HMGCS1 Antibody
-
中文名稱:HMGCS1兔多克隆抗體
-
貨號:CSB-PA272605
-
規格:¥1100
-
圖片:
-
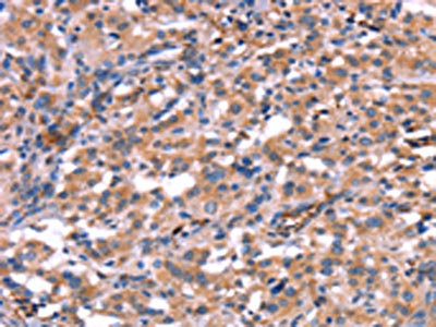
The image on the left is immunohistochemistry of paraffin-embedded Human gastic cancer tissue using CSB-PA272605(HMGCS1 Antibody) at dilution 1/40, on the right is treated with synthetic peptide. (Original magnification: ×200)
-
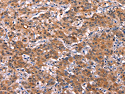
The image on the left is immunohistochemistry of paraffin-embedded Human thyroid cancer tissue using CSB-PA272605(HMGCS1 Antibody) at dilution 1/40, on the right is treated with synthetic peptide. (Original magnification: ×200)
-
Gel: 6%SDS-PAGE, Lysate: 40 μg, Lane: Human fetal liver tissue, Primary antibody: CSB-PA272605(HMGCS1 Antibody) at dilution 1/300, Secondary antibody: Goat anti rabbit IgG at 1/8000 dilution, Exposure time: 30 seconds
-
-
其他:
產品詳情
-
Uniprot No.:
-
基因名:HMGCS1
-
別名:3 hydroxy 3 methylglutaryl Coenzyme A synthase 1 (soluble) antibody; 3-hydroxy-3-methylglutaryl coenzyme A synthase antibody; cytoplasmic antibody; EC 2.3.3.10 antibody; HMCS1_HUMAN antibody; HMG CoA synthase antibody; HMG-CoA synthase antibody; HMGCS antibody; HMGCS1 antibody; Hydroxymethylglutaryl CoA synthase, cytoplasmic antibody; Hydroxymethylglutaryl-CoA synthase antibody; MGC90332 antibody
-
宿主:Rabbit
-
反應種屬:Human
-
免疫原:Synthetic peptide of Human HMGCS1
-
免疫原種屬:Homo sapiens (Human)
-
標記方式:Non-conjugated
-
抗體亞型:IgG
-
純化方式:Antigen affinity purification
-
濃度:It differs from different batches. Please contact us to confirm it.
-
保存緩沖液:-20°C, pH7.4 PBS, 0.05% NaN3, 40% Glycerol
-
產品提供形式:Liquid
-
應用范圍:ELISA,WB,IHC
-
推薦稀釋比:
Application Recommended Dilution ELISA 1:2000-1:5000 WB 1:500-1:2000 IHC 1:50-1:200 -
Protocols:
-
儲存條件:Upon receipt, store at -20°C or -80°C. Avoid repeated freeze.
-
貨期:Basically, we can dispatch the products out in 1-3 working days after receiving your orders. Delivery time maybe differs from different purchasing way or location, please kindly consult your local distributors for specific delivery time.
-
用途:For Research Use Only. Not for use in diagnostic or therapeutic procedures.
相關產品
靶點詳情
-
功能:Catalyzes the condensation of acetyl-CoA with acetoacetyl-CoA to form HMG-CoA, which is converted by HMG-CoA reductase (HMGCR) into mevalonate, a precursor for cholesterol synthesis.
-
基因功能參考文獻:
- The authors report high-resolution crystal structures of the human cytosolic (hHMGCS1) and mitochondrial (hHMGCS2) isoforms in binary product complexes. PMID: 20346956
-
亞細胞定位:Cytoplasm.
-
蛋白家族:HMG-CoA synthase family
-
數據庫鏈接:
Most popular with customers
-
-
YWHAB Recombinant Monoclonal Antibody
Applications: ELISA, WB, IHC, IF, FC
Species Reactivity: Human, Mouse, Rat
-
Phospho-YAP1 (S127) Recombinant Monoclonal Antibody
Applications: ELISA, WB, IHC
Species Reactivity: Human
-
-
-
-
-















