HMGCS2 Antibody
-
中文名稱:HMGCS2兔多克隆抗體
-
貨號:CSB-PA010567LA01HU
-
規格:¥440
-
圖片:
-
Western Blot
Positive WB detected in: Rat kidney tissue
All lanes: HMGCS2 antibody at 4.5μg/ml
Secondary
Goat polyclonal to rabbit IgG at 1/50000 dilution
Predicted band size: 57, 53, 51 kDa
Observed band size: 57 kDa -
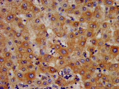
IHC image of CSB-PA010567LA01HU diluted at 1:400 and staining in paraffin-embedded human liver tissue performed on a Leica BondTM system. After dewaxing and hydration, antigen retrieval was mediated by high pressure in a citrate buffer (pH 6.0). Section was blocked with 10% normal goat serum 30min at RT. Then primary antibody (1% BSA) was incubated at 4°C overnight. The primary is detected by a biotinylated secondary antibody and visualized using an HRP conjugated SP system.
-
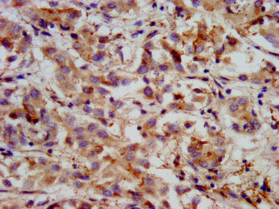
IHC image of CSB-PA010567LA01HU diluted at 1:400 and staining in paraffin-embedded human liver cancer performed on a Leica BondTM system. After dewaxing and hydration, antigen retrieval was mediated by high pressure in a citrate buffer (pH 6.0). Section was blocked with 10% normal goat serum 30min at RT. Then primary antibody (1% BSA) was incubated at 4°C overnight. The primary is detected by a biotinylated secondary antibody and visualized using an HRP conjugated SP system.
-
Immunofluorescence staining of HepG2 cells with CSB-PA010567LA01HU at 1:133, counter-stained with DAPI. The cells were fixed in 4% formaldehyde, permeabilized using 0.2% Triton X-100 and blocked in 10% normal Goat Serum. The cells were then incubated with the antibody overnight at 4°C. The secondary antibody was Alexa Fluor 488-congugated AffiniPure Goat Anti-Rabbit IgG(H+L).
-
-
其他:
產品詳情
-
產品名稱:Rabbit anti-Homo sapiens (Human) HMGCS2 Polyclonal antibody
-
Uniprot No.:
-
基因名:
-
別名:3 hydroxy 3 methylglutaryl Coenzyme A synthase 2 (mitochondrial) antibody; 3 hydroxy 3 methylglutaryl Coenzyme A synthase 2 antibody; 3 hydroxy 3 methylglutaryl coenzyme A synthase antibody; 3-hydroxy-3-methylglutaryl coenzyme A synthase antibody; HMCS2_HUMAN antibody; HMG CoA synthase antibody; HMG-CoA synthase antibody; HMGCS 2 antibody; HMGCS2 antibody; Hydroxymethylglutaryl CoA synthase antibody; Hydroxymethylglutaryl CoA synthase mitochondrial antibody; Hydroxymethylglutaryl-CoA synthase antibody; mitochondrial antibody
-
宿主:Rabbit
-
反應種屬:Human, Rat
-
免疫原:Recombinant Human Hydroxymethylglutaryl-CoA synthase, mitochondrial protein (426-508AA)
-
免疫原種屬:Homo sapiens (Human)
-
標記方式:Non-conjugated
本頁面中的產品,HMGCS2 Antibody (CSB-PA010567LA01HU),的標記方式是Non-conjugated。對于HMGCS2 Antibody,我們還提供其他標記。見下表:
-
克隆類型:Polyclonal
-
抗體亞型:IgG
-
純化方式:>95%, Protein G purified
-
濃度:It differs from different batches. Please contact us to confirm it.
-
保存緩沖液:Preservative: 0.03% Proclin 300
Constituents: 50% Glycerol, 0.01M PBS, pH 7.4 -
產品提供形式:Liquid
-
應用范圍:ELISA, WB, IHC, IF
-
推薦稀釋比:
Application Recommended Dilution WB 1:500-1:5000 IHC 1:200-1:500 IF 1:50-1:200 -
Protocols:
-
儲存條件:Upon receipt, store at -20°C or -80°C. Avoid repeated freeze.
-
貨期:Basically, we can dispatch the products out in 1-3 working days after receiving your orders. Delivery time maybe differs from different purchasing way or location, please kindly consult your local distributors for specific delivery time.
-
用途:For Research Use Only. Not for use in diagnostic or therapeutic procedures.
相關產品
靶點詳情
-
功能:Catalyzes the first irreversible step in ketogenesis, condensing acetyl-CoA to acetoacetyl-CoA to form HMG-CoA, which is converted by HMG-CoA reductase (HMGCR) into mevalonate.
-
基因功能參考文獻:
- several nutrients as well as specific nutritional related hormonal conditions are able to affect significantly HMGCS2 gene expression. PMID: 28888048
- miR-107-mediated decrease of HMGCS2 indicates poor outcomes and promotes cell migration in hepatocellular carcinoma PMID: 28867541
- this studies demonstrate that HMGCS2 functions as a transcriptional factor that binds to peroxisome proliferator-activated receptor alpha (PPARalpha), resulting in Src expression and activation in a metabolically independent manner PMID: 27816970
- HMGCS2 shares with ketone bodies common features in autophagic clearance of APP, suggesting that ketone bodies play an important role in HMGCS2 regulation of the autophagy. PMID: 28320515
- High expression of either HSD17B2 or HMGCS2 predicted poor susceptibility of rectal cancer to preoperative chemoradiotherapy. PMID: 25929810
- FABP7 and HMGCS2 may have roles in apocrine differentiation categorizing apocrine carcinoma of the breast PMID: 25389781
- In Fe-S cluster-deficient muscles, results show a dramatic up-regulation of the ketogenic enzyme HMGCS2 and the secreted protein FGF21 (fibroblast growth factor 21). PMID: 23943793
- Human HMGCS2 regulates mitochondrial fatty acid oxidation and FGF21 expression PMID: 21502324
- Ketogenesis is an undesirable metabolic characteristic of the proliferating cell, which is down-regulated through c-Myc-mediated repression of the key metabolic gene HMGCS2. PMID: 16940161
顯示更多
收起更多
-
相關疾?。?/div>3-hydroxy-3-methylglutaryl-CoA synthase-2 deficiency (HMGCS2D)亞細胞定位:Mitochondrion.蛋白家族:HMG-CoA synthase family組織特異性:Expression in liver is 200-fold higher than in any other tissue. Low expression in colon, kidney, testis, and pancreas. Very low expression in heart and skeletal muscle. Not detected in brain.; [Isoform 3]: Highest expression detected in heart and skeleta數據庫鏈接:
Most popular with customers
-
-
YWHAB Recombinant Monoclonal Antibody
Applications: ELISA, WB, IHC, IF, FC
Species Reactivity: Human, Mouse, Rat
-
Phospho-YAP1 (S127) Recombinant Monoclonal Antibody
Applications: ELISA, WB, IHC
Species Reactivity: Human
-
-
-
-
-















