:>95%, Protein G purified
-
濃度:It differs from different batches. Please contact us to confirm it.
-
保存緩沖液:Preservative: 0.03% Proclin 300
Constituents: 50% Glycerol, 0.01M PBS, PH 7.4 -
產品提供形式:Liquid
-
應用范圍:ELISA, WB, IHC
-
推薦稀釋比:
Application Recommended Dilution WB 1:1000-1:5000 IHC 1:20-1:200 -
Protocols:
-
儲存條件:Upon receipt, store at -20°C or -80°C. Avoid repeated freeze.
-
貨期:Basically, we can dispatch the products out in 1-3 working days after receiving your orders. Delivery time maybe differs from different purchasing way or location, please kindly consult your local distributors for specific delivery time.
-
用途:For Research Use Only. Not for use in diagnostic or therapeutic procedures.
相關產品
靶點詳情
-
功能:This protein is a component of the heterogeneous nuclear ribonucleoprotein (hnRNP) complexes which provide the substrate for the processing events that pre-mRNAs undergo before becoming functional, translatable mRNAs in the cytoplasm. Mediates pre-mRNA alternative splicing regulation. Inhibits, together with CUGBP1, insulin receptor (IR) pre-mRNA exon 11 inclusion in myoblast. Binds to the IR RNA. Binds poly(RG).
-
基因功能參考文獻:
- Together, these data implicate C9ORF72 GGGGCC expansion-mediated sequestration of hnRNP H as a significant contributor to neurodegeneration in C9 amyotrophic lateral sclerosis (ALS) and frontotemporal dementia. PMID: 27623008
- High HNRNPH1 expression is associated with castration-resistant prostate cancer. PMID: 28844715
- hnRNP H binds to two specific G-runs in exon 5a of ACHE and activates the distal alternative 3 splice site (ss) between exons 5a and 5b. Furthermore, hnRNP H competes for binding of CstF64 to the overlapping binding sites in exon 5a, and suppresses the selection of a cryptic polyadenylation site, which additionally ensures transcription of the distal 3 ss required for the generation of AChET isoform. PMID: 28180311
- The different alternative transcript variants of HNRNPH1 exhibited different expression changes during tumorigenesis. Its mRNA and protein were overexpressed in esophageal squamous cell carcinoma and associated with poorer differentiation of tumor cells. PMID: 27621578
- Our findings define novel roles for hnRNPH1 as a putative oncogene, splicing factor, and an auxiliary AR coregulator. PMID: 26553749
- Global splicing analysis with RNA-seq revealed that exons carrying the hnRNP H-binding GGGGG motif are predisposed to be skipped compared to those carrying the SRSF1-binding GGAGG motif in both human and mouse brains. PMID: 26282582
- vRSF3 and hnRNP H1 are the first splicing factors identified which regulate the production of these functionally distinct HER2 splice variants and therefore maybe important for the regulation of HER2 signaling. PMID: 26367347
- In pediatric T-acute lymphoblastic leukemia, we have identified 2 RNA processing genes, that is, HNRNPH1/5q35 and DDX3X/Xp11.3 as new MLLT10 fusion partners. PMID: 23673860
- These results support a working hypothesis that a late viral protein HPV16 L1, which is down regulated by hnRNP H early in the viral life cycle may provide an auto-regulatory positive feedback loop that allows the rapid production of HPV capsid proteins through suppression of the function of hnRNP H at the late stage of the viral life cycle. PMID: 23261416
- The REST N exon is a very versatile sequence with a complex array of splicing signals, and its activation in H69 cells depends on the relative amounts of hnRNP H and U2AF65. PMID: 22792276
- These results suggest that increased level of hnRNP-H and PDIA3 expression in Dengue virus infected THP1 cells assist in the viral replication by suppressing the TNF-alpha production. PMID: 22207023
- hnRNPH activity appears to be involved in the pathogenesis and progression of malignant gliomas as the centre of a splicing oncogenic switch PMID: 21915099
- spatial interactions of hnRNPH1, NF45, and C14orf166 with HCVc174 likely modulate HCV or cellular functions during acute and chronic HCV infection PMID: 21823664
- Insight on the crucial role of hnRNP H1 in the regulation of the alternative splicing of the rpL3 gene. PMID: 21705779
- Nuclear heterogeneous nuclear ribonucleo-protein H expression was related to survival in colorectal cancer. PMID: 21194727
- altered function of hnRNP H1/H2 in tumor cells is a novel determinant of aberrant thymidine phosphorylase splicing thereby resulting in acquired chemoresistance to TP-activated fluoropyrimidine anticancer drugs. PMID: 21068389
- the G-stretches within exon 9B regulate RAGE alternative splicing via interaction with hnRNP H PMID: 20028692
- working model in which rpL3 recruits hnRNP H1 and, through cooperation with other splicing factors, promotes selection of the alternative splice site PMID: 20100605
- A-Raf prevents cancer cell apoptosis contingent on the expression of the heterogeneous nuclear ribonucleoprotein H (hnRNP H) splice factor, which is required for the correct transcription and expression of a-raf. PMID: 20145135
- the discovery overexpression of GPD1 and RRBP1 proteins and lack of expression for HNRNPH1 and SERPINB6 proteins which are new candidate biomarkers of colon cancer. PMID: 19425502
顯示更多
收起更多
-
亞細胞定位:Nucleus, nucleoplasm.
-
組織特異性:Expressed ubiquitously.
-
數據庫鏈接:
Most popular with customers
-
YWHAB Recombinant Monoclonal Antibody
Applications: ELISA, WB, IHC, IF, FC
Species Reactivity: Human, Mouse, Rat
-
Phospho-YAP1 (S127) Recombinant Monoclonal Antibody
Applications: ELISA, WB, IHC
Species Reactivity: Human
-
-
-
-
-
-















